Tactile corpuscle
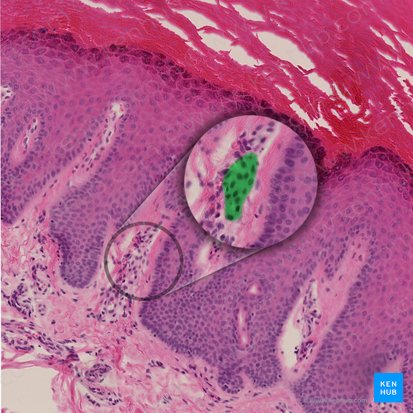
The tactile corpuscule, also known as the Meissner's corpuscle, is a type of encapsulated nerve ending located in the skin. More specifically, it is located in the superficial portions of the dermis. The corpuscle is surrounded by a myelinated sheath composed of Schwann cells.
The tactile corpuscle is responsible for transmitting the sensations of light touch and low-frequency vibrations from the periphery to the central nervous system. Due to its main function, it belongs to the group of tactile mechanoreceptors of the skin, along with Merkel corpuscle (sensitive to pressure), Ruffini corpuscle (stretch), Vater-Pacinian (high-frequency vibrations) corpuscules and free nerve endings (pain).
The tactile corpuscles are most densely concentrated in the portions of the skin that are sensitive to light touch, especially in the skin of palms, fingers and lips.
Terminology | English: Tactile corpuscule Latin: Corpusculum tactus Synonim: Meissner's corpuscle |
Definition | Encapsulated nerve ending of the skin |
Location | Superficial areas of dermal papillae |
Function | Transmition of light touch and low-frequency vibrations |
Learn everything about mechanoreceptors with the following study unit:
Tactile corpuscle: want to learn more about it?
Our engaging videos, interactive quizzes, in-depth articles and HD atlas are here to get you top results faster.
What do you prefer to learn with?
“I would honestly say that Kenhub cut my study time in half.”
–
Read more.
