Conexión perdida. Por favor actualiza la página.
Conectado
La plataforma nº 1 para aprender anatomía
6.574.321 usuarios en todo el mundo
Éxito en los exámenes desde 2011
Ayudando a estudiantes del área de salud
Revisado por especialistas médicos
1.435 artículos, cuestionarios y videos

Intestino delgado

Objetivos de aprendizaje

Esta unidad de estudio te ayudará a:

  1. Explicar las porciones y estructura del intestino delgado.
  2. Nombrar las características histológicas de las porciones del intestino delgado.

Explora imágenes histológicas

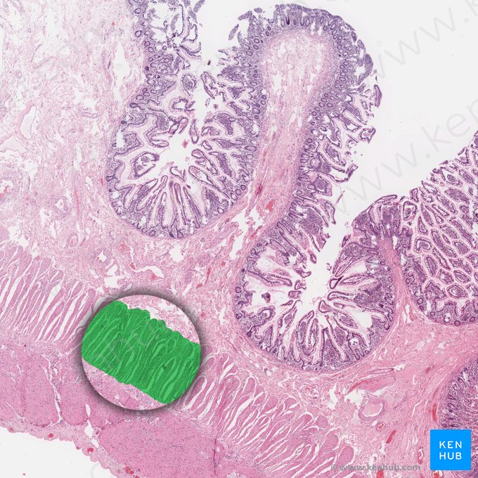
El intestino delgado es un órgano del sistema digestivo y mide aproximadamente 6 metros de longitud. Su función es la absorción de nutrientes y está dividido en tres porciones: duodeno, yeyuno e íleon. Su cara interna se caracteriza por presentar pliegues circulares (de Kerckring), vellosidades intestinales, criptas y microvellosidades, todo lo cual aumenta significativamente la superficie de reabsorción y optimiza la absorción de nutrientes.

La pared del intestino delgado consta de la organización típica en capas del tracto digestivo. La mucosa está recubierta por una sola capa de epitelio cilíndrico, caracterizada por enterocitos, células caliciformes y células enteroendocrinas. Profunda a la mucosa se encuentra la lámina propia, que contiene numerosos ganglios linfáticos así como la lámina muscular de la mucosa. La submucosa contiene glándulas, vasos sanguíneos y linfáticos, y el plexo submucoso (de Meissner). La capa muscular está conformada por una capa muscular circular interna y una capa muscular longitudinal externa, entre las cuales se localiza el plexo mientérico (de Auerbach). La serosa externa rodea al intestino delgado en el espacio peritoneal.

Las tres porciones del intestino delgado se pueden distinguir entre sí con la ayuda de algunas características.

  • El duodeno contiene glándulas submucosas duodenales (de Brunner) en la submucosa, las cuales secretan mucinas y bicarbonato.
  • En el yeyuno, los pliegues circulares (de Kerckring) son más pronunciados.
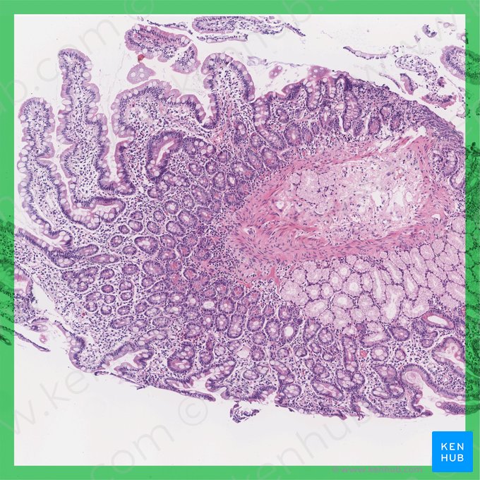
  • Típicamente, en el íleon se encuentran abundantes conglomerados linfonodulares ileales (placas de Peyer), las cuales forman parte del tejido linfoide asociado al tubo digestivo (GALT por sus siglas en inglés: Gastrointestinal Associated Lymphoid Tissue) y son colecciones de ganglios linfáticos. Los pliegues circulares son menos pronunciados y las vellosidades son más cortas en esta región.

¡Aprende más sobre las características histológicas del intestino delgado!

¿Te gustaría revisar todas estas estructuras con más detalle? Navega por las siguientes galerías de imágenes:

Por último, revisa las características histológicas de las porciones del intestino delgado. Nota: las imágenes histológicas del duodeno son de una biopsia de duodeno, por lo que no todas las estructuras de la pared son visibles.

Practica con cuestionarios

Responde nuestro cuestionario y consolida tu aprendizaje acerca de este tema al mismo tiempo que refuerzas tus posibles puntos débiles.

¿Ya te has desafiado lo suficiente? Ajusta tu enfoque y escoge los temas en los que te gustaría evaluarte creando tu propio cuestionario personalizable.

Regístrate ahora ¡y consigue tu guía de estudio definitiva!