Keine Verbindung. Bitte aktualisiere die Seite.
Online
Die führende Plattform für Anatomie
6.585.814 Nutzer weltweit
Erfolg bei Prüfungen seit 2011
Hilft Studierenden im Gesundheitswesen
Von medizinischen Fachleuten geprüft
2.089 Artikel, Quizze und Videos

Ohr

Lernziele

Nach dieser Lerneinheit:

  1. Kennst du die histologische Struktur des inneren Ohres.
  2. Kannst du die Anteile des inneren Ohres histologisch identifizieren. 

Atlas durchstöbern

Das Ohr ist ein komplexes Sinnesorgan, das für das Hören und das Gleichgewicht zuständig ist. Es wird in drei Teile unterteilt: das Außenohr (Auris externa), das Mittelohr (Auris media) und das Innenohr (Auris interna).

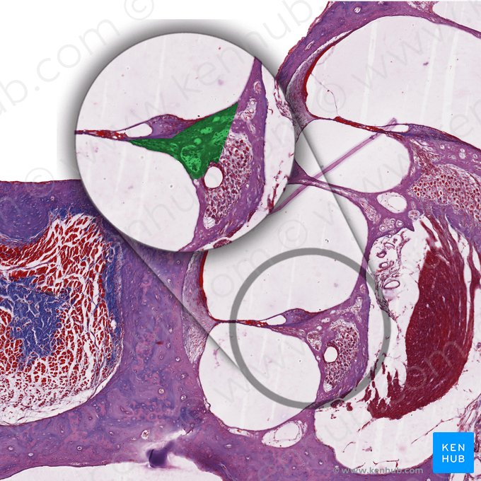
Die Cochlea, die sich im Innenohr befindet, weist eine besondere Mikroanatomie auf. Sie beherbergt das Corti-Organ, das eigentliche Hörorgan, welches aus Sinneszellen, Stützzellen und Nervenfasern besteht. Das Vestibularorgan ist ebenfalls ein Teil des Innenohrs. Es besteht aus drei Bogengängen und zwei Makulaorganen und stellt das Gleichgewichtsorgan dar.

Erfahre mehr über das Ohr und ihre Histologie, indem du dir die folgenden Bilder ansiehst:

Siehe dir die folgenden histologischen Bilder an, um das Gelernte zu vertiefen:

Quiz starten

Bereit, einen Zahn zuzulegen? Teste dein Wissen mit unserem Quiz:

Wenn du einen breiteren Fokus wünschst, versuche unser individuelles Quiz. Hier kannst du die Fragen auf deine Bedürfnisse abstimmen.

Jetzt registrieren und gratis Anatomie-Lernguide als eBook erhalten!