Keine Verbindung. Bitte aktualisiere die Seite.
Online
Kontakt Besser lernen Login Registrieren
Die führende Plattform für Anatomie
6.204.454 Nutzer weltweit
Erfolg bei Prüfungen seit 2011
Hilft Studierenden im Gesundheitswesen
Von medizinischen Fachleuten geprüft
2.089 Artikel, Quizze und Videos

Niere: Rinde, Mark und Nierenbecken

Lernziele

Nach dieser Lerneinheit:

  1. Verstehst du den allgemeinen Aufbau der Niere.
  2. Kannst du die Nierenrinde und das Nierenmark anhand ihres makroskopischen und histologischen Aufbaus unterscheiden.
  3. Kannst du die histologische Struktur der Nierenkelche beschreiben.
  4. Kannst du die vaskulären Strukturen der Niere innerhalb der Nierenrinde und des Nierenmarks identifizieren.

Atlas durchstöbern

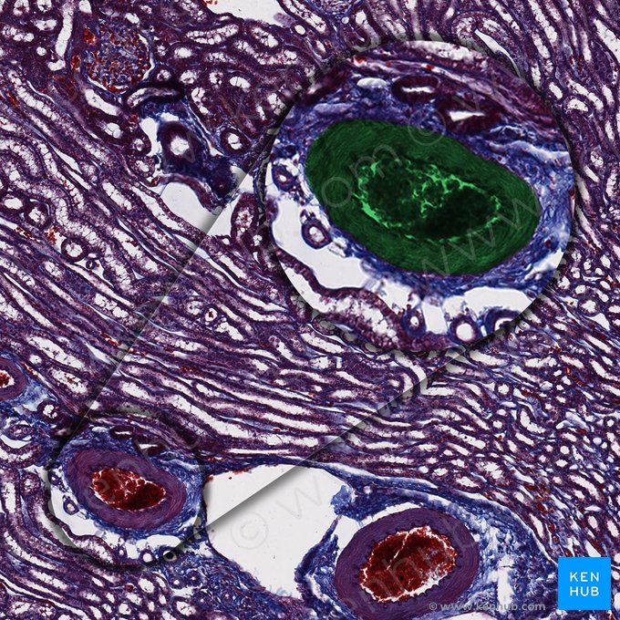
Die Nieren sind paarige retroperitoneale Organe des Harnsystems, die das Blut filtrieren, Urin produzieren, Hormone synthetisieren und den Elektrolyt- und Säure-Basen-Haushalt kontrollieren. Jede Niere besteht aus einer Rinde, dem Mark und dem Nierenbecken

  • Die Nierenrinde ist die äußere Schicht des Nierengewebes und enthält die gewundeneen Anteile der Nephrone (Nierenkörperchen und Tubulus convolutus).
  • Das Nierenmark besteht aus Pyramiden, die durch die Säulen voneinander getrennt sind. Die Spitzen der Pyramiden ragen in Richtung Nierenbecken und münden über die Area cribosa in die kleinen Nierenkelche. Jede Nierenpyramide bildet zusammen mit dem sie umgebenden Gewebe einen Nierenlappen. Die Nierenlappen werden weiter in Nierenläppchen unterteilt. Jedes Läppchen besteht aus einer Gruppe von Nephronen, die in ein Sammelrohr münden.
  • Das Nierenbecken besteht aus den kleinen und großen Nierenkelchen, die mit Übergangsepithel (Urothel) ausgekleidet sind und von einer Lamina propria sowie glatten Muskelschichten gestützt werden. Dieses System sammelt den Urin von den Nierenpapillen und erleichtert dessen Weiterleitung in den Harnleiter.

In den folgenden Atlasgalerien kannst du all das, was du bisher gelernt hast, wiederholen und die Strukturen der Nieren nochmal einzeln anschauen:

Quiz starten

Teste dein Wissen und identifiziere die Strukturen aus den Bildern mit unserem Quiz oder beantworte unsere Examensfragen:

Weißt du schon mehr über die Niere, was in dem Quiz noch nicht abgefragt wurde? Dann probier das individuelle Quiz über die Harnorgane aus! Hier kannst du selbst festlegen, welche Themen oder einzelne Begriffe abgefragt werden:

Jetzt registrieren und gratis Anatomie-Lernguide als eBook erhalten!