Aterosclerosis
La aterosclerosis es el engrosamiento y pérdida de elasticidad de las paredes arteriales como resultado de la invasión y acumulación de leucocitos y proliferación de células del músculo liso de la íntima que crean una placa fibroadiposa. La aterosclerosis, también conocida como enfermedad vascular aterosclerótica, es un tipo de arteriosclerosis.
La aterosclerosis es por lo tanto un síndrome que afecta los vasos sanguíneos arteriales debido a la respuesta inflamatoria crónica en sus paredes. A pesar de que la aterosclerosis con frecuencia permanece asintomática por décadas, puede aumentar el riesgo de trombosis local y embolización distal que se puede presentar clínicamente como un infarto de miocardio o un accidente cerebrovascular.
En este artículo estudiaremos la histología de las arterias y la patogénesis de la aterosclerosis.
| Definición | Engrosamiento y pérdida de la elasticidad de las paredes arteriales como resultado de la invasión y acumulación de leucocitos y proliferación de células del músculo liso de la íntima |
| Capas de las arterias | Túnica íntima, media y adventicia |
| Patogénesis | Retención de partículas de LDL + inflamación = disfunción de las células endoteliales |
| Correlaciones clínicas | Angina estable e inestable |
Histología de las arterias
Las paredes de los vasos arteriales y venosos se organizan en 3 capas concéntricas similares: la túnica íntima, la media y la adventicia. Sin embargo, la capa media (túnica media) es más gruesa en las arterias que en las venas.
- La túnica íntima es la capa más interna y fina, consta de una sola capa de células endoteliales escamosas simples sobre una membrana basal con mínima matriz extracelular (MEC) subyacente. La íntima está separada de la capa siguiente por una membrana elástica densa denominada lámina elástica interna, representada por bandas en una disposición circular.
- La túnica media es la capa más gruesa de las arterias y está compuesta predominantemente por células de músculo liso y MEC, se encuentra rodeada por tejido conectivo laxo, fibras nerviosas y vasos más pequeños de la adventicia. Separando a la media de la adventicia se encuentra otra banda elástica conocida como lámina elástica externa.
- La túnica adventicia está compuesta completamente por tejido conectivo. Sin embargo, en vasos sanguíneos de gran y mediano calibre, la adventicia contiene nervios y un sistema de pequeños vasos (arteriolas y capilares nutricios denominados “vasa vasorum” que significa literalmente “vasos de los vasos”) que irrigan a esta capa y a la mitad externa a dos tercios de la túnica media.
Aprende más sobre la histología de los vasos con la siguiente unidad de estudios:
Patogénesis
Los procesos inflamatorios que desencadenan una cascada de respuestas y cambios a lo largo del tiempo inician la aterosclerosis. Sin embargo, mientras un grado de aterosclerosis se encuentra en la gran mayoría de la población, su patogénesis exacta aún se encuentra en debate. Por lo general, la aterosclerosis comienza en la infancia en las células endoteliales de la pared del vaso, se cree que se asocian con la retención de partículas de lipoproteínas de baja densidad (LDL).
Dicha retención de LDL, en conjunto con la inflamación, resultan en la disfunción de las células endoteliales, quienes comienzan el proceso de la aterosclerosis. Las partículas de LDL y su contenido son susceptibles a oxidación por radicales libres. Como resultado, las células endoteliales responden a estos procesos inflamatorios atrayendo monocitos (un tipo de leucocitos) desde la sangre hacia las paredes arteriales, transformándolos así en macrófagos.
Los macrófagos (y algunos tipos de linfocitos T) ingieren las partículas oxidadas de LDL, lo que resulta en la formación de “células espumosas”. Estas se asientan de forma grosera como una fina capa de “estrías de grasa” de color blanco amarillo dentro de las capas internas de las paredes arteriales, iniciando desde la infancia y que se continúan expandiendo a través del tiempo.
Si las células espumosas son incapaces de procesar las partículas oxidadas de LDL, estas reclutan partículas de lipoproteínas de alta densidad (HDL) para remover las grasas y el colesterol, luego continúan expandiéndose hasta que eventualmente se rompen. La rotura resulta en la liberación de materiales oxidados y grasas de la pared arterial, lo que causa otro ciclo de respuesta inflamatoria atrayendo a su vez más leucocitos e inflamando más la arteria.
