Glandula submandibularis (Unterkieferspeicheldrüse)
Die Glandula submandibularis (Unterkieferspeicheldrüse) zählt zu den drei großen Speicheldrüsen des Menschen. Sie ist eine gemischte, seromuköse Drüse und befindet sich im Trigonum submandibulare. In Ruhe ohne direkte Stimulation sezerniert sie den größten Teil des Speichels. Speichelsteine betreffen am häufigsten diese Drüse.
Aufbau
Wie alle großen Speicheldrüsen befindet sich die Gl. submandibularis in einer bindegewebigen Kapsel, von der Bindegewebssepten ins Innere ziehen und das Drüsengewebe in Läppchen und Lobuli unterteilen. Die vielen kleinen Ausführungsgänge fließen zum Ductus submandibularis zusammen, der den Speichel aus der Drüse in den Mundraum leitet. Im Querschnitt ist die Drüse U-förmig aufgebaut und kann in einen oberflächlichen und einen tiefen Teil gegliedert werden.
Glandula submandibularis / Unterkieferspeicheldrüse (laterale Ansicht)
Topographie
Glandula submandibularis / Unterkieferspeicheldrüse (Topographie)
Der etwa 5 cm lange Ductus submandibularis, auch als Wharton-Gang bezeichnet, verläuft oberhalb des Zungengrunds nach ventral, vereinigt sich mit dem Ductus sublingualis major und mündet gut sichtbar neben dem Frenulum linguae auf der Caruncula sublingualis. Zudem überkreuzt er den N. lingualis. Dorsal der Drüse verlaufen die A. und V. facialis, medial der N. hypoglossus.
Versorgung
Gefäße und Lymphabfluss
Arteria facialis (Topographie)
Innervation
Die parasympathische sekretorische Innervation der Unterkieferspeicheldrüse erfolgt aus präganglionären Fasern aus dem Nucleus salivatorius superior, die mit dem N. intermedius nervi facialis zur Chorda tympani und von dort über den N. lingualis zum Ganglion submandibulare ziehen. Dort erfolgt die Umschaltung auf postganglionäre parasympathische Fasern, die mit dem N. lingualis zur Drüse verlaufen. Die sympathischen Fasern stammen aus dem Ganglion cervicale superius und gelangen über den Plexus caroticus externus zur Drüse.
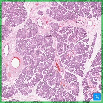
Histologie
Die Gl. submandibularis besitzt sowohl seröse als auch muköse Endstücke, die regional unterschiedlich stark vertreten sind. Insgesamt finden sich jedoch mehr seröse Endstücke