Você está assistindo uma prévia. Torne-se Premium para acessar o vídeo completo: Estruturas do duodeno, incluindo a sua mucosa e as suas camadas musculares.
Henry Peter e o Cálice de Mucina - um conto médico de um jovem homem que encara uma série de desafios depois de ser escolhido pelo cálice de Mucina. Há duelos mágicos, corridas de vassouras, dragões ...
Leia maisHenry Peter e o Cálice de Mucina - um conto médico de um jovem homem que encara uma série de desafios depois de ser escolhido pelo cálice de Mucina. Há duelos mágicos, corridas de vassouras, dragões que cospem fogo e, é claro, amizades que superam tudo. A nossa história começa em uma pequena...
Okay, vamos falar sério. Nem todo cálice merece a sua própria história, amada tanto por adultos quanto por crianças. Mas tem um cálice sobre o qual com certeza compensa aprender se você é um estudante de anatomia, e, é claro, nós estamos falando sobre as células em cálice ou células caliciformes, e um lugar onde você as encontra é quando está estudando a histologia do duodeno, que é exatamente o que nós vamos ver hoje.
Antes de começarmos, vamos fazer uma breve visão geral sobre os assuntos que nós vamos discutir hoje. Nós vamos começar com um lembrete da localização, anatomia macroscópica e função do duodeno. Em seguida nós vamos continuar para uma secção histológica de uma biópsia duodenal, onde nós vamos identificar algumas das camadas do duodeno.
Nós vamos começar com a mucosa, os diferentes tipos de célula encontrados nela e as suas características mais importantes, como as vilosidades e as glândulas intestinais. Nós vamos ver em detalhes a muscular da mucosa, uma das camadas da mucosa, antes de continuarmos para a submucosa e as glândulas duodenais.
Depois, usando uma ilustração, nós vamos rapidamente discutir as camadas muscular externa e serosa. Por fim nós vamos ter uma seção de notas clínicas. Para começar este tutorial, vamos primeiro ver a anatomia macroscópica do duodeno. O duodeno é o segmento mais curto do intestino delgado, com cerca de 25 centímetros de comprimento.
Proximalmente ele é uma extensão do piloro do estômago, e distalmente ele é contínuo com o jejuno. Ele possui a forma da letra “C” e envolve a cabeça do pâncreas. Ele recebe os alimentos parcialmente digeridos, ou o quimo, do estômago, e possui um papel em continuar a quebrá-los, bem como absorver nutrientes.
Estruturas distintivas do intestino delgado conhecidas como pregas circulares também são encontradas no duodeno, e servem para aumentar a área para absorção. Se você precisa saber mais sobre a anatomia macroscópica do duodeno vá para kenhub.com, onde você irá encontrar um vídeo e um artigo sobre este tema, bem como várias ilustrações anatômicas.
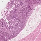
Agora me permita apresentá-lo à bela lâmina que nós vamos usar nesta videoaula. Eu tenho certeza que você vai notar imediatamente que a coloração usada aqui é hematoxilina e eosina, mais comumente conhecida como HE.
A hematoxilina é a tintura básica que cora estruturas acídicas, então coisas como os núcleos, que contém muito DNA acídico coram em azul escuro. A eosina é ácida, então ela se liga às estruturas básicas, como o citoplasma celular, que ela cora em vários tons de rosa.
Agora o que nós estamos vendo aqui pode ser inicialmente difícil de se identificar como duodeno, mas o que você pode ver agora na verdade é uma secção de uma biópsia retirada de uma das pregas circulares que nós vimos anteriormente, portanto você não será capaz de ver todas as camadas do duodeno nessa lâmina.
Agora vamos continuar e ver as camadas do duodeno. Vamos começar identificando todas as camadas do duodeno nessa imagem aqui. A primeira e mais interna camada é conhecida como mucosa, seguida pela submucosa, o revestimento muscular ou túnica muscular e a camada mais externa, chamada de serosa.
Então se você comparar a ilustração à lâmina histológica você será capaz de perceber que as camadas que nós estamos vendo são a mucosa e só um pequeno pedaço de submucosa. E agora nós podemos continuar para a nossa lâmina histológica. Primeiro nós estamos vendo a camada mais interna do duodeno a partir do lúmen - a mucosa.
Ela consiste em três camadas - a camada epitelial, a lâmina própria e a muscular da mucosa. A primeira coisa que nós podemos perceber na mucosa são essas estruturas alongadas se estendendo do duodeno até o espaço luminal. Cada uma dessas é conhecida como vilosidade intestinal. Elas servem ao mesmo propósito das pregas circulares - aumentar a área da superfície luminal do duodeno e maximizar a absorção.
