Knie-MRT
Das Kniegelenk ist ein komplexes Gelenk, das drei Knochen miteinander verbindet: den Femur, die Tibia und die Patella. Die Anordnung der Knochen im Kniegelenk, zusammen mit seinen vielen Bändern, ermöglicht eine große Beweglichkeit und gleichzeitig hohe Stabilität. Das Kniegelenk ist das wohl am stärksten beanspruchte und exponierteste Gelenk des Körpers. Daher ist es besonders anfällig für verschiedene Verletzungen und degenerative Veränderungen. Die ausgeprägte diagnostische Genauigkeit des MRT und das häufige Vorkommen von Kniebeschwerden machen das Knie-MRT zu einer der am häufigsten durchgeführten bildgebenden Untersuchungen des Bewegungsapparates.
Um Pathologien des Knies beurteilen zu können, ist es notwendig, den Aufbau eines normalen Knie-MRT zu kennen. Dieser Artikel bietet dir eine einfache Anleitung zu den Grundlagen eines MRT und wie man die wichtigsten Strukturen, einschließlich Knochen, Knorpel und Bänder, in einem normalen Knie-MRT erkennen und bewerten kann. Zum Schluss erläutern wir im Allgemeinen, wie man auch häufige pathologische Veränderungen dieser Strukturen erkennen kann.
Definition MRT | Ein bildgebendes Verfahren zur Darstellung von Knochen- und Weichteilstrukturen des Knies. |
Mechanismus | Die Emission von Magnetfeldern regt Protonen in den Geweben dazu an, ein Signal zu erzeugen, dass vom MRT-Gerät gemessen und in ein Graustufenbild umgewandelt wird. |
Sequenzen |
T1- Wichtung: Fettgewebe und Knochenmark erzeugen ein hyperintenses Signal und erscheinen daher weiß; Bänder, Knorpel und Flüssigkeiten erzeugen hingegen ein hypointenses Signal und erscheinen schwarz. T2-Wichtung: Bänder, Knorpel und Flüssigkeit erzeugen ein hyperintenses Signal (sie erscheinen weiß), Fettgewebe und Knochenmark erzeugen ein hypointenses Signal (sie erscheinen schwarz). (Merkhilfe: T2 = helles H2O. Flüssigkeiten erscheinen hell. T1 ist das Gegenteil. Hier erscheinen Flüssigkeiten dunkel.) Protonendichtebild: stellt Gewebe mit hoher Protonendichte dar (fetthaltiges Knochenmark, hyaliner Knorpel und Muskel) |
Schnittebenen |
Koronal/Frontal: Schnittbilder durch das Knie von medial nach lateral Sagittal: Schnittbilder durch das Knie von vorne nach hinten Axial/Transversal: Querschnitt des Knies |
- Wie wertet man ein Knie-MRT aus?
- Knochen und Knorpel
- Bänder und Menisken
- Streckapparat
- Literaturquellen
Wie wertet man ein Knie-MRT aus?
Ein MRT hat viele Vorteile gegenüber anderen bildgebenden Verfahren. Einer der wichtigsten Vorteile ist die Möglichkeit, einzelne Weichteilstrukturen klar voneinander abgrenzen zu können. Dies schafft der MRT-Scanner, indem er die Protonen im Gewebe anregt, ein Signal zu erzeugen, welches von den Empfängern im MRT-Gerät gemessen und dann mittels Rechner in ein Bild umgewandelt wird. Da verschiedene Gewebe eine unterschiedliche Protonendichte besitzen, kann das Signal in der Intensität variieren. Dadurch ist es möglich, Gewebestrukturen zu unterscheiden und voneinander abzugrenzen. Zum Beispiel haben Knochen eine höhere Protonendichte und senden daher ein stärkeres Signal aus, das hyperintens (weiß) im Bild erscheint. Flüssigkeiten haben dagegen eine geringere Dichte und senden daher ein schwächeres Signal aus, das dann hypointens (schwarz) erscheint.
