Clinical case: Sister Mary Joseph nodule
This article is about a woman which presented with a firm, nontender, and protruberant umbilical nodule, classically called the Sister Mary Joseph nodule. Do you know what can cause its appearance on a patient? Stick around to find out more about this woman's condition, her final diagnosis, treatment, and relevant anatomical considerations.
| CA125 | It is a tumor marker, especially prevalent in ovarian cancer cells. The normal blood value is 0 to 21 units/mL. |
| Omental metastases | These metastases spread via the omentum, especially through the falciform and medial umbilical ligaments, both remnants of embryological structures. |
| Vesicouterine pouch | A shallow peritoneal recess between the uterus and the urinary bladder, which can be used as a landmark for chronic endometriosis. |
| Rectouterine pouch | A shallow peritoneal recess between the rectum and the uterus, which can be a common site for the spread of ascites, tumors, endometriosis. |
| Omental cake | It refers to infiltration of the omental fat by material of soft-tissue density, such as cancer cells. It is readily seen radiologically. |
After reviewing this case you should be able to describe the following:
- What the significance is of a CA125 level. What the normal levels of this protein are.
- What is meant by omental metastases? The radiological term associated with omental metastases.
- The clinical significance of the vesicouterine and rectouterine pouch (of Douglas).
- The embryological remnants that possibly provide a mechanism whereby metastases could spread from the ovaries or abdominal viscera to the umbilicus.
This article is based on a case report published in the Journal "Case Reports in Surgery" in 2015, by Caroline C. Jadlowiec, Beata E. Lobel, Namita Akolkar, Michael D. Bourque, Thomas J. Devers, and David W. McFadden.
- Historical prelude
- Case description
- Surgical and anatomical considerations
- Explanation to objectives
- Sources
Historical prelude
Sister Mary Joseph nodule (SMJN) is an uncommon umbilical lesion occurring as a result of an intra-abdominal and/or pelvic malignancy. The nodule was named after Sister Mary Joseph, a surgical assistant to Dr. William J. Mayo at the Mayo Clinic (1890-1915). Sister Mary observed the association between the presence of an umbilical nodule and an intra-abdominal malignancy. Such a nodule may also occur with ovarian and uterine cancer. The mechanism of tumor dispersion to the umbilicus is poorly understood and could be via lymphatic, vascular, contiguous, or embryologic remnant spread.
Case description
History and physical exam
A 76-year-old female had a one-month history of a rapidly enlarging and friable umbilical tumor. She presented to the hospital for a surgical consultation. The patient had a history of hypertension, hyperlipidemia, and tubal ligation. Physical examination revealed a 2 cm firm, nontender, protuberant umbilical nodule (Figure 1).
Investigations
The patient initially was diagnosed with telangiectatic granuloma and was treated with topical antibiotics; however, after two months the patient did not show any improvement. Her physicians then suspected that she had a malignant umbilical tumor; blood tests were ordered and revealed high levels of CA125 (over 500 U/mL). An upper and lower gastroenterological endoscopy was then done and showed no major abnormalities. However, a transvaginal ultrasound revealed a 2 cm ovarian cyst.
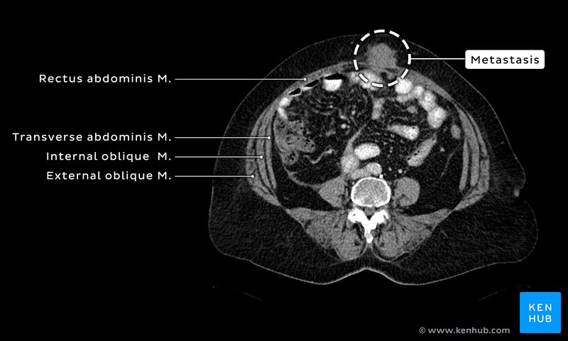
Imaging by CT and MRI confirmed the presence of the mass and revealed intra-abdominal and right lung metastatic lesions (Figures 2-4).
Because of the likely diagnosis of metastatic ovarian cancer, an exploratory laparotomy was performed. A cystic mass of approximately 2-3 cm was observed on the right ovary and a small amount of ascites was noted (Figure 5).
Further, intra-abdominal and omentum metastatic lesions as large as 5 cm were identified. Millet-seed sized lesions (about 3 mm) were observed in the walls of the uterus and in the vesico-uterine and recto-uterine (of Douglas) pouches (Figure 6).
Diagnosis and management
Because it was impossible to remove all the metastatic lesions, a bilateral salpingo-oophorectomy, and umbilical and omentum tumor resections were performed. The histopathological analysis indicated that the primary tumor was an ovarian serous adenocarcinoma. Accordingly, the conclusive diagnosis was a stage IV ovarian cancer.
The patient’s postoperative course was uneventful. She was discharged 10 days after surgery. Chemotherapy was started one month after hospital discharge. At the time of the writing of the case report, the patient was having monthly follow-ups with blood tests (tumor markers) and vaginal ultrasounds.
Surgical and anatomical considerations
Umbilical tumors are rare. Benign etiology includes umbilical hernia, granuloma, abscess, mycosis, and eczema. Malignant tumors can be either primary or metastatic. The appearance of an SMJN can be markedly variable, ranging from a hard and irregular nodule to a soft and painful ulcerated mass (see Figure 7 for a different patient with a SMJN nodule).
