Fettgewebe
Fettgewebe ist ein metabolisch aktives Gewebe, welches sich aus retikulärem Bindegewebe entwickelt hat.
Es besitzt die Fähigkeit zur Einlagerung von großen Mengen an Fetten und Fettsäuren und tritt an verschiedenen Stellen des menschlichen Körpers auf.
Fettzellen (Adipozyten) machen beim normalgewichtigen Menschen üblicherweise rund 15 bis 20% der Körpermasse aus.
Dieser Artikel erklärt die Anatomie, Histologie und Funktion des Fettgewebes.
| Weißes Fettgewebe |
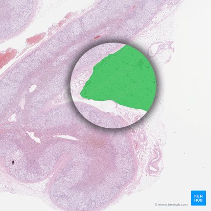
Univakuoläres Fettgewebe Vorkommen: Speicherfett (subkutan), im Omentum majus, um den Dickdarm, Fußsohlen, Wangenregion, retrobulbär, um die Nieren Aufbau: Läppchenartige Zellverbände durch in lockerem Bindgewebe eingelagerte Adipozyten Zellen von Basallamina umgeben, anhaftende retikuläre Fasern Parazellulär: periadipozytäre Blutgefäße und Nervenfasern Funktion: Äußerst stoffwechselaktiv Speichergewebe für Neutralfette Mechanisches Füll- und Stützgewebe Kälteschutz |
| Braunes Fettgewebe |
Plurivakuoläres Fettgewebe Vorkommen: Vor allem bei Neugeborenen Bei Erwachsenen in kleinen Depots Aufbau: Faserarmes und kapillarreiches Bindgewebe zwischen den Fettzellen Reich an Mitochondrien Funktion: Wärmeerzeugung (Thermoregulation) |
| Klinik | Adipositas, Metabolisches Syndrom |
Arten
Es kann zwischen zwei Arten von Fettgeweben unterschieden werden, dem weißen, univakuolären Fettgewebe und dem braunen, plurivakuolären Fettgewebe.
Im adulten Menschen kommt überwiegend weißes Fettgewebe vor (mehr als 90%). Das Fettgewebe der Bauchregion bildet hierbei ein eigenes Organ, Omentum majus genannt. Es ist äußerst stoffwechselaktiv und setzt pro- und anti-inflammatorische Wirkstoffe frei, welche lokal aber auch systemisch wirken.
Braunes Fettgewebe kommt insbesondere beim Neugeborenen vor und dient der Thermoregulation. Beim Erwachsenen sind nur noch kleine Depots im Mediastinum, um die Aorta und in der Halsregion vorhanden, deren metabolische Bedeutung derzeit noch diskutiert wird.
Embryologie
Fettgewebe entwickelt sich überwiegend perivaskulär aus Mesenchymzellen. Etwa ab der 4. Entwicklungswoche entstehen erste Fettzellen und bilden braunes Fettgewebe.
Weißes Fettgewebe entsteht in der Fetalperiode und entwickelt sich bis in die Pubertät. Im gleichen Maße verschwindet das zunächst gebildete braune Fettgewebe wieder.
Weißes Fettgewebe ist im Wesentlichen bezüglich seiner Zellzahl fixiert. Zwar haben Erwachsene prinzipiell die Fähigkeit zur Neubildung von Adipozyten aus Vorläuferzellen (Präadipozyten), allerdings ändert sich die Anzahl der weißen Fettzellen im Laufe des Lebens nur gering. Die vorhandenen Zellen werden lediglich mehr (Übergewicht) oder weniger (Gewichtsreduktion, Normalgewicht) mit Lipiden befüllt.
Die Ernährungsgewohnheiten zwischen etwa dem 6. und 14. Lebensjahr haben offenbar relevanten Einfluss auf den Metabolismus des gesamten restlichen Lebens. Kinder und Jugendliche, die in dieser Altersspanne bereits übergewichtig sind, neigen im weiteren Verlauf ihres Lebens deutlich mehr zu Adipositas und dem damit oft einhergehenden metabolischen Syndrom, als normalgewichtige Kinder.
