Connection lost. Please refresh the page.
Online
The #1 platform to learn anatomy
6,580,779 users worldwide
Exam success since 2011
Serving healthcare students globally
Reviewed by medical experts
2,907 articles, quizzes and videos

Scalp and hair

Learning objectives

After working through this study unit, you will be able to:

  1. Understand the distinct characteristics of the scalp compared to the skin in other parts of the body
  2. Identify and discuss the microanatomy of hair shafts, follicles and other related structures. 

Watch video

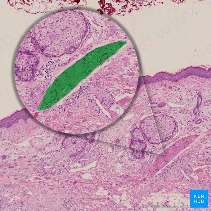
The scalp is a region of the head which covers the top of the skull and is specialized for hair growth. Similar to skin found elsewhere on the body, the scalp consists of an epidermis, dermis and underlying subcutaneous tissue. The epidermis formed of multilayered, keratinized stratified squamous epithelium while the dermis contains numerous blood vessels, nerve endings as well as appendages such as hair follicles, sebaceous and sweat glands. The scalp skin is thicker than the skin on most other parts of the body.

The hair shaft is a fine, keratinized, cylindrical (and usually pigmented) epidermal outgrowth, which is composed of a cuticle, cortex and medulla. It grows from tubelike invaginations (pits) of the epidermis, known as hair follicles. Each follicle is surrounded by an outer connective sheath of dermis which surrounds external and internal root sheaths. The proximal, expanded part of the hair follicle in which the hair shaft is generated is known as the hair bulb. It features a knoblike indentation of dermis known as a hair papilla, which contains blood vessels to nourish the growing hair. 

Check out the video below to learn about this topic in more detail!

Take a quiz

Solidify and test your knowledge with the following quiz. 

Or try this customizable quiz to challenge yourself with a broader focus on the integumentary system.

Browse atlas

Take some time to review each of the structures you've encountered in the galleries below. 

Register now and grab your free ultimate anatomy study guide!