Keine Verbindung. Bitte aktualisiere die Seite.
Online
Die führende Plattform für Anatomie
6.586.774 Nutzer weltweit
Erfolg bei Prüfungen seit 2011
Hilft Studierenden im Gesundheitswesen
Von medizinischen Fachleuten geprüft
2.089 Artikel, Quizze und Videos

Schweißdrüsen

Lernziele

Diese Lerneinheit wird dir helfen:

  1. Die verschiedenen Schweißdrüsen des menschlichen Körpers kennenzulernen.
  2. Die Funktionen und den Aufbau der Schweißdrüsen zu erklären.

Atlas durchstöbern

Schweißdrüsen sind exokrine Drüsen, die über die gesamte Haut verteilt sind und sekretorische Funktionen haben.

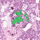
Ekkrine/merokrine Schweißdrüsen finden sich nahezu überall auf der Haut, besonders an den Handflächen und Fußsohlen. Sie sind lange, tubulöse, unverzweigte Einzeldrüsen, deren gewundene Endstücke in der Dermis liegen und über einen Ausführungsgang mit der Hautoberfläche verbunden sind. Die Endstücke sind von einem einschichtigen, kubischen Epithel mit Myoepithelzellen ausgekleidet. Die ekkrinen Drüsen sind für die Thermoregulation zuständig und produzieren einen wässrigen, sterilen Schweiß.

Apokrine Schweißdrüsen (Duftdrüsen) sind größer und vor allem in den Achselhöhlen, um die Brustwarzen und im Anogenitalbereich lokalisiert. Ihre aufgeknäulten, tubuloalveolären Endstücke liegen in der Subcutis und weisen ein einschichtiges Epithel mit vielen Myoepithelzellen auf. Ihre Ausführungsgänge münden nicht direkt auf die Hautoberfläche, sondern in einen Haarfollikel. Apokrine Schweißdrüsen enthalten Duftstoffe und produzieren ein visköses, milchiges Sekret.

Schaue dir die Schweißdrüsen detailliert an und klicke dich durch unsere Bildergalerie:

Quiz starten

Mit dem folgenden Quiz kannst du dein neues Wissen nun anwenden und überprüfen:

Weißt du schon mehr, was in dem Quiz noch nicht abgefragt wurde? Dann probier das individuelle Quiz über die Haut und Hautanhangsgebilde aus! Hier kannst du selbst festlegen, welche Themen oder einzelne Begriffe abgefragt werden:

Jetzt registrieren und gratis Anatomie-Lernguide als eBook erhalten!