Conexión perdida. Por favor actualiza la página.
Conectado
La plataforma nº 1 para aprender anatomía
6.590.278 usuarios en todo el mundo
Éxito en los exámenes desde 2011
Ayudando a estudiantes del área de salud
Revisado por especialistas médicos
1.435 artículos, cuestionarios y videos
¿Listo para aprender?
Elige tu herramienta de estudio favorita

Útero

Principales órganos del sistema reproductor femenino.

El útero, también conocido como la matriz de la mujer o vientre, es un órgano muscular hueco de unos 8 cm de largo ubicado en la pelvis femenina, en disposición dorsocraneal sobre la vejiga. Consta de varias porciones anatómicas, como el cuello, istmo y cuerpo. Su anatomía parece simple, pero su histología es un poco más compleja. Consiste en tres capas mayores, pero la estructura histológica exacta depende del estado en el que se encuentre, es decir si está en fase proliferativa o no.

También como un órgano del sistema reproductor femenino es responsable por el desarrollo del embrión y el feto durante el embarazo. Este artículo describe su anatomía, histología y funciones, explicando algunos datos importantes sobre el ciclo menstrual en general.

Puntos clave sobre el útero
Partes Cuello, istmo, cuerpo, fondo (base)
Posición y orientación Anteflexión y anteversión
Recesos peritoneales Fondos de saco vesicouterino y rectouterino
Irrigación Arterias uterinas
Drenaje venoso Plexo venoso uterino que desemboca en la vena ilíaca interna
Inervación Plexo hipogástrico inferior
Estructuras linfáticas Ganglios linfáticos Ilíacos (internos y externos), obturadores y paraaórticos
Histología Fases: proliferativa y secretora
Capas: endometrio (capas funcional y basal), miometrio (capas subvascular, vascular, supravascular), perimetrio
Contenidos
  1. Anatomía
    1. Partes y posición
    2. Vascularización e inervación
    3. Estructuras linfáticas
  2. Histología
  3. Función
    1. Desarrollo
  4. Resumen
  5. Bibliografía
+ Muestra todo

Anatomía

Partes y posición

El útero está dividido en cuello, istmo y cuerpo.

El cuello se ubica subperitonealmente y consta de una porción que se proyecta dentro de la vagina (porción vaginal) y una parte fija en el parametrio (porción supravaginal). El canal cervical tiene dos orificios: el orificio interno del istmo y el orificio externo hacia la vagina. El istmo es un pasaje estrecho de aproximadamente 1 cm de largo que conecta el cuello uterino y el cuerpo. El cuerpo se encuentra intraperitonealmente y tiene una luz en "triángulo" a través del cual se conecta con el istmo y ambas trompas de Falopio. La base del útero es llamada fondo.

En la mayoría de las mujeres, el cuerpo está inclinado hacia adelante contra el cuello uterino en el istmo (anteflexión) mientras que el eje del cuello del útero se encuentra inclinado hacia la vagina (anteversión). La forma y tamaño sin embargo puede variar dependiendo de la edad, número de embarazos y estado hormonal.

El útero está rodeado por tejido conectivo circundante (parametrio). El peritoneo cubre al útero casi completamente (a excepción de la parte ventral del cérvix) formando dos recesos: ventralmente, el saco vesicouterino y dorsalmente, el saco rectouterino (saco de Douglas).

Vascularización e inervación

Es irrigado por las ramas de las arterias uterinas (rama de la arteria ilíaca interna). Una rama viaja dentro del ligamento ancho del útero hasta la región cercana al hilio del ovario, donde forma una anastomosis con las ramas uterinas de la arteria ovárica (rama de la aorta abdominal). La segunda rama irriga al cuello y se anastomosa con varias ramas de la arteria vaginal. La arteria uterina también emite varias ramas perforantes dentro de la pared del útero que forman dos sistemas circundantes alrededor del útero llamados arterias arcuatas posterior y anterior. La sangre venosa drena a través del plexo venoso uterino en la vena ilíaca interna.

Los nervios derivan del plexo hipogástrico inferior. La inervación simpática se origina de los segmentos espinales T12 y L1, mientras que la inervación parasimpática es proporcionada por los segmentos espinales S2 a S4. Todos los vasos y nervios corren a través de los ligamentos anchos del útero (ligamentum latum uteri), una amplia duplicación del peritoneo que conecta la pared lateral del útero con la pared pélvica.

Estructuras linfáticas

Los vasos linfáticos drenan la linfa del cuerpo y el cuello del útero hacia los ganglios linfáticos ilíacos (externos e internos), así como los ganglios linfáticos obturatrices. A su vez, el fondo es drenado hacia los ganglios linfáticos paraaórticos.