Auf dem endgültigen MRT-Bild hängt die Intensität des Gewebes außerdem auch von der verwendeten Sequenztechnik ab. Die am häufigsten verwendeten Techniken sind die T1- und T2-Wichtung. Als weitere Technik können Protonendichte (PD)-Bilder zur Kontrastverstärkung eingesetzt werden. Je nach Fragestellung und dem entsprechenden betrachteten Gewebe kann zwischen diesen 3 Techniken gewechselt werden:
- T1-gewichtete Bilder sind nützlich, um fetthaltiges Gewebe und Knochenmark zu beurteilen, da diese ein starkes T1-Signal erzeugen und somit weiß erscheinen. Gewebe, die mehr Wasser enthalten (z.B. Bänder, Knorpel und Gelenkflüssigkeit), erzeugen ein schwächeres T1-Signal und erscheinen daher dunkler.
- T2-gewichtete Bilder sind nützlich, wenn man Gewebe mit einem höheren Wasseranteil beurteilen möchte oder man pathologische Flüssigkeitsansammlung erkennen will. Gewebe, wie Bänder, Knorpel und Flüssigkeiten, erzeugen ein hohes T2-Signal und erscheinen weiß. Das Knochenmark hingegen erzeugt ein schwächeres T2-Signal und erscheint schwarz. Zur Unterstützung kann die Merkhilfe “T2 = helles H2O” dienen, da Flüssigkeiten in dieser Wichtung immer weiß erscheinen. Umgekehrt werden Flüssigkeiten in der T1-Wichtung immer dunkel dargestellt.
- Protonendichte (PD)-Bilder minimieren den Kontrast von T1- und T2-Sequenzen, um einen besseren Kontrast zu erzeugen. Wie der Name schon sagt, heben PD-Bilder Strukturen mit einer höheren Protonendichte hervor. Daher erzeugen fetthaltiges Knochenmark und hyaliner Knorpel eine hohe Signalintensität und erscheinen weiß oder grau. Muskeln erzeugen ein Zwischensignal und wirken grau, während Bänder ein niedriges Signal erzeugen und schwarz erscheinen.
Eine weitere wichtige Eigenschaft des MRT ist die Fähigkeit, Bilder in mehreren Ebenen zu erzeugen. Dies ermöglicht es uns, das Knie aus verschiedenen Blickwinkeln zu betrachten. Üblicherweise werden die Aufnahmen in drei Ebenen aufgenommen: Koronal-, Sagittal- und Axialebene. Die Koronalebene wird durch einen Schnitt erzeugt, der von medial nach lateral verläuft und eine Betrachtung des Knies von vorne nach hinten erlaubt. Die Sagittalebene entsteht durch einen Anschnitt von vorne nach hinten und erlaubt eine Betrachtung des Knies von der Seite. Die axiale Ebene stellt einen Querschnitt dar. Letztlich ist das Bild, das das MRT erzeugt, ein dünner Schnitt durch das Knie in einer dieser drei Ebenen.
Als ein Beispiel ist hier eine Übersicht des Knies auf einem axialen PD-Bild abgebildet. Zu sehen ist ein Schnitt durch die Femurkondylen. Bei dieser Aufnahme erscheint das Fett und der hyaline Knorpel weiß und die Knochen weiß bis grau. Die Muskeln werden grau dargestellt, während sich die Sehnen und Bänder schwarz präsentieren.
Da das Knie ein zusammengesetztes Gelenk ist, das aus mehreren Teilgelenken besteht, ist es wichtig, das Knie in allen drei Ebenen und in T1- und T2-gewichteten Sequenzen aufzunehmen. Wir gehen nun die wichtigsten Strukturen des Knies durch und beschreiben, wie sie auf den verschiedenen Ebenen im MRT (koronal, sagittal und axial) zu sehen sind.
Knochen und Knorpel
Femoropatellargelenk
Wenn wir uns das Knie in der koronalen Ebene anschauen, sehen wir als vorderste Struktur die Kniescheibe (Patella). Die Patella ist als größtes, dreieckiges Sesambein des Körpers in die Quadrizepssehne eingebettet. Mit ihrer hinteren Oberfläche (Facies posterior) bildet die Patella zusammen mit der vorderen Oberfläche des Oberschenkelknochens (Femur) das Femoropatellargelenk (Articulatio femoropatellaris).
