Conexão perdida. Por favor atualize a página.
Conectado
A plataforma nº 1 para aprender anatomia
6.584.585 usuários em todo o mundo
Sucesso em provas desde 2011
Ajudando estudantes da área da saúde
Revisado por especialistas médicos
1.410 artigos, testes e vídeos

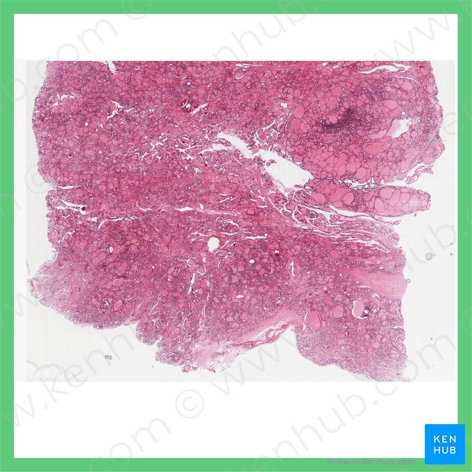
Tireoide

Objetivos de aprendizagem

Após completar esta unidade de estudos você será capaz de:

  1. Compreender a estrutura histológica da tireoide e de suas partes
  2. Identificá-las sob o microscópio

Assista à videoaula

tireoide é uma glândula endócrina encontrada no pescoço, anteriormente à porção inferior da laringe. A sua principal função é produzir, armazenar e secretar os hormônios tri-iodotironina (T3) e tiroxina (T4).

A glândula tireoide é revestida por uma fina cápsula de tecido conjuntivo que se aprofunda na substância dos lobos e subdivide a glândula em unidades lobulares irregulares. Cada lóbulo contém um conjunto de folículos que são as unidades estruturais e funcionais da tireoide.

Cada folículo é circundado por um fino estroma de tecido conjuntivo rico em caplares fenestrados. Esses folículos são revestidos por epitélio folicular, que é o epitélio simples formado por células colunarescuboides ou escamosas dependendo do nível de atividade do folículo. Quando os folículos estão ativos, elas tem aspecto cuboidal ou colunar, mas quando estão inativos as células são escamosas.

Essas células foliculares (principais) absorvem a quantidade necessária de precursores aminoácidos e iodina pela superfície basolateral e liberam o produto final na corrente sanguínea, na sua extremidade basal. As células foliculares são responsáveis pela produção de tiroglobulina (uma forma inativa dos hormônios tireoideanos rica em iodina), que é então armazenada como uma substância semi-sólida (coloide) no lúmen dos folículos.

Outro tipo celular presente na tireoide são as células parafoliculares, também conhecidas como células C. Elas podem ser encontradas dentro da lâmina basal dos folículos tireoidianos, sem se estender até o lúmen folicular, ou entre os folículos, no espaço interfolicular, seja de maneira isolada ou formando grupos.

Assista à videoaula a seguir para aprender mais sobre a histologia da tireoide:

Teste seus conhecimentos

Avalie seus conhecimentos com o teste abaixo:

Gosta de desafios? Experimente montar um teste personalizado escolhendo seus tópicos de interesse:

Navegue pelo atlas

Está pronto para revisar essas estruturas em mais detalhes? Navegue pela galeria de imagens a seguir:

Cadastre-se agora e obtenha sua cópia do guia definitivo de estudos de anatomia!