Connection lost. Please refresh the page.
Online
The #1 platform to learn anatomy
6,581,890 users worldwide
Exam success since 2011
Serving healthcare students globally
Reviewed by medical experts
2,907 articles, quizzes and videos

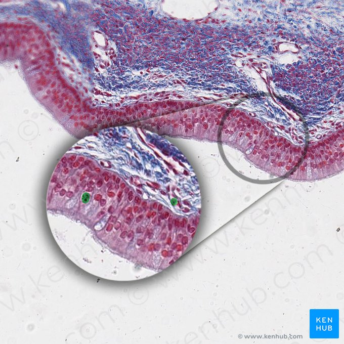
Loose connective tissue

Learning objectives

After completing this study unit you will be able to:

  1. Understand the structure and cellular components of connective tissue.
  2. Describe and identify loose connective tissue in histological slides.

Watch video

Connective tissue is characterized by the fact that the cells do not lie close together but are separated from each other by an interstitial space. This interstitial space between cells is filled by extracellular matrix, which consists of fibers and a ground substance of proteins. The main cells of connective tissue are fibroblasts, which secrete proteins that maintain the extracellular matrix.

Loose connective tissue
is the most common type of connective tissue. It is composed of fibroblasts and collagen fibers, specifically elastic and reticular fibers. In every epithelial organ it has protective, filling and stabilizing functions. In loose connective tissue, the ground substance occupies a high volume in comparison to the abovementioned fibers. These elastic and reticular fibers are distributed randomly and criss cross in all directions.

Watch the following video to learn more about the structure and cellular components of loose connective tissue:

Take a quiz

Wow, this is a lot of information! Consolidate your newly acquired knowledge by taking our quiz:

To adjust your focus and choose the topics you’ll get quizzed on, try out our customizable quiz:

Browse atlas

Register now and grab your free ultimate anatomy study guide!