Para más información sobre el útero, echa un vistazo a continuación:

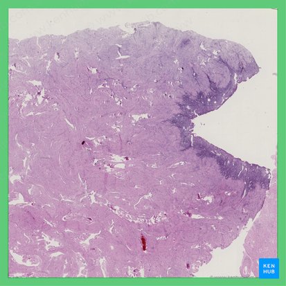
Histología

El útero tiene tres capas: mucosa (endometrio), muscular (miometrio) y serosa o adventicia (perimetrio).

  • El endometrio (membrana mucosa uterina) está cubierto por epitelio cilíndrico simple (lamina epithelialis) y contiene numerosas glándulas tubulares. Es seguido por una capa de tejido conectivo abundante en células (lamina propria). Existe una transición a epitelio escamoso no queratinizado en esta porción (unión escamocolumnar). Fisiológicamente el endometrio está dividido en la capa funcional (stratum functionale) y la capa basal (stratum basale).
  • El miometrio (musculatura uterina) comprende un complejo de tres capas de músculo liso que son microscópicamente difíciles de separar (de dentro hacia afuera):
    • La capa subvascular es bastante delgada y participa principalmente en el sellado de las trompas y la separación del endometrio durante el ciclo menstrual.
    • La capa vascular es bastante fuerte, está bien perfundida y corre alrededor del útero como una red. Desempeña un papel importante durante el parto.
    • La capa supravascular es nuevamente una capa delgada de fibras musculares que se cruzan y estabilizan la pared uterina.
  • El perimetrio es igual al peritoneo y está rodeado por una fina capa de tejido conectivo (tela subserosa). En las áreas que no poseen no hay serosa sino adventicia.

¿Quiere saber cuánto has aprendido sobre la histología del útero? ¡Echa un vistazo a continuación!

Función

El útero juega un papel importante en la reproducción humana. Es el órgano donde tiene lugar la implantación y nutrición del óvulo fecundado. Además, ayuda a empujar al bebé durante el parto por medio de la contracción muscular.

El útero de las mujeres en edad fértil sigue un ritmo de aproximadamente 28 días, controlado por hormonas (ciclo menstrual) que pasa por tres fases:

  • Durante la fase menstrual (día 1 a 4) las arterias espirales en el endometrio se contraen llevando a isquemia y desprendimiento de la capa funcional (descamación). Al mismo tiempo los factores de coagulación en la sangre menstrual son descompuestos para evitar la coagulación de la sangre. Esta fase es predominantemente controlada por el estrógeno causando contracciones dolorosas de la musculatura uterina.
  • Durante la fase proliferativa (dia 5 a 14) las células de la capa basal se dividen rápidamente llevando a una regeneración rápida del epitelio, la capa funcional y las arterias espirales.
  • La fase secretora (día 15 a 28) comienza con la ovulación deteniendo la proliferación y preparando una implantación del óvulo. Se trata de una acumulación intracelular de glucógeno y una dilatación de la luz uterina. Las glándulas tienen forma de sierra y secretan cada vez más nutrientes. Las células del estroma endometrial se asemejan a la decidua de la placenta (células predeciduales). Las arterias espirales se activan para irrigar una posible placenta. Si no ocurre la fertilización durante la fase secretoria, las arterias espirales se contraen y el ciclo se inicia nuevamente.

Desarrollo

El útero se desarrolla a partir de los conductos paramesonéfricos (de Müller), los cuales son las estructuras fetales primordiales del aparato reproductor femenino. Más específicamente, el primordio uterovaginal está formado por la fusión de las partes caudales y verticales de los conductos paramesonéfricos. Este primordio dará lugar a la porción inferior del útero que lentamente irá creciendo durante el desarrollo, últimamente resulta en el fondo y cuerpo del útero en una mujer adulta. Se pueden comenzar a observar signos claros del cuerpo uterino con 9 semanas de edad gestacional. El endometrio y la pared muscular del útero se desarrollan desde el mesénquima del cordón genital.

Si ya sientes que sabes todo sobre los órganos reproductivos femeninos, pon a prueba tu conocimiento con el siguiente cuestionario sobre el útero, tuba uterina y los ovarios.

Útero: ¿quieres aprender más sobre este tema?

Nuestros interesantes videos, cuestionarios interactivos, artículos detallados y atlas en alta definición te ayudarán a lograr resultados mucho más rápido.

¿Cómo prefieres aprender?

“Honestamente podría decir que Kenhub disminuyó mi tiempo de estudio a la mitad” – Leer más.

Kim Bengochea Kim Bengochea, Universidad Regis, Denver
© A menos de que se defina lo contrario, todo el contenido, incluyendo ilustraciones, son propiedad exclusiva de Kenhub GmbH, y están protegidas por las leyes de copyright alemanas e internacionales. Todos los derechos reservados.

Regístrate ahora ¡y consigue tu guía de estudio definitiva!