Connection lost. Please refresh the page.
Online
The #1 platform to learn anatomy
6,591,773 users worldwide
Exam success since 2011
Serving healthcare students globally
Reviewed by medical experts
2,907 articles, quizzes and videos

Placenta

Learning objectives

After completing this study unit you will be able to:

  1. Understand the histological structure of the placenta and its parts.
  2. Identify these under the microscope.

Browse atlas

The placenta is an organ which develops from fetal and maternal tissues and provides gas exchange, nourishment and protection to the developing fetus. It consists of a fetal portion, formed by the chorion frondosum, and a maternal portion, formed by the decidua basalis

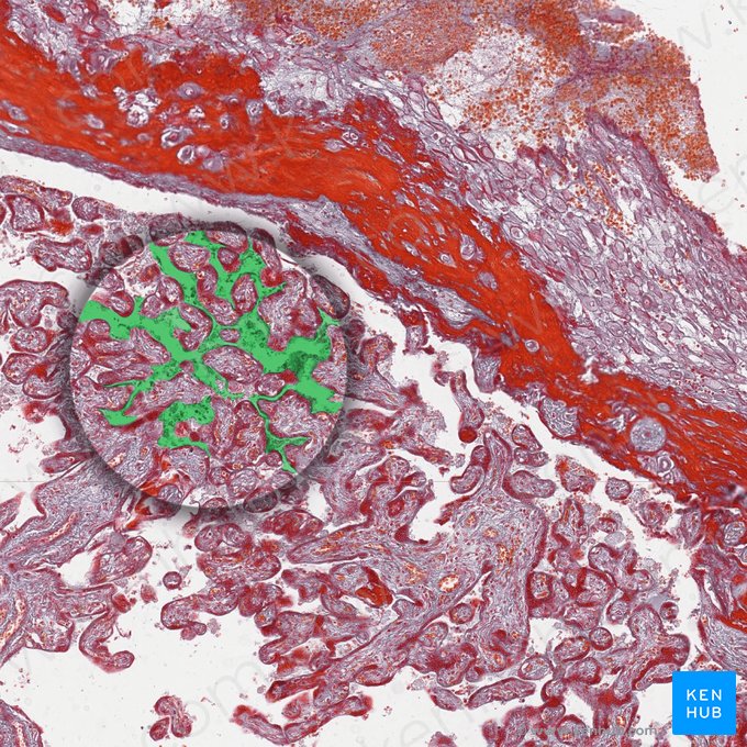
The placental disc is composed of two different surfaces, the fetal surface, also known as the chorionic plate, and the maternal surface, also known as the basal plate. The chorionic plate is covered by the amnion, or amniotic membrane, which secretes amniotic fluid to provide protection and cushion for the fetus, while also facilitating exchanges between the mother and fetus. Deep to the amnion lies the chorion, a thicker membrane continuous with the lining of the uterine wall. Originally, early in the development of the placenta, the entire chorionic plate is covered with chorionic villi. These villi increase in size and produce the chorion frondosum or fetal portion of the placenta. The chorionic villi of the fully developed placenta contain a network of fetal capillaries, allowing a maximal contact area with the maternal blood. The exchanges between the fetal and maternal circulation occurs in the intervillous space

The maternal surface of the placenta, or basal plate, is an artificial surface, which emerges from the separation of the placenta from the uterine wall during delivery. This surface is composed of the decidua, which is composed of three parts: the decidua basalis, the decidua capsularis and the parietal decidua

Additionally, several specialized cells can be found here:

  • Decidual cells which are endometrial stromal cells.
  • Trophoblastic 'X-cells', spindle shaped cells which are primarily located in the basal plate and responsible for secreting parathyroid hormone (PTH) related protein.
  • Hofbauer cells which are fetal macrophages located in the villous stroma.
  • Cytotrophoblasts which are mononuclear cells and act as precursors of all other trophoblasts.
  • Syncytiotrophoblasts which are a continuous, specialized layer of multinucleated epithelial cells and cover the entire surface of villous trees and chorionic villi. They are formed by the fusion of trophoblastic cells (syncytium).

Ready to review all these structures in further detail? Browse our image gallery below:

Take a quiz

With the following quiz you can now apply and test your newly acquired knowledge:

Have you challenged yourself enough? To adjust your focus and choose the topics you’ll get quizzed on, try out our customizable quiz.

Register now and grab your free ultimate anatomy study guide!