En este punto, existe una migración de las células musculares lisas vasculares (CMLV) a estos lugares de inflamación, donde se liberan sustancias endógenas, incluido el factor de crecimiento derivado de plaquetas (PDGF), el factor de crecimiento fibroblástico (FGF), endotelina-1 e IL-1 (interleucina -1) que influencian en la migración y proliferación adicional de CMLV. Además, habrá deposición de MEC por las CMLV y reclutamiento de células T a estos lugares donde eventualmente se agregará calcio y otros materiales cristalizados dentro de las capas externas y más antiguas de la placa.
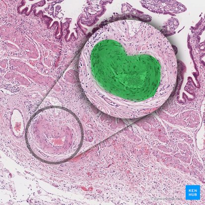
La placa fibrosa formada en esta etapa se convertirá en un ateroma complejo (o placa de ateroma) con varias capas de “material duro”. La placa formará una "capa fibrosa" sobre el ateroma que se compone de CMLV, macrófagos, células espumosas, linfocitos, colágeno y elastina de diferentes densidades y edades, lo que hace que la capa fibrosa sea propensa a la rotura y ulceración que puede provocar trombosis.
La rotura de la placa puede incluir factores mecánicos y/o biológicos. Los factores mecánicos pueden referirse al estrés de flujo hemodinámico (shear stress) o la rotura de los vasa vasorum. Los riesgos biológicos pueden incluir interacciones complejas entre factores que regulan la síntesis y degradación de la matriz extracelular.
Múltiples placas de ateroma se forman dentro de las arterias y su presencia reduce la elasticidad de la pared arterial. El flujo sanguíneo no se verá muy afectado, ya que la pared muscular de la arteria se agrandará en el lugar donde se encuentra la placa para acomodarse a los cambios que suceden a lo largo del tiempo (esto se conoce como remodelación arterial). Aunque el endurecimiento de la pared arterial como resultado de una enfermedad avanzada puede eventualmente causar una presión de pulso más amplia dentro de las arterias principales.
Pon a prueba tu conocimiento con el siguiente cuestionario:
Correlaciones clínicas
Debido a las adaptaciones y a la dilatación de las arterias durante décadas, los signos y síntomas clínicos de la aterosclerosis ocurrirán únicamente después de que un estrechamiento severo u oclusión impida el flujo de sangre a diferentes órganos. La aterosclerosis sintomática está asociada generalmente con hombres en la 5ta década de vida y mujeres en la 6ta década de vida, sin embargo investigaciones más actualizadas reportan que pueden aparecer una década antes de lo establecido.
Angina estable
La angina estable se da cuando una arteria coronaria se encuentra más del 75% ocluida, puede causar síntomas relacionados a isquemia coronaria, entre los cuales se incluye el dolor de pecho o angina, dificultad para respirar, sudoración, náuseas, mareos o aturdimiento y palpitaciones. Los síntomas aún no incluyen trastornos cardiovasculares más graves, como un accidente cerebrovascular (conocido como derrame cerebral) o un infarto de miocardio.
Angina inestable
La angina inestable ocurre cuando estos ateromas complejos no se abordan y la rotura puede ser una complicación potencial. Las placas inestables son ricas en macrófagos, células espumosas y MEC separando la lesión del lúmen de la arteria, también conocida como capa fibrosa, que es fina y propensa a la rotura. La rotura liberará material trombogénico y la embolización de componentes de la placa pueden causar isquemia a varios órganos y tejidos en el lugar que se alojen en el sistema circulatorio. Las presentaciones pueden incluir infarto de miocardio, arritmias (coronariopatías), accidentes cerebrovasculares (relacionados también con la hipertensión arterial), ataques isquémicos transitorios (aterosclerosis de las arterias cerebrales), entumecimiento o dolor en los brazos o las piernas (claudicación intermitente de las arterias periféricas), colitis isquémica o incluso insuficiencia renal debido a la disminución del flujo sanguíneo renal.
Aterosclerosis: ¿quieres aprender más sobre este tema?
Nuestros interesantes videos, cuestionarios interactivos, artículos detallados y atlas en alta definición te ayudarán a lograr resultados mucho más rápido.
¿Cómo prefieres aprender?
“Honestamente podría decir que Kenhub disminuyó mi tiempo de estudio a la mitad”
–
Leer más.
Kim Bengochea, Universidad Regis, Denver