Bei der Untersuchung der Patella ist es wichtig, ihre Konturen, ihr Knochenmark im Kern und den Gelenkknorpel zu beurteilen. In der T1-Sequenz erscheint die Patella homogene und stark weiß. Es ist wichtig sicherzustellen, dass es keine Anzeichen von Frakturen oder Zystenbildung im Knochen gibt, die als hypointense Linien oder Kreise dargestellt werden.
Als Nächstes sollte die Dicke und die Homogenität des Knorpels bewertet werden. Deswegen betrachten wir die Bilder, die in Sagittal- und Axialebene aufgenommen werden. In der T2-Sequenz hat der Knorpel ein einheitlich homogenes, weißes Signal. Es ist zu beachten, dass der Knorpel im mittleren und unteren Teil dicker ist, während er im oberen Teil dünner erscheint. Abnorme Signale und Unregelmäßigkeiten im Gelenkknorpel, wie Fissuren, Ulzerationen oder osteochondrale Fragmente, können auf eine Chondromalazie des Femoropatellargelenkes hinweisen.
Der Gelenkspalt des Femoropatellargelenks muss auch auf Anzeichen einer Flüssigkeitsansammlung untersucht werden. Diese würde in der T2-Wichtung als hypointenses Signal zwischen den beiden Gelenkflächen von Patella- und Femur erscheinen.
Femorotibialgelenk
Wenn wir tiefer in die Koronalebene des Kniegelenks schauen, können wir sehen, dass die medialen und lateralen Femurkondylen mit dem Schienbeinplateau (Tibiaplateau) artikulieren und so das Femorotibialgelenk (Articulatio femorotibialis) bilden. Falls man sich an dieser Stelle nicht sicher ist , welche Seite auf der Abbildung medial und welche lateral ist, kann man im MRT-Bild weiter nach posterior scrollen, bis die Fibula zu erkennen ist, die sich immer lateral befindet.. Bei der Untersuchung des Femorotibialgelenkes müssen die Konturen des Knochens, des Knochenmarks und des Gelenkknorpels betrachtet werden.
Bei der Beurteilung des Knochenmarks sollte auf Anzeichen von Ödemen, Kontusionen, Tumoren oder Frakturen geachtet werden. Bei der T1-Wichtung erscheint normales Knochenmark intensiver und heller, während es bei der T2-Wichtung schwächer und dunkler ist. Normales Knochenmark zeigt eine weitgehend homogene Intensität mit nur einigen kontrastierenden linearen Signalen, die den Blutgefässen entsprechen. Ein Knochenmarködem in der T1-Sequenz erscheint typischerweise als intensives, weißes Signal. Frakturen dagegen können beim Auftreten größerer dunkler Linien durch den Knochen vermutet werden.
Als Nächstes betrachten wir den Gelenkknorpel des Femorotibialgelenks. Hier sollte die Dicke und die Intensität des Gelenkknorpels beurteilt werden. Diese sind am besten in der Sagittal- und Koronarebene zu sehen. In T2-gewichteten Sequenzen erscheint normaler Gelenkknorpel als dickes, homogenes, weißes Signal, welches die Gelenkflächen der lateralen und medialen Femurkondylen und das Tibiaplateau bedeckt. Zu guter Letzt beurteilt man auch hier den Gelenkspalt im Hinblick auf Anzeichen einer Flüssigkeitsansammlung. Diese wäre als hypointenses Signal zwischen den beiden Gelenkknorpeln zu sehen.
Teste mit unserem kostenlosen Arbeitsblatt deine Fähigkeit, anatomische Strukturen auf den MRT Bildern zu identifizieren!
Bänder und Menisken
Es gibt viele Bänder innerhalb des Kniegelenkes, welche die knöchernen Strukturen im Gelenk miteinander verbinden. Das sorgt für Stabilität, hält sie in Position und verhindert Dislokationen (Verschiebungen). Im Folgenden schauen wir uns die wichtigsten Bänder an und beschreiben, wie sie auf einem MRT-Bild erkannt und ausgewertet werden können.
Kreuzbänder
Wir konzentrieren uns nun auf die Mitte des Kniegelenks, um die Kreuzbänder (Ligamenta cruciata) etwas näher zu betrachten. Die vorderen und hinteren Kreuzbänder sind sehr wichtige Bänder, sowohl bezüglich ihrer Funktion, als auch hinsichtlich ihrer Anfälligkeit für Verletzungen. Die Kreuzbänder stabilisieren das Knie bei dynamischen Bewegungen und verhindern das Abrollen und Verschieben der Femurkondylen, sowie die Überdehnung und Hyperflexion des Kniegelenkes.