A superfície luminal do duodeno, incluindo as suas vilosidades, é recoberta por uma camada de epitélio colunar simples. Isso significa que essas células são dispostas em uma única camada e são mais altas do que largas. As células epiteliais individuais são chamadas de enterócitos.
Elas são facilmente identificadas em uma secção histológica, já que seu núcleo, de cor escura, localiza-se próximo à sua borda basal. Outra característica distintiva que você será capaz de identificar em ampliações maiores é o que nós chamamos de borda estriada. Essa é uma linha muito fina, estriada ou serrilhada na superfície apical do epitélio. Ela também é chamada de borda microvilosa, devido ao fato de ser formada por microvilosidades, que são pequenas projeções da membrana celular dos enterócitos que servem para aumentar a área de superfície luminal dos enterócitos em até 600 vezes.
Isso, é claro, ajuda muito na absorção de nutrientes dos alimentos, que é a principal função dos enterócitos. Isso, é claro, é difícil de se observar em secções de microscopia óptica, mas se nós olharmos para elas aqui nesta imagem de microscopia por transmissão de elétrons nós podemos ver a sua forma de maneira muito mais clara.
Cada microvilosidade possui cerca de 1 micrômetro de comprimento e 0.1 micrômetro de diâmetro. Se você está prestando atenção até agora você pode ter contado três diferentes adaptações da superfície luminal duodenal que servem para aumentar a área de superfície disponível para a absorção.
Da maior para a menor, estas são as pregas circulares, as vilosidades intestinais e finalmente as microvilosidades da borda estriada. Bem, você provavelmente observou que entre os altos e finos enterócitos também há células mais arredondadas com estes espaços vazios.
Essas são conhecidas como células caliciformes, sobre as quais nós falamos empolgadamente no início deste tutorial. Na realidade as células caliciformes contém mucinogênio, que é lavado em preparações de HE de rotina, então estas células parecem vazias.
As células caliciformes são na verdade glândulas unicelulares que produzem muco, e é por isso que esta camada, a mucosa, recebe este nome. As vesículas mucinogênicas se acumulam próximo à superfície apical das células, que se expande na região superior, distorcendo a forma dos enterócitos vizinhos.
As células na verdade possuem uma fina extensão basal, que chega até a membrana basal, formando a haste do cálice. As hastes são altamente basofílicas, já que elas contém os núcleos celulares e numerosos ribossomos, então elas se coram de azul escuro em secções de HE.
Agora vamos rapidamente prestar atenção nas maiores estruturas observadas nesta secção do duodeno. Você irá notar essas estruturas alongadas se estendendo do duodeno para o espaço luminal. Cada uma dessas é conhecida como vilosidade intestinal.
Elas servem ao mesmo propósito das microvilosidades e das pregas circulares para aumentar a área de superfície luminal do duodeno e maximizar a absorção. Se você observar o lúmen do duodeno em uma escala microscópica ele terá uma aparência aveludada devido às incontáveis vilosidades encontradas na sua superfície.
Histologicamente as vilosidades são recobertas por epitélio colunar simples, com as bordas estriadas que nós já discutimos mais cedo neste tutorial. No seu centro nós encontramos extensões da lâmina própria da mucosa formadas por tecido conjuntivo, linfócitos e diminutos vasos sanguíneos.
No centro das vilosidades você encontrará o que é conhecido como vaso lacteal. Ele é uma terminação em fundo cego de um vaso linfático que drena linfa para vasos linfáticos progressivamente maiores. Os lacteais são cercados por fibras musculares lisas se estendendo da muscular da mucosa.
Acredita-se que estas fibras musculares criam contrações nas vilosidades, que ajudam a empurrar a linfa dos lacteais para vasos linfáticos maiores. A próxima camada da mucosa é, é claro, a sua lâmina própria. Nós já vimos as suas projeções para as vilosidades, mas ela na verdade se estende desde o epitélio colunar simples até a camada muscular da mucosa.
Você irá notar imediatamente que ela possui uma aparência muito diferente do tecido conjuntivo que forma o centro da vilosidade intestinal. O tecido conjuntivo ainda está ali, é claro, mas ele também demonstra características destas estruturas conhecidas como criptas intestinais, ou glândulas intestinais.
Elas são estruturas tubulares que se estendem da base das vilosidades até a lâmina própria. O que você normalmente vê em secções histológicas são algumas glândulas que são cortadas longitudinalmente e algumas que são cortadas transversalmente, e portanto aparecem como estruturas circulares. Elas também são revestidas por epitélio colunar simples, semelhante ao que você vê nas vilosidades intestinais.
