Conexión perdida. Por favor actualiza la página.
Conectado

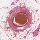
Histología de vasos sanguíneos

Creado por Kenhub • Modificado por última vez el 29 de Mayo de 2024
¡Este cuestionario personalizable incluye 31 estructuras en relación con 2 temas, incluyendo: Vasos sanguíneos y Arterias y venas!