Keine Verbindung. Bitte aktualisiere die Seite.
Online
Die führende Plattform für Anatomie
6.595.611 Nutzer weltweit
Erfolg bei Prüfungen seit 2011
Hilft Studierenden im Gesundheitswesen
Von medizinischen Fachleuten geprüft
2.089 Artikel, Quizze und Videos

Zunge und Epiglottis

Lernziele

Nach dieser Lerneinheit kannst du:

  1. Den Aufbau der Zunge beschreiben und die Strukturen in histologischen Bildern identifizieren.
  2. Den Aufbau und die Funktion der Epiglottis erklären und ihre verschiedenen Epithelien benennen. 

Atlas durchstöbern

Die Zunge ist ein muskuläres Organ mit inneren und äußeren Zungenmuskeln. Die Oberseite wird von einem mehrschichtigen Plattenepithel ausgekleidet, das abhängig von der entsprechenden mechanischen Belastung verhornt oder unverhornt sein kann. Hier befinden sich zahlreiche Papillen, die Geschmacksknospen tragen oder dem Tast- und Temperaturempfinden dienen. Die Unterseite der Zunge ist größtenteils von einem mehrschichtigen, unverhornten Plattenepithel bedeckt.

Im Bereich des Zungenrückens finden sich vier verschiedene Arten von Papillen, die als Erhebungen der Schleimhaut sichtbar sind:

  • Die Papillae filiformes sind fadenförmig und dienen dem Tastsinn.
  • Die Papillae fungiformes sind pilzförmig und beinhalten Geschmacksknospen auf ihrer Papillenkuppe.
  • Die Papillae foliatae sind blattförmig und enthalten ebenfalls Geschmacksknospen.
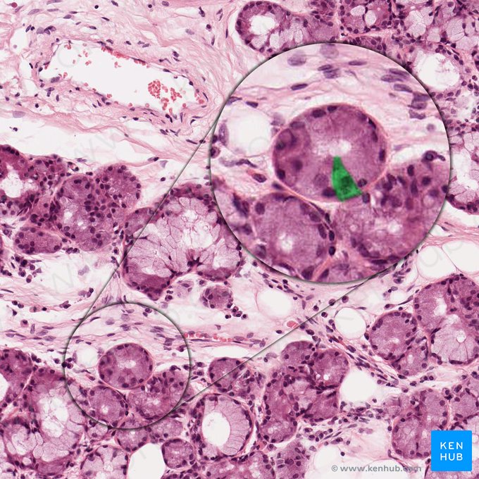
  • Die Papillae vallatae sind flach und von einem Wallgraben umgeben. In der seitlichen Papillenwand befinden sich eingelagerte Geschmacksknospen, während in den Wallgraben seröse von-Ebner-Spüldrüsen münden, die Nahrungsrückstände beseitigen.

Die Lamina propria der Zunge ist mit zahlreichen Drüsen, Blutgefäßen und Nervenfasern durchsetzt, während die tiefer liegende Tunica muscularis aus quergestreiften Muskelfasern besteht, die der Zunge ihre hohe Beweglichkeit verleihen.

Die Epiglottis (Kehldeckel) liegt am Eingang des Larynx (Kehlkopfs) und besteht aus elastischem Knorpel. Sie verschließt den Eingang der Luftröhre während des Schluckakts und verhindert so das Eindringen von Nahrung in die Atemwege.

Die linguale Fläche der Epiglottis zeigt zur Zunge und die laryngeale Fläche weist zum Kehlkopf. Beide Seiten weisen ein unterschiedliches Epithel auf. Die linguale Fläche ist mit einem dicken, mehrschichtigen, unverhornten Plattenepithel bedeckt, während die laryngeale Seite ein respiratorisches Flimmerepithel besitzt. In der Lamina propria liegen viele seromuköse Drüsen, die das Epithel feucht halten.

Zunge

Schaue durch diese Atlasgalerien und wiederhole nochmal jede Struktur, die du bisher gelernt hast:

Epiglottis

Schaue dir die Epiglottis detailliert an und klicke dich durch unsere Bildergalerie:

Quiz starten

Mit dem folgenden Quiz kannst du dein neues Wissen nun anwenden und überprüfen:

Probier unser individuelles Quiz aus, um deine Kenntnisse noch gezielter zu überprüfen!

Jetzt registrieren und gratis Anatomie-Lernguide als eBook erhalten!