Auf einem Schnitt durch das hintere Kompartiment des Knies, in der Koronalebene, ist der Ursprung des vorderen Kreuzbandes (VKB), das Ligamentum cruciatum anterius, zu sehen. Es entspringt an der interkondylären Kerbe der Tibia. Wir können es verfolgen, indem wir anterior zu seinem Ansatzpunkt, entlang der medialen Oberfläche der lateralen Femurkondyle, scrollen. Das VKB ist am besten in der T1-Wichtung zu sehen. Hier erscheint es als zwei schwarze, schwache Signal-Banden, welche sich oft als lineare Furchen mit einem stärkeren Signal in der Nähe des Ansatzpunktes der Tibia zeigen.
Es ist wichtig, das VKB auch in der axialen Ebene zu überprüfen, wo es am besten auf einem Schnitt auf Höhe der interkondylären Kerbe dargestellt werden kann . Auf dieser Ebene ist das VKB an der lateralen Femurkondyle wie ein schwarzes Band, etwa 1,5 cm im anterior-posterioren Durchmesser zu sehen. Beim Weiterscrollen in Richtung der Tibia sehen wir, dass sich das VKB auffächert und zur medialen Femurkondyle übergeht.
Das hintere Kreuzband (HKB), das Ligamentum cruciatum posterius, besteht aus zwei Bändern. Sie entspringen aus dem hinteren interkondylären Bereich der Tibia und ziehen von dort nach anteromedial, um an der medialen Femurkondyle anzusetzen. Im Gegensatz zum VKB hat das HKB ein charakteristisches homogenes “Low-Signal” in der sagittalen T1-gewichteten Sequenz. Jedoch sind die beiden Bänder auf dem MRT nicht eindeutig zu erkennen. In der axialen Ebene ist das HKB auf einem Schnitt durch den tibialen Gelenkknorpel deutlich sichtbar. Hier erscheint es auf der posterioren Seite des interkondylären Bereiches als schwarz-ovales Signal. Seinen Verlauf bis zu seinem Ansatz an der medialen Femurkondyle kann man durch Aufwärts-Scrollen verfolgen.
Die T2-gewichteten Sequenzen sind der Goldstandard für die Diagnose von Rissen des VKBs. Risse im HKB sind hingegen oft nicht sichtbar. Ein Riss des VKB würde sich als hohe Signalintensität innerhalb der Bändersubstanz darstellen.. Die Beurteilung pathologischer Veränderungen der Kreuzbänder erfolgt am besten in der Sagittalebene, wobei die Axial- und die Koronalebene das Gesamtbild ergänzen.
Menisken
Wenn wir in der koronalen Ansicht etwas tiefer vom zentralen Teil des Knies in das hintere Kompartiment scrollen, können wir die Menisken identifizieren. Diese sind C-förmige Strukturen aus Faserknorpel, die zwischen den Gelenkflächen des Femurs und der Tibia liegen und für die Kongruenz und Stoßdämpfung des Kniegelenks sorgen. Die Menisken lassen sich am besten auf koronalen und sagittalen T1-Aufnahmen untersuchen. Dabei ist es wichtig ihre Konturen, ihre Position und ihre Intensität zu beurteilen.
Auf einem Bild in der T1-Sagittalebene sehen wir, dass die Menisken einheitlich signalarm sind und normalerweise als schwarze, schleifenförmige Struktur im Gelenkraum erscheinen. Auf einem axialen Bild hingegen sehen wir den medialen und lateralen Meniskus als schwarze, halbkreisförmige Strukturen, direkt unterhalb der medialen bzw. lateralen Femurkondyle. Wir sollten auf eine erhöhte Signalintensität in den Menisken achten. Ein hyperintenses Signal, welches das Signal des Gelenkknorpels erreicht, kann auf einen Meniskusriss oder eine degenerative Veränderung hinweisen.
