Intraepitheliale Drüsen - Histologie
Wie ihr Name schon verrät, handelt es sich bei intraepithelialen Drüsen um Drüsen, die zwischen Epithelzellen vorkommen. Intraepitheliale Drüsen sezernieren chemische Stoffe und Substanzen wie Schleim und Speichel. Es gibt eine Vielzahl von intraepithelialen Drüsen im ganzen Körper einschließlich Talgdrüsen, Schleimdrüsen und urethrale Drüsen.
Intraepitheliale Drüsen können einfach oder zusammengesetzt sein. Zusammengesetzte Drüsen können tubulös, alveolär, tubuloalveolär oder azinös sein. Azinöse Drüsen enthalten Azini, die kleine sackartige Strukturen darstellen und von sekretorischen Zellen umgeben sind. Sie sehen aus wie Weintrauben. Die apikale Oberfläche der Zellen sezerniert das Produkt in ein kleines Lumen, das über Gänge aus der Drüse austritt.
Azini haben eine basal gelegene Basalmembran, die fenestriert sein kann, und aus flachen Zellen besteht. Es liegt in der Natur des lockeren Bindegewebes, dass es eine Affinität zur Diffusion hat. Die Membran befindet sich auf derselben Seite der Drüse (äußere Oberfläche) wie die Blut- und Lymphgefäße. Dieses lockere Bindegewebe ermöglicht es auch Lymph- und Blutgefäßen sich anzuheften.
Die innere Oberfläche der Basalmembran besteht aus sekretorischen Epithelzellen, die meist polygonal sind. Die Basalmembran ummantelt den gesamten Azinus und besteht aus extrazellulärem Material von modifizierten Epithelzellen (sekretorischen Zellen) und lockerem Bindegewebe für einfache Diffusion.
|
histologisch |
- enthalten sackartige Strukturen (Azini) - Azini von sekretorischen Zellen umgeben - Azini besitzen über Gänge angebundene Lumen - von Basalmembran umgeben |
|
funktionell |
Sezernierung in Lumen |
Azinöse Zellen teilen sich manchmal eine Basalmembran mit nahe gelegenen Satellitenzellen, die an der Reparatur von Muskeln beteiligt sind.
- Speicheldrüsen
- Ohrspeicheldrüse
- Unterkieferspeicheldrüsen
- Unterzungenspeicheldrüsen
- Schweißdrüsen
- Talgdrüsen
- Urethrale Drüsen
- Becherzellen
- Klinik
- Relevante Grafiken und Bilder
Speicheldrüsen
Speicheldrüsen bestehen aus Azini, die manchmal auch als Alveolen bezeichnet werden, da sie einen alveolusartigen Sack bilden.
Jeder Azinus umfasst eine Anzahl von Zellen, die um einen zentralen kugelförmigen Hohlraum angeordnet sind. Dieser Hohlraum geht in das Lumen eines Gangs im Azinus über, aus dem der Speichel abfließt.
Ein dünner Gang, der einen Azinus ableitet, wird als Schaltstück bezeichnet. Diese verbinden sich zu einem intralobulären Ausführungsgang. Diese Gänge wiederum fließen zu einem Gang zusammen, der als interlobulärer Ausführungsgang bekannt ist. Interlobuläre Gänge, die miteinander in Kontakt stehen, bilden den Hauptgang der Drüse.
Es gibt drei Haupttypen der Speicheldrüse: serös, mukös und gemischt.
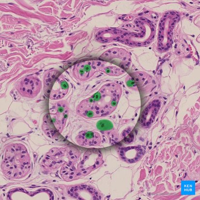
Seröse Drüsen
Diese Speicheldrüsenart produziert dünnen Speichel. Seröse Drüsen enthalten seröse Azinuszellen, die als sekretorische Azini gruppiert sind. Sie produzieren eine klare, wässrige Flüssigkeit, die isoton zum Blutplasma ist. Diese Flüssigkeit enthält auch Verdauungsenzyme wie beispielsweise die α-Amylase.
Eine seröse Drüse hat ein Lumen, das durch einen Azinus aus pyramidalen Drüsenzellen gebildet wird. Jede azinöse Zelle hat einen runden basal gelegenen Zellkern und apikal gelegene sekretorische Zymogengranula. Diese Granula können leicht mit der Hämatoxylin-Eosin-Färbung (HE-Färbung) angefärbt werden.