Upon physical examination, a SMJN’s appearance is often misleading because the skin overlying the lesion can be normal or erythematous. Because other symptoms were not observed in this patient, the first diagnosis was a granuloma and it took an additional two months of ineffective treatments before a malignant umbilical tumor was suspected. A biopsy might have decreased the time to diagnosis but the patient declined because of the risk of bleeding from the umbilical tumor. Although SMJN is typically associated with gastrointestinal malignancies, in this case both upper and lower endoscopies did not provide a source of the tumor. However, a vaginal ultrasound did.
The final pathological designation was an ovarian serous adenocarcinoma with intra-abdominal and thoracic metastases. SMJN usually represents a late manifestation of metastatic disease. Adenocarcinoma is a type of cancer that can occur in various regions of the body. It originates in glandular tissues. The umbilicus is a prominent feature of the human abdominal wall, typically located at the L3/L4 vertebral level.
The skin of the umbilicus is supplied by the tenth thoracic spinal nerve and thus in this patient that nerve was likely the one that was conducting the patient’s pain (T10 dermatome). It is important to note anatomical landmarks that are indicative of vertebral levels so that surgical procedures can be planned effectively but also be aware that body habitus can modify these relationships. Thus, for this patient, location of the umbilicus is at the normal L4 vertebral body level; however in obese patients the umbilicus can be as low as sacral levels. Pertaining to sensory innervation, the T10 dermatome is associated with the umbilicus. Spinal nerves and associated dermatomes follow an obliquely inferior path as they travel from posterior to anterior; they thus do not follow a path parallel to the ground (or axial plane).
Explanation to objectives
Objectives
- What the significance is of a CA125 level. What the normal levels of this protein are.
- What is meant by omental metastases? The radiological term associated with omental metastases.
- The clinical significance of the vesicouterine and rectouterine pouch (of Douglas).
- The embryological remnants that possibly provide a mechanism whereby metastases could spread from the ovaries or abdominal viscera to the umbilicus.
CA125 protein
CA 125 is a protein that is considered a tumor marker. CA 125 is found in greater concentrations in tumor cells than in normal cells of the body. CA 125 is especially prevalent in ovarian cancer cells. CA 125 is usually measured as a blood test. The function of this protein relative to normal and cancer cells is not understood. The normal blood value is 0 to 21 units/ml. Higher than normal blood CA-125 levels can be observed in both malignant (ovarian, endometrium, cervix, breast, colon, liver, pancreas, lung and more) and non-malignant pathologies (ovarian abscess, pelvic inflammatory disease, acute peritonitis, pancreatitis, peritoneal tuberculosis and more).
If there is a pelvic mass, CA-125 levels above 65 units/ml are associated with malignancy in 90% of the cases. In the patient discussed here the value was above 500 units/ml. Patients with CA-125 levels above 450 units/ml usually have a worse prognosis than those with lower values. High CA-125 level alone cannot confirm the diagnosis of a malignancy, just like the normal levels of CA-125 cannot rule out the presence of a malignancy. However, in patients with confirmed malignancies and significantly high CA-125 levels, this marker can be used for follow-up studies to monitor tumor regression or recurrence (as was being done in the patient described here).
Omental metastases
The falciform ligament (Figure 8) is the remains of the embryologic ventral mesentery and within this ligament is the round ligament of the liver, which is the remnant of the umbilical vein. Further, there are small blood vessels in the falciform ligament that may become enlarged and clinically significant when there is portal hypertension or an obstructed IVC. The urachus is a fibrous remnant of the allantois, a canal that drained the fetal urinary bladder. It is also referred to as the median umbilical ligament. The medial umbilical ligaments are the remnants of the paired umbilical arteries and course between the internal iliac artery and the umbilicus. Any of these vestigial structures can serve as a conductor for metastases and likely explain the development of some SMJN.
Vesicouterine and rectouterine pouches of Douglas
In the human female, the vesico-uterine pouch is a shallow peritoneal recess between the uterus and bladder. This pouch is an important anatomical landmark for chronic endometriosis. The recto-uterine pouch (recto-vesical pouch in males), is the lowest part of the peritoneal cavity in a supine woman, and is a common site for the spread of pathology such as ascites, tumors, endometriosis, pus etc. It is also called the pouch of Douglas and in obstetrics it is most commonly referred to as the posterior cul-de-sac. A culdotomy or posterior colpotomy is an incision or needle puncture of this "cul-de-sac" via the vagina at the posterior fornix.
Embryological remnants and metastases
The function of the omentum (greater) is not clear. But, regardless, it does contact virtually all abdominal and some pelvic organs (Figure 8). The omentum may act as a bandage in cases of infection or intestinal rupture because it can drape and attach itself to areas of inflammation. The omentum can play a role in the spread of cancer, especially ovarian, colon, and gastric cancers. Because the omentum is rich in blood vessel, cancer cells that have separated from the primary cancer can implant and grow in the omentum, i.e., omental metastasis. It is likely the omentum did play a role in the spread of cancer in this case. Omental cake is the term that refers to infiltration of the omental fat by material of soft-tissue density (e.g., cancer cells). The name refers to the contiguous omental mass, which in some ways resembles the top of a cake. It is readily seen radiologically and referred to as omental caking (Figure 9).
Clinical case: Sister Mary Joseph nodule: want to learn more about it?
Our engaging videos, interactive quizzes, in-depth articles and HD atlas are here to get you top results faster.
What do you prefer to learn with?
“I would honestly say that Kenhub cut my study time in half.”
–
Read more.
Kim Bengochea, Regis University, Denver