Das mediale Kollateralband (MCL), das Ligamentum collaterale tibiale, lässt sich am besten auf einem T2-Bild in der Koronalebene untersuchen. Dort ist es als langes, dünnes Band mit gleichmäßig niedriger Intensität auf der medialen Seite der Gelenkkapsel zu sehen. Es entspringt am medialen Epicondylus des Femurs und setzt an der medialen Metaphyse der Tibia an.
Auf einem Schnitt durch die interkondyläre Kerbe in der axialen Ebene können wir den Ursprungspunkt des MCLs finden. Dieser erscheint als kurzes, niedriges Signalband nahe der medialen Seite der Femurkondyle. Wenn wir weiter nach unten scrollen, können wir das MCL bis zu seinem Ansatz an der Tibia verfolgen.
Wie das mediale Kollateralband, ist auch das laterale Kollateralband (LCL), das Ligamentum collaterale fibulare, am besten auf einem T2-Bild in Koronalebene zu sehen. Dort erscheint es als homogene Struktur mit geringer Intensität auf der lateralen Seite der Gelenkkapsel. Das LCL entspringt am Epicondylus lateralis femoris und setzt zusammen mit der Biceps-femoris-Sehne am Fibulakopf an.
Betrachtet man das LCL in der Axialebene auf einem Schnitt durch die interkondyläre Kerbe, so kann man ihren Ursprung als ovales schwaches Signal in der Nähe des posterioren Aspekts der Femurkondyle erkennen. Wenn man nach unten scrollt, kann man dem LCL folgen, wie es an der anterolateralen Seite des Fibulakopfs ansetzt.
Streckapparat
Zu guter Letzt widmen wir uns einem weiteren wichtigen Bestandteil des Knies, der als Streckapparat bezeichnet wird. Der Streckapparat besteht aus den großen Strukturen des Knies, die das Gelenk anterior kreuzen: der Quadrizepssehne, der Patellasehne (Ligamentum patellae) und dem Retinaculum patellae laterale und mediale. Diese Gewebestrukturen wirken passiv, wenn sich der Quadrizepsmuskel (Musculus quadriceps femoris)während der Extension des Knies zusammenzieht.
Wie bereits erwähnt, ist die Patella fest in die Quadrizepssehne eingebettet. Die Quadrizepssehne ist eine dicke Sehne, die vom Musculus quadriceps femoris ausgeht. Am besten lässt sich die Quadrizepssehne in der Sagittalebene betrachten. Hier sieht man sie als ein einheitliches Band mit geringer Signalintensität, das 3-4 Schichten enthält mit dazwischen liegenden höheren Signalen von Fettgewebe, die diese Schichten voneinander trennen.
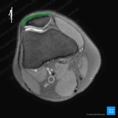
Die Patellasehne ist die distale Fortsetzung der Quadrizepssehne, die an der Spitze der Patella (Apex patellae) beginnt und an der Tuberositas tibiae ansetzt. Wir können die Patellasehne in einem Schnitt durch das Tibiaplateau in der Axialebene sehen. Diese erscheint als ein dunkles, homogenes Band mit geringer Signalintensität, das die Patella bedeckt. Auf dieser Ebene ist auch eine große Ansammlung von Fettgewebe zu erkennen, das sogenannte infrapatellare Fettpolster, zu sehen, das sich unterhalb der Patella in der Tiefe im vorderen Teil des Kniegelenks befindet.
Die Retinaculum patellae laterale und mediale werden am besten in der Axialebene in einem Schnitt durch das Femoropatellargelenk dargestellt. Das Retinaculum patellae mediale und laterale sind Verlängerungen des M. vastus medialis und M. vastius lateralis, die sie mit den Rändern der Patella (Margines superior, medialis und lateralis) verbinden.
Die Quadrizeps- und Patellasehne müssen auf Anzeichen von Tendinopathien und Risse untersucht werden. Diese würden als ein erhöhtes weißes Signal oder eine Diskontinuität in der Substanz der Bänder erscheinen.
Du willst mehr über das Thema Knie-MRT lernen?
Unsere Videotutorials, interaktiven Quizze, weiterführenden Artikel und ein HD Atlas lassen dich Prüfungen mit Bestnoten bestehen.
Womit lernst du am liebsten?
”Ich kann ernsthaft behaupten, dass Kenhub meine Lernzeit halbiert hat.”
–
Mehr lesen.
