Connection lost. Please refresh the page.
Online
The #1 platform to learn anatomy
6,590,285 users worldwide
Exam success since 2011
Serving healthcare students globally
Reviewed by medical experts
2,907 articles, quizzes and videos
Ready to learn?
Pick your favorite study tool

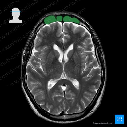
Frontal sinus

Structures seen on the midsagittal section of the skull.

The frontal sinuses are paired air-filled cavities in the frontal bone of the skull and one of the four different paranasal sinuses, along with the maxillary sinus, sphenoidal sinus and ethmoidal air cells. They are the most superior of these sinuses and typically appear triangular-shaped. The frontal sinus, like the other paranasal sinuses, is lined by a respiratory mucus membrane which produces a film of mucous. Drainage of the sinus to the nasal cavity is via the frontonasal duct, opening into nasal cavity either at the anterior part of the middle meatus by the ethmoidal infundibulum or medial to the hiatus semilunaris.

The frontal sinus has several potential functions. The mucosal lining helps to warm and humidify inhaled air entering from the nasal cavity, whilst its presence as a hollow space in the frontal bone lightens the mass of the skull, allowing the muscles that move the head and neck to work more efficiently. Paranasal sinuses are also thought to enhance the resonance of speech

Terminology English: Frontal sinus
Latin: Sinus frontalis
Location Paired sinuses in the frontal bone, deep to the superciliary arches
Function Warm and humidify air, lighten skull, enhance speech resonance

Learn more about the nasal cavity with this study unit:

Frontal sinus: want to learn more about it?

Our engaging videos, interactive quizzes, in-depth articles and HD atlas are here to get you top results faster.

What do you prefer to learn with?

“I would honestly say that Kenhub cut my study time in half.” – Read more.

Kim Bengochea Kim Bengochea, Regis University, Denver
© Unless stated otherwise, all content, including illustrations are exclusive property of Kenhub GmbH, and are protected by German and international copyright laws. All rights reserved.

Register now and grab your free ultimate anatomy study guide!