Conexión perdida. Por favor actualiza la página.
Conectado
La plataforma nº 1 para aprender anatomía
6.584.570 usuarios en todo el mundo
Éxito en los exámenes desde 2011
Ayudando a estudiantes del área de salud
Revisado por especialistas médicos
1.435 artículos, cuestionarios y videos

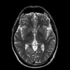
Cerebro (RM)

Objetivos de aprendizaje

Al terminar esta unidad de estudio serás capaz de:

  1. Entender la necesidad de realizar diferentes tipos de secuencias de resonancia magnética del cerebro.
  2. Identificar imágenes de resonancia magnética potenciadas en T2.
  3. Aprender sobre las principales estructuras del cerebro identificadas en dichas imágenes y sus relaciones anatómicas.

Explora la Resonancia Magnética

El equipo de resonancia magnética (RM) puede obtener diferentes tipos de imágenes de un solo paciente, lo que permite varios patrones de contraste entre las estructuras adyacentes, denominados secuencias

Una de las secuencias más importantes para la obtención de imágenes del cerebro es la secuencia potenciada en T2. En esta las imágenes del líquido cefalorraquídeo (LCR) -o cualquier tipo de líquido transparente- muestran una hiperintensidad marcada (color blanco), y permite una buena diferenciación entre la sustancia gris y blanca del cerebro.  

Las siguientes imágenes muestran algunas de las estructuras que son identificables en la RM potenciada en T2.

Puedes estudiar cada estructura por separado en la siguiente galería:

Haz un cuestionario

Pon a prueba tu conocimiento recién adquirido con nuestro cuestionario:

También puedes probar un cuestionario más completo y personalizable:

Regístrate ahora ¡y consigue tu guía de estudio definitiva!