Weißes Fettgewebe
Das weiße Fettgewebe besteht aus den folgenden Komponenten:
- 50-70% aus Adipozyten
- 20-40% aus Präadipozyten
- 1-10% aus Endothelzellen
- 1-30% Makrophagen
Es dient als Speichergewebe (Speicherfette), als mechanisches Füll- und Stützgewebe (Baufett) und fungiert als Kälteschutz (subkutanes Fettgewebe).
Vorkommen
Speicherfett ist vermehrt subkutan, im Omentum majus und um den Dickdarm herum zu finden. Es ist einer der wichtigsten Energiespeicher des Organismus. Bei einem Überangebot an Nährstoffen, vor allem Fetten und Kohlenhydraten, wird vermehrt Speicherfett in Adipozyten eingelagert und es kommt zur Volumenzunahme des Fettgewebes.
Weißes Fettgewebe ist nicht nur ein Energiespeicher, sondern findet sich auch als Baufett an den Fußsohlen, in der Wangenregion, retrobulbär und um die Nieren herum, wo es der mechanischen Dämpfung sowie dem Kälteschutz dient. Dieses Baufett wird selbst bei mittelfristigen Hungerzuständen nahezu nicht abgebaut. Der Abbau von Baufett ist deshalb ein mittelbarer Hinweis auf eine Auszehrung (Kachexie), die sich morphologisch unter anderem durch eingefallene Wangen zeigt.
Aufbau und Histologie
Adipozyten sind einzeln oder in Gruppen in lockerem Bindegewebe eingelagert und bilden dabei läppchenartige Zellverbände. Jede Zelle ist von einer Basallamina umgeben, an der ein Netz retikulärer Fasern anhaftet, welches durch eine Versilberung sichtbar gemacht werden kann. Parazellulär liegen periadipozytäre Blutgefäße und hauptsächlich sympathische Nervenfasern.
Lichtmikroskopisch besitzen Adipozyten eine runde bis polygonale Form. Der gesamte Zellleib wird im Wesentlichen von einem großen Fetttropfen ausgefüllt, sodass der Zellkern abgeplattet an den Rand gedrängt wird. Das eigentliche Zytoplasma ist nur ein kleiner schmaler Saum. Eine einzelne Zelle hat im Schnitt einen Durchmesser von rund 70 bis 120 μm. Noch nicht gereifte Zellen enthalten mehrere Fetttropfen, die im weiteren Verlauf zu einem einzelnen verschmelzen. Daher werden diese Zellen auch als univakuoläres Fettgewebe bezeichnet.
Im üblichen histologischen Präparat, das durch Paraffinschnitte entsteht, werden Neutralfette durch Lösungsmittel herausgelöst. Es bleibt nur noch die Membran, der platte, an den Rand gedrängte Zellkern und der Zytoplasmasaum zurück. An der Stelle des einstigen Fetttropfens befindet sich ein leerer Raum (Vakuole).
Im Elektronenmikroskop zeigt sich, dass der Zytoplasmasaum nur etwa 1/100 des Zelldurchmessers (etwa 1 - 2 μm) dick ist. Mitochondrien, Ribosomen, endoplasmatisches Retikulum und Golgi-Apparat liegen allesamt perinukleär dicht gedrängt im Bereich mit dem meisten Zytoplasma. Die äußere Zellmembran der Adipozyten enthält Caveolae, sackförmige Einbuchtungen, die für eine erhebliche Vergrößerung der Oberfläche sorgen und somit Platz für transmembranäre Proteine und Rezeptoren schaffen.
Braunes Fettgewebe
Vorkommen
Braunes Fettgewebes kommt nur in geringem Umfang im erwachsenen Körper vor und macht rund 5 -10% der Körperfettmasse aus.
Aufbau und Histologie
Das Bindegewebe zwischen den einzelnen Fettzellen ist faserarm und sehr reich an Kapillaren.
In der histologischen Darstellung sind die Zellen des braunen Fettgewebes im Vergleich zu weißen Fettzellen deutlich kleiner. Sie haben lediglich einen Durchmesser von etwa 30 μm. Der Zellkern ist rund, zentral gelegen und von einer größeren Zahl Fetttropfen umgeben.
Nach Herauslösen des Fettes für die histologische Aufarbeitung verbleiben viele kleine Hohlräume (Vakuolen), daher wird es auch als plurivakuoläres Fettgewebe bezeichnet. Zwischen den Vakuolen befindet sich Zytoplasma, das insgesamt recht spärlich verteilt und azidophil ist. Die Verteilung der Vakuolen im Fettgewebe verleiht den Zellen in der Hämatoxylin-Eosin-Färbung eine "schaumiges" Aussehen.