Na base destas glândulas, entretanto, nós encontramos um tipo diferente de célula, que nós ainda não discutimos. Nós estamos falando das células de Paneth. Estas células possuem um papel na manutenção da flora bacteriana no intestino delgado. Elas são facilmente identificadas em uma secção de HE de rotina, devido às suas extremidades basais contendo um núcleo, e portanto são altamente basofílicas, ou seja, se coram em azul escuro.
Nas suas extremidades apicais nós encontramos grandes acúmulos de grânulos de zimogênio, que são altamente eosinofílicos, ou seja, se coram de vermelho ou rosa. Estas vesículas armazenam enzimas secretoras que quebram as paredes celulares de certas bactérias. Há outro tipo de células disperso pela mucosa do duodeno, conhecido como APUD - as células APUD, ou enteroendócrinas. Esse na verdade é um termo amplo para oito diferentes tipos de células que secretam hormônios peptídeos e regulam as funções do trato gastrointestinal.
Elas agem como glândulas endócrinas ao secretar hormônios diretamente na corrente sanguínea. Os hormônios endócrinos mais ativos secretados no duodeno são a colecistoquinina, a secretina, o peptídeo inibidor gástrico e a motilina. Ele também secreta somatostatina e histamina, que são hormônios parácrinos que não são liberados na corrente sanguínea, tendo um efeito local.
O citoplasma destas células é rico em vesículas, que se perdem nas preparações de HE de rotina. Estas células podem ser difíceis de se visualizar, mas o seu citoplasma claro pode ser usado como um indicador. Agora que nós exploramos tudo o que nós podemos ver na camada epitelial e na lâmina própria, seria uma boa hora para vermos a última camada da mucosa duodenal.
Nós estamos falando sobre uma fina camada de músculo liso conhecida como muscular da mucosa. Ela é formada de algumas camadas de músculo orientadas em diferentes direções, o que ajuda a expelir conteúdo das glândulas localizadas na submucosa, que é esta camada aqui. Ela é formada de tecido conjuntivo denso irregular.
Além dos vasos sanguíneos e linfáticos geralmente encontrados no tecido conjuntivo, nós temos algo único na submucosa. Abrigado no tecido conjuntivo fica o que nós chamamos de glândulas submucosas duodenais ou glândulas de Brunner, que eliminam uma secreção alcalina conhecida como mucina nas glândulas intestinais, que protege a parede duodenal do quimo ácido que chega do estômago.
As glândulas duodenais são estruturas tubulares ramificadas que em uma secção de HE geralmente aparecem como luz e estruturas algo espumosas circulares, já que muitas delas serão cortadas transversalmente. Essas glândulas são muito importantes não apenas funcionalmente, mas também como um marcador histológico. Isso porque todas as três partes do intestino delgado possuem a mesma composição geral e podem ser muito parecidas nas secções histológicas.
As glândulas duodenais geralmente estão localizadas na parte proximal do duodeno, e portanto tornam esse segmento muito fácil de se identificar. Apenas uma breve observação aqui - apesar de as glândulas duodenais normalmente estarem contidas na submucosa, algumas vezes você pode encontrar glândulas deslocadas para a lâmina própria da mucosa. Nós temos um belo exemplo disso aqui na nossa lâmina. Já que nós estamos trabalhando com uma secção de uma biópsia duodenal neste tutorial, a submucosa é a parte mais profunda que nós vamos ver nas nossas imagens.
Mesmo assim, vamos tomar um tempo para discutir as duas camadas mais externas que não aparecem na nossa lâmina histológica. Vamos primeiro falar sobre o revestimento muscular do duodeno, também conhecido como túnica muscular. Ele está localizado profundamente à camada submucosa, e consiste em duas camadas de músculo liso.
A camada externa é conhecida como camada longitudinal, devido ao fato de suas fibras musculares cursarem paralelamente à direção do duodeno. A camada interna, por outro lado, é conhecida como camada circular, já que as suas fibras cursam paralelas à circunferência da parede duodenal.
A aparência destas fibras numa secção histológica obviamente depende da orientação da secção, então é melhor lembrar que a camada interna é sempre a camada circular, e a camada externa é sempre longitudinal. Estas camadas produzem dois diferentes movimentos no intestino delgado. A camada circular produz um movimento chamado segmentação, que se refere a mover o quimo ao localmente para misturá-lo com os sucos digestivos e fazê-lo ter contato com a mucosa.
O outro tipo de movimento é chamado de peristaltismo, e é produzido pela ação coordenada das camadas circular e longitudinal, e serve para mover o conteúdo alimentar ao longo do intestino. Entre estas duas camadas musculares nós encontramos o plexo mioentérico de Auerbach. Estes neurônios parassimpáticos pós-ganglionares são parte do sistema nervoso entérico, responsáveis pela produção de movimentos peristálticos.
