Conexão perdida. Por favor atualize a página.
Conectado
A plataforma nº 1 para aprender anatomia
6.587.294 usuários em todo o mundo
Sucesso em provas desde 2011
Ajudando estudantes da área da saúde
Revisado por especialistas médicos
1.410 artigos, testes e vídeos

Glândula adrenal

Objetivos de aprendizagem

Ao completar essa unidade de estudos você será capaz de:

  1. Entender a estrutura histológica das glândulas suprarrenais.
  2. Identificar suas partes ao microscópio.

Navegue pelo atlas

As glândulas adrenais, também conhecidas como glândulas suprarrenais, são um par de glândulas endócrinas retroperitoniais localizadas sobre os aspectos mediais dos polos superiores dos rins. Elas possuem um papel vital na resposta de luta ou fuga do corpo humano, produzindo hormônios relacionados ao estresse, que ativam as adaptações fisiológicas que equilibram as mudanças no ambiente externo.

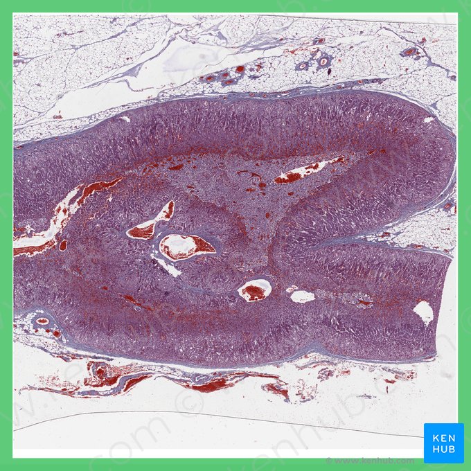
As glândulas suprarrenais são cobertas por uma cápsula espessa de tecido conjuntivo, a partir da qual se estendem trabéculas em direção ao parênquima.

Profundamente à cápsula encontra-se o córtex adrenal, que é a parte da glândula que secreta hormônios esteroides. O córtex pode ser subdividido nas zonas glomerulosa, fasciculada e reticulada.

  • A zona glomerulosa é formada por pequenas células arredondadas, que são responsáveis por secretar mineralocorticoides, como a aldosterona. A aldosterona regula a absorção de água nos túbulos contorcidos distais, e consequentemente altera a pressão sanguínea do corpo.
  • zona fasciulada é significativamente mais espessa que as outras duas camadas corticais. Ela é formada por células vacuoladas que se coram fracamente, dispostas em fileiras paralelas. Essa camada é reponsável por secretar glicocorticoides para aumentar os níveis sanguíneos de glicose para fornecer mais energia quando o corpo está sob estresse.
  • Finalmente, a zona reticulada consiste em células menores que se coram mais fortemente (coloração mais escura), em relação às células das camadas anteriores. Aqui são produzidos os andrógenos adrenais, que servem como precursores da testosterona.este seus conhecimentos

Uma fina e cinzenta medula pode ser encontrada no centro da glândula suprarrenal. Células cromafins, células ganglionares e capilares dilatados são encontrados nessa região. As células cromafins são responsáveis pela produção de catecolaminas, ou seja, epinefrina (adrenalina), norepinefrina (noradrenalina) e dopamina. A epinefrina é liberada diretamente nos capilares medulares e levada para agir nos órgãos alvo através da circulação sistêmica. As células ganglionares modulam a atividade secretora do córtex adrenal, e seus axônios se estendem aos nervos esplâncnicos para inervar os órgãos abdominais.

As glândulas suprarrenais têm uma distribuição sanguínea complexa, que consiste em:

  • capilares capsulares, que irrigam a cápsula.
  • capilares sinusoides fenestrados corticais,que irrigam o córtex suprarrenal e drenam para os capilares sinusoides fenestrados medulares.
  • arteríolas medulares, que cursam nas trabéculas e atravessam o córtex adrenal para trazer sangue arterial aos capilares sinusoides medulares.

Pronto para revisar todas essas estruturas em mais detalhes? Navegue pela nossa galeria de imagens abaixo:

Teste seus conhecimentos

O teste a seguir irá ajudá-lo a aplicar os seus conhecimentos recém-adquiridos:

Para aumentar o desafio experimente nosso teste personalizado sobre o sistema endócrino:

Cadastre-se agora e obtenha sua cópia do guia definitivo de estudos de anatomia!