Die Zellen sind reich an Mitochondrien und die mitochondrialen Cytochrome geben dem Gewebe ihre bräunliche Färbung. Der Reichtum an Mitochondrien ist wichtig für die wärmeabgebenden Funktion des braunen Fettgewebes. Diese Mitochondrien synthetisieren Energie, die direkt als Wärme an die benachbarten Blutgefäße abgegeben und verteilt werden. Für Neugeborene ist dieser Mechanismus überlebensnotwendig, da sie über ein sehr ungünstiges Oberflächen-Volumen-Verhältnis verfügen und sehr schnell auskühlen.
Fettgewebe existiert an mehreren Stellen im Körper. Neben dem Fettgewebe gibt es aber noch weitere Gewebearten. Das folgende Lernmaterial erklärt dir die Unterschiede:
Klinik
Adipositas und metabolisches Syndrom
Mit einem Body-Mass-Index (Körpergewicht in kg / (Körpergröße in m)²) über 30 gilt ein Mensch als adipös. Durch ansteigendes Körpergewicht kommt es zur Umstellung des zellulären und des organischen Stoffwechsels, was zumeist einen generellen Anstieg von Blutglukose sowie eine Verringerung des HDL-Cholesterins zur Folge hat.
Adipositas ist eine multikausale Erkrankung. Zu deren wichtigsten Risikofaktoren gehören:
- genetische Ursachen
- Lebensstil (z.B. Bewegungsmangel und Fehlernährung)
- Essstörungen
- endokrine Pathologien
- Medikamente (z.B. Glukokortikoide, Neuroleptika, Antidiabetika u.v.a.)
- sonstige Ursachen wie Immobilisierung oder Schwangerschaft
Die Kombination aus Adipositas, verringertem HDL-Cholesterin, erhöhten Serum-Triacylglyceriden, erhöhtem arteriellen Blutdruck und erhöhtem Blutglukose im Nüchternzustand wird häufig als metabolisches Syndrom bezeichnet. Der Begriff wird nicht einheitlich gebraucht, gelegentlich gibt es abweichende Definitionen.
Metabolisches Syndrom und Bauchfett
Das Fettgewebe des Bauchraumes ist aufgrund seiner Zusammensetzung maßgeblich an der Pathophysiologie des metabolischen Syndroms beteiligt.
Bei Zunahme des Gewebes kommt es zur Freisetzung von Leptin und Vascular Endothelial Growth Factor (VEGF). VEGF regt die Angiogenese an und verbessert damit die Durchblutung des Gewebes. Zudem kommt es zur Ausschüttung von TNF-α und damit zur Freisetzung von MCP-1, dem Monocyte Chemoattractant Protein-1. Dessen Freisetzung weitere Makrophagen anlockt.
Bei anhaltender Gewichtszunahme kommt es dann zur Freisetzung von Interleukin-6 (IL-6), Interleukin-1β und TNF-α, die normalerweise an Entzündungsreaktionen beteiligt sind. Sie sorgen für eine Freisetzung unter anderem von NF-κB, welches für die Bildung einer Insulinresistenz verantwortlich ist. Bei dieser Insulinresistenz handelt es sich um den Mechanismus, der an Pathophysiologie bei Diabetes mellitus Typ II maßgeblich beteiligt ist.
Zudem steigert IL-6 die Bildung von Fibrinogen und die Thrombozytenaggregation, sodass Patient:innen mit metabolischem Syndrom grundsätzlich eine erhöhte Thrombusneigung und damit ein erhöhtes Risiko für einen akuten Myokardinfarkt oder eine akute zerebrale Apoplexie (Schlaganfall) haben.
Du willst mehr über das Thema Fettgewebe lernen?
Unsere Videotutorials, interaktiven Quizze, weiterführenden Artikel und ein HD Atlas lassen dich Prüfungen mit Bestnoten bestehen.
Womit lernst du am liebsten?
”Ich kann ernsthaft behaupten, dass Kenhub meine Lernzeit halbiert hat.”
–
Mehr lesen.
Kim Bengochea, Regis University, Denver