Conexión perdida. Por favor actualiza la página.
Conectado
La plataforma nº 1 para aprender anatomía
6.570.846 usuarios en todo el mundo
Éxito en los exámenes desde 2011
Ayudando a estudiantes del área de salud
Revisado por especialistas médicos
1.435 artículos, cuestionarios y videos

Glándulas salivales

Objetivos de aprendizaje

Después de completar esta unidad de estudio, serás capaz de:

  1. Nombrar y describir las tres principales glándulas salivales.
  2. Enlistar las características especiales de las glándulas salivales e identificarlas en imágenes histológicas.

Explora imágenes histológicas

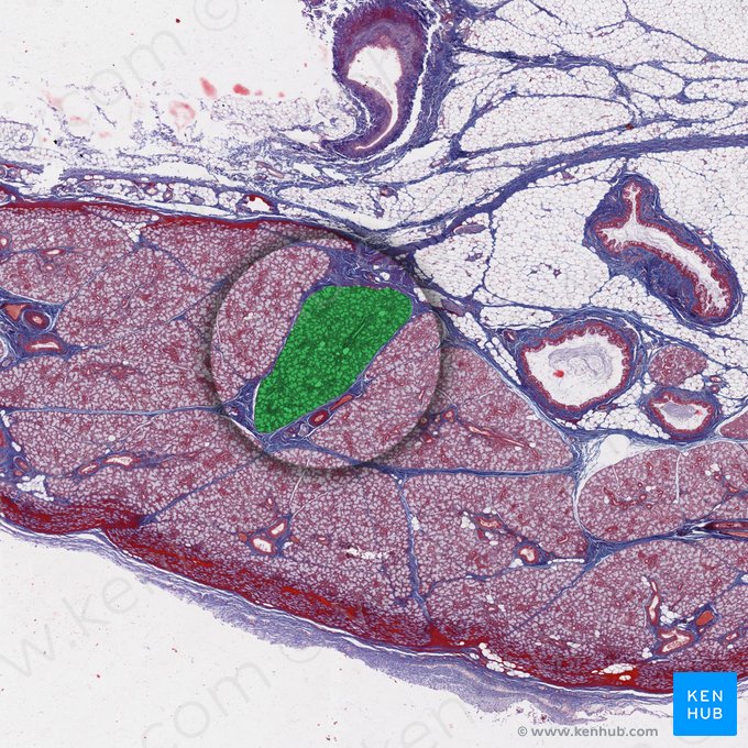
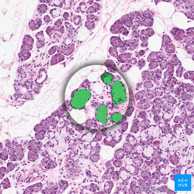
Las glándulas salivales son glándulas exocrinas responsables de la producción y secreción de saliva. Las tres más grandes son la glándula parótida, la glándula sublingual y la glándula submandibular.

Las glándulas salivales están compuestas por dos tipos principales de células: las células serosas y las células mucosas. Las células serosas producen una secreción acuosa rica en enzimas como la amilasa, mientras que las células mucosas producen una secreción viscosa y mucosa. Las células secretoras se organizan en unidades secretoras (acinos), que son pequeñas estructuras similares a glándulas que drenan en conductos intralobulillares ramificados, así como en conductos extralobulillares.

La glándula parótida es puramente serosa con conductos estriados e intercalares distintivos. En el parénquima también pueden encontrarse varias células adiposas, cuya presencia incrementa con la edad. La glándula sublingual es una glándula seromucosa mixta, con una predominancia de células mucosas. Las medialunas serosas (von Ebner) ayudan a eliminar el moco producido. Los conductos estriados e intercalares de la glándula sublingual son muy cortos, por lo que con frecuencia no son visibles en imágenes histológicas. La glándula submandibular es un glándula seromucosa mixta, pero con una proporción más alta de células serosas. Aquí también hay medialunas serosas (von Ebner), las cuales se superponen a los túbulos mucosos.

El sistema de conductos es importante no solo para el transporte, sino también para la modificación de la saliva. Absorbe iones y agua, afectando la composición de la saliva final.

¡Aprende más sobre las características histológicas de las glándulas salivales!

Glándula parótida

Glándula sublingual

Glándula submandibular

Practica con cuestionarios

Responde el siguiente cuestionario y consolida tu nuevo conocimiento sobre este tema al mismo tiempo que fortaleces tus posibles puntos débiles.

¿Ya te has desafiado lo suficiente? Ajusta tu enfoque y elige los temas en los que te gustaría evaluarte creando tu propio cuestionario personalizable.

Regístrate ahora ¡y consigue tu guía de estudio definitiva!