Plattenepithelzellen, die mit dem Azinus verbunden sind, bilden ein Schaltstück. Kubische Zellen bilden zusammen mit Streifen der basal gefalteten Zellmembran ein Streifenstück. Sowohl Streifen- als auch Schaltstücke sind Unterabschnitte von interlobulären Ausführungsgängen. Ein Streifenstück verbindet ein Schaltstück mit einem interlobulären Ausführungsgang. Die Azinuszellen und die Basalmembran werden durch myoepitheliale Zellen getrennt.
Muköse Drüsen
Diese Drüsen enthalten Azini aus kubischen Zellen mit einem kleinen unregelmäßigen Lumen. Die Azinuszellen erscheinen durch die Vakuolen und die kleinen abgeflachten basalen Zellkerne transparent.
Wie bei den serösen Drüsen gibt es zwischen der Basalmembran und den Azini eine dünne Schicht myoepithelialer Zellen. Einfache kubische und zylindrische Zellen bilden einen Ausführungsgang, der Schleim mit Proteinen und Glykoproteinen aus der Drüse sezerniert.
Muköse Drüsen
Gemischte seromuköse Drüsen
Diese Drüsen bestehen entweder aus serösen und mukösen Azini oder aus serösen und mukösen Zellen in einem Azinus.
Oft ist eine kleine Anzahl von serösen Zellen halbmondförmig am Ende des Azinus angeordnet, was als Ebner-Halbmond bezeichnet wird. Dies liegt daran, dass die mukösen Zellen durch den Schleim anschwellen und die serösen Zellen in eine halbmondförmige Anordnung drücken.
Myoepithelzellen umgeben den Azinus und sowohl Schalt- als auch Streifenstücke sind vorhanden.
Wie man sich denken kann, produzieren diese Drüsen eine Kombination aus mukösen und serösen Flüssigkeiten. Die Unterkieferspeicheldrüsen im Mund sind ein Beispiel für diese Drüsenart.
Ohrspeicheldrüse
Die paarigen Ohrspeicheldrüsen sind große Speicheldrüsen, die sich über dem Musculus masseter auf jeder Seite des Ramus mandibulae des Unterkiefers vor den Ohren befinden. Die Ohrspeicheldrüse ist eine ziemlich große seröse Drüse mit einem Gewicht von etwa 15 g. Sie ist von fibroadipösem Gewebe umgeben und grenzt an den Musculus masseter, den Jochbogen, den äußeren Gehörgang und den Processus styloideus.
Der Ausführungsgang der Ohrspeicheldrüse wird als Stensen-Gang (Ductus parotideus), manchmal auch einfach als Ohrspeicheldrüsengang bezeichnet. Dieser erstreckt sich entlang des Musculus masseter und des Wangenfettkörpers und durch den Musculus buccinator. Er mündet in die Mundhöhle in der Nähe des oberen zweiten Molaren. Speichel, der aus dem Stensen-Gang sezerniert wird, setzt die Verdauung von Stärke über das Enzym Amylase in Gang. Die Öffnung des Gangs ist durch eine kleine Erhebung an der Innenseite der Wange erkennbar.
Der VII. Hirnnerv, der als Nervus facialis bezeichnet wird, verläuft durch die Ohrspeicheldrüsen und innerviert andere Speicheldrüsen, einschließlich der sublingualen (Unterzungen-) und submandibulären Drüsen (Unterkieferspeicheldrüsen).
Unterkieferspeicheldrüsen
Diese sind ein Paar tubuloalveolärer Drüsen, die sich unter dem Mundboden befinden und im Unterkieferdreieck liegen. Dieses wird durch den Musculus digastricus und den Unterkiefer gebildet.
Die Azini dieser Drüse bestehen aus einer Mischung von serösen und mukösen Zellen, wodurch sie zu den seromukösen Drüsen zählen. Manchmal sind seröse Halbmonde vorhanden. Dies sind halbmondförmige Ansammlungen von Lysozym-sezernierenden serösen Zellen.
Der Hauptgang einer Unterkieferspeicheldrüse ist als Wharton-Gang bekannt und leitet im vorderen Mundboden Sekrete in die Mundhöhle weiter. Die mukösen Drüsen produzieren schmierende Muzine, damit die Nahrung einfacher geschluckt werden kann. Die serösen Zellen produzieren Amylase-haltigen Speichel, der am Verdauungsprozess beteiligt ist.
Unterzungenspeicheldrüsen
Diese Drüsen befinden sich in der Fossa sublingualis des Unterkiefers und sind durch den Musculus genioglossus und Musculus mylohyoideus verbunden.
Die Drüsen werden von bis zu 20 Gängen, die als Rivinus-Gänge bekannt sind, drainiert. Diese Gänge münden in den Bartholin-Gang, der wiederum in den Wharton-Gang der Unterkieferspeicheldrüsen mündet und in der Caruncula sublingualis endet. Dies ist eine Papille in der Nähe des zentralen Mundbodens, die neben dem Zungenbändchen liegt.
Die Unterzungenspeicheldrüsen bestehen hauptsächlich aus mukösen Azini mit serösen Halbmonden, die an sie angelagert sind.
Schweißdrüsen
Ekkrine Schweißdrüsen
Es gibt zwei Arten von Schweißdrüsen: ekkrine und apokrine. Diese werden manchmal auch als kleine und große Schweißdrüsen bzw. Duftdrüsen bezeichnet.
Ekkrine (=merokrine) Schweißdrüsen werden von einer Schicht zylindrischer sekretorischer Zellen ausgekleidet, die von einer ausgeprägten Basalmembran gestützt werden. Innerhalb des Azinus kommen große glykogenhaltige blasse bzw. klare Zellen und kleinere mucopolysaccharidhaltige dunkle Zellen vor.
Ekkrine Schweißdrüse
Die dunklen Zellen kleiden eher die luminale Oberfläche aus, wohingegen die blassen Zellen peripher zu den dunklen Zellen angeordnet sind und meist nicht an das Lumen selbst angrenzen. Die klaren Zellen sezernieren eine Flüssigkeit, die Kalium- und Natriumchlorid, Ammoniak, Harnstoff und Harnsäure enthält, während die dunklen Zellen Glykoproteine produzieren.
Peripher der äußeren Reihe von Myoepithelzellen befindet sich eine Basalmembran, die das Drüsenepithel von dem gefäßreichen Bindegewebe der periadnexalen Dermis trennt.
Apokrine Schweißdrüsen
Apokrine Schweißdrüse
Apokrine Schweißdrüsen umfassen eine Schicht aus kubischen sekretorischen Zellen. Der Zellkern ist rund und ellipsenförmig und liegt basal.
Der apokrine Azinus hat ein größeres Lumen als das der ekkrinen Schweißdrüse und enthält ein sekretorisches Produkt. Das sekretorische Produkt ist eine dicke Flüssigkeit und bekommt in Folge des Abbaus durch die Bakterien auf der Haut einen unangenehmen Geruch.
Myoepithelzellen befinden sich zwischen der Basalmembran und den sekretorischen Zellen.
Talgdrüsen
Talgdrüsen kommen in der Haut vor und produzieren ein antibakterielles, wasserdichtes und schmierendes Produkt, den sogenannten Talg.
Einige Talgdrüsen sind mit Haarfollikeln verbunden und andere nicht. Sie sind azinöse Drüsen und der Talg, den sie sezernieren, erreicht die Haut über den Haarschaft. Die Gesamtstruktur, die einen Haarschaft, einen Haarfollikel, Musculi arrectores pilorum und die Talgdrüse umfasst, wird als Haar-Talgdrüsen-Einheit bezeichnet.
Talgdrüsen sind auch in haarlosen Bereichen wie an der Innenfläche der Augenlider (Meibom-Drüsen) und am Penis (Art von Fordyce-Drüsen) zu finden. Da in diesen Bereichen Haare fehlen, können diese Drüsen keine Haar-Talgdrüsen-Einheiten bilden.
Der Azinus einer Talgdrüse besteht aus vielen Zellen, die von einer Basalmembran umgeben sind. Die Zellmasse umfasst sowohl basale als auch sekretorische Zellen.
Die Basalzellen sind kubisch und haben runde Zellkerne, die sich in der Peripherie des sekretorischen Bereichs befinden. Die sekretorischen Zellen sind polygonal und befinden sich in der Nähe des Zentrums des azinösen sekretorischen Teils. Diese Zellen haben einen kleinen, geschrumpften Zellkern und enthalten Fetttröpfchen in ihrem Zytoplasma. Wenn die sekretorischen Zellen absterben, wird ein fettiges Produkt namens Talg produziert, das die Haut und die Haare einschmiert. Diese Art der Sekretion ist als holokrine Sekretion bekannt.
Urethrale Drüsen
In der Harnröhre gibt es azinöse mukös sezernierende Drüsen. Bei Männern handelt es sich um kleine epitheliale Einstülpungen in der dorsalen Wand der Harnröhre. Die mukösen Zellen dringen zwischen die Venen im schwammigen Gewebe des Penis ein. Der Schleim, den sie produzieren, enthält Glykosaminoglykane, die das Epithel vor Schädigungen durch den Urin schützen.
In der männlichen Harnröhre gibt es auch kleine tubuläre muköse Drüsen, die als Littré-Drüsen bekannt sind. Sie kommen ausschließlich bei Männern vor und produzieren den Schleim im Sperma. Sie kommen am häufigsten in der Pars spongiosa der Harnröhre vor, die durch den Penis verläuft.
Bei Frauen sind ebenfalls kleine muköse Drüsen in der Lamina propria der Harnröhrenwand zu finden. Diese produzieren auch Schleim, der Glykosaminoglykane enthält, um die Epithelwände der Harnröhre vor dem Urin zu schützen.
Becherzellen
Becherzellen sind ungewöhnlich, da sie einzellige intraepitheliale Drüsen sind. Sie sind modifizierte Epithelzellen, die in den Epithelien vieler Organe Schleim absondern, insbesondere in denen des Darms und der Atemwege.
Becherzellen wurden nach ihrer Form benannt, da sie wie kleine Becher im Epithel mit einer schmalen Basis und einer breiten Spitze aussehen. Sie sind polarisiert mit basal gelegenen Organellen wie den Zellkern, die Mitochondrien und das endoplasmatische Retikulum. Die restliche Zelle enthält mit Schleim gefüllte sekretorische Granula, die durch Membranen abgegrenzt sind. Sie können histologisch unter Verwendung von Farbstoffen für Schleim wie die Perjodsäure-Schiff-Färbung (PAS) gefärbt werden, die sie purpurfarben macht.
Becherzellen beginnen Schleim durch Exozytose der Granula zu produzieren, wenn sie durch irritierende Reize wie beispielsweise Rauch in den Lungen dazu angeregt werden. Neben dieser Art der Sekretion, namens stimulierte Sekretion, produzieren Becherzellen auch kontinuierlich kleine Mengen von Schleim. Dies wird als basale oder konstitutive Sekretion bezeichnet.
Der Schleim in den Granula der Becherzellen breitet sich aus, wenn er freigesetzt wird. Dies ist darauf zurückzuführen, dass Calciumionen aus der Zelle diffundieren, was zu einer Phasenänderung in den negativ geladenen Muzinen führt. Dies bewirkt, dass sie hydrieren und expandieren, wodurch ein schleimiges Gel entsteht.
Klinik
Veränderungen der Ohrspeicheldrüsen
Veränderungen in den Ohrspeicheldrüsen können zu medizinischen Problemen führen. Zum Beispiel können geschwollene Ohrspeicheldrüsen oder Tumore in ihnen zu einer Lähmung führen (Paralyse begleitet von unwillkürlichem Tremor).
Außerdem können die chemischen Substanzen im Speichel, die von den Ohrspeicheldrüsen produziert werden, manchmal kristallisieren, was zur Bildung von parotiden (Speichel-)Steinen führt. Diese können den Abfluss von Speichel verhindern und Schmerzen und Entzündungen verursachen.
Becherzellen in der Diagnostik
Klinisch können Becherzellen bei der Diagnostik nützlich sein, da eine Zunahme der Becherzellzahl als Folge einer Erkrankung auftreten kann. In der Lunge und in den Atemwegen kann sie beispielsweise als Folge der zystischen Fibrose oder Bronchitis auftreten.