Então não é surpresa que o plexo está localizado entre as duas camadas da muscular externa, inervando o músculo liso nelas. A última e mais externa camada que nós vamos discutir neste tutorial é a serosa. Ela é formada por uma camada de epitélio escamoso simples chamado de mesotélio e uma pequena quantidade de tecido conjuntivo frouxo.
Onde o mesotélio está ausente a camada mais externa é chamada de adventícia. A serosa está associada com estruturas intraperitoneais como o fígado, o estômago e a primeira parte do duodeno, enquanto a adventícia está associada com estruturas retroperitoneais, como o pâncreas, as partes ascendente e descendente do intestino grosso e o restante do duodeno.
Isso encerra as características histológicas do duodeno que nós queremos ensiná-lo hoje. Mas o show não acabou, porque é hora de por a nossa histologia em perspectiva e ver a sua importância clínica. Hoje nós vamos ver as úlceras duodenais em um contexto histológico.
As úlceras duodenais são um tipo de úlcera péptica caracterizadas pela quebra do revestimento mucoso da parte proximal do duodeno. Vamos ver os seus sintomas primeiro. Na verdade é o que você pode esperar com a maioria dos distúrbios digestivos - dor abdominal, náuseas, vômitos (algumas vezes com sangue), plenitude gástrica, perda de peso - você pegou a ideia.
A causa mais comum de úlceras duodenais é a bactéria Helicobacter pylori, que causa inflamação na mucosa do duodeno. O uso crônico de certas medicações, particularmente drogas anti-inflamatórias não esteroidais como a aspirina e o ibuprofeno, bem como o tabagismo e o etilismo também são causas de úlceras duodenais.
Então, qual a aparência de uma úlcera em uma secção histológica? As bactérias Helicobacter pylori atacam o epitélio da mucosa na superfície luminal do duodeno. Elas secretam proteínas inflamatórias que atacam o epitélio e causam inflamação.
Eventualmente isto causa a ruptura do epitélio, o que deixa a lâmina própria exposta ao ácido do estômago. Se você se lembrar, nós encontramos vasos sanguíneos e nervos na lâmina própria, então não é uma surpresa que essa agressão contínua pode causar dores e sangramento.
O tratamento inclui a remoção dos agentes que podem ter causado a úlcera, como medicações, tabagismo ou etilismo. Se a úlcera é causada por bactérias, o primeiro passo no seu tratamento é a administração de antibióticos. Isso encerra tudo o que eu queria falar com vocês hoje.
Mas antes de finalizarmos vamos revisar o que nós aprendemos. Primeiro nós vimos a mucosa, a camada mais próxima da superfície luminal do duodeno. Aqui nós identificamos o seu epitélio colunar simples, formado por enterócitos com uma borda estriada formada por microvilosidades na superfície apical das células.
Também dispersas na camada epitelial nós vimos células caliciformes produtoras de muco. Nós também identificamos estas projeções em forma de dedos da mucosa, conhecidas como vilosidades, que ajudam a aumentar a área de superfície luminal do duodeno. No seu centro de tecido conjuntivo contínuo com a lâmina própria da mucosa nós encontramos um pequeno vaso linfático em fundo cego conhecido como lacteal, envolvido por fibras de músculo liso.
Nós então falamos um pouco mais sobre a lâmina própria com a sua característica mais distintiva, as glândulas intestinais. De forma geral elas têm o mesmo revestimento que o restante da mucosa, mas nas suas bases nós encontramos células de Paneth, que possuem um papel na manutenção da flora bacteriana no intestino delgado.
Também na base das glândulas intestinais nós vimos as células APUD - células A-P-U-D - responsáveis pela secreção de hormônios peptídeos na corrente sanguínea. Nós continuamos para identificar a muscular da mucosa, uma fina camada de músculo liso considerada parte da mucosa, separando-a da submucosa, antes de continuarmos para a camada de tecido conjuntivo irregular denso, a submucosa.
Nós então falamos sobre as glândulas submucosas duodenais ou glândulas de Brunner, normalmente encontradas na submucosa, mas na nossa lâmina deslocadas focalmente para a lâmina própria da mucosa. Nós aprendemos que estas glândulas produzem mucina alcalina, que é transportada para o lúmen do duodeno por glândulas intestinais para neutralizar o quimo ácido do estômago.
Nós vimos uma ilustração representando as camadas de tecido do duodeno para identificar o revestimento muscular, ou túnica muscular, uma camada formada de camadas circular e longitudinal de músculo liso, encontrada sob a mucosa.
Finalmente nós vimos o revestimento mais externo do duodeno, chamado de serosa, formado por tecido conjuntivo frouxo. E finalmente nós vimos a formação das úlceras duodenais na nossa seção de notas clínicas. Isso nos trás ao fim desta videoaula.
Eu espero que você tenha gostado, e bons estudos!