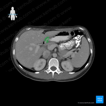
Pylorus
The pylorus is the funnel-shaped distal-most segment of the four anatomical regions of the stomach, with the others being the cardia, fundus and body of the stomach. It extends from the distal end of the body of the stomach at the angular notch to the gastroduodenal junction and is divided into two segments: the pyloric antrum and pyloric canal. The pyloric antrum is the wider and more proximal of the two regions connecting to the body of the stomach, with the narrower pyloric canal being the distal portion connecting to the duodenum. At the end of the pyloric canal is the pyloric orifice, marking the junction between the stomach and duodenum. The pyloric orifice passes through the transpyloric plane, just to the right of the midline.
Surrounding the pyloric orifice is a thickened circular layer of smooth muscle known as the pyloric sphincter, controlling the opening and closing of the orifice. The pyloric sphincter therefore regulates the passing of food (chyme) from the pylorus of the stomach into the duodenum.
Terminology |
English: Pylorus Latin: Pylorus |
Structure | Two sub-divisions: pyloric antrum and pyloric canal |
Function | Connects stomach to duodenum; regulates chyme entry into duodenum via pyloric sphincter |
Learn more about the anatomy of the stomach with this study unit:
Pylorus: want to learn more about it?
Our engaging videos, interactive quizzes, in-depth articles and HD atlas are here to get you top results faster.
What do you prefer to learn with?
“I would honestly say that Kenhub cut my study time in half.”
–
Read more.
