Keine Verbindung. Bitte aktualisiere die Seite.
Online
Die führende Plattform für Anatomie
6.631.580 Nutzer weltweit
Erfolg bei Prüfungen seit 2011
Hilft Studierenden im Gesundheitswesen
Von medizinischen Fachleuten geprüft
2.089 Artikel, Quizze und Videos

Samenstrang (Funiculus spermaticus)

Lernziele

Nach dieser Lerneinheit wirst du in der Lage sein:

  1. Die Inhalte des Samenstrangs aufzuzählen.
  2. Den histologischen Aufbau des Ductus deferens zu erklären.

Atlas durchstöbern

Der Samenstrang (Funiculus spermaticus) ist ein Gefäß-Nerven-Muskel-Bündel bei Männern, der eine Verbindung zwischen dem inneren Leistenring und dem Nebenhoden darstellt. Er beherbergt den Ductus deferens und eine Reihe weiterer Strukturen, die Vasa ductus deferentis, Vasa testicularis, den Plexus pampiniformis sowie den M. cremaster, Lymphgefäße und die Nerven N. genitofemoralis R. genitalis und N. ilioinguinalis.

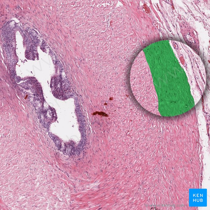
Der Ductus deferens hat eine dicke, dreischichtige Muskelwand, weshalb er im Samenstrang gut zu tasten ist. Das Lumen ist sternförmig und aufgrund der mehrschichtigen glatten Muskulatur sehr eng. Das Epithel besteht aus einem zwei- oder mehrreihigem Zylinderepithel mit Stereozilien, unter dem eine dünne Lamina propria liegt. Außen schließt sich eine Tunica adventitia aus lockerem kollagenem Bindegewebe an. 

Schaue durch diese Atlasgalerie und wiederhole nochmal jede Struktur, die du bisher gelernt hast:

Quiz starten

Festige dein Wissen mit folgendem Quiz:

Klicke auf den folgenden Link und wähle für dein Quiz genau die Strukturen aus, über die du geprüft werden möchtest:

Jetzt registrieren und gratis Anatomie-Lernguide als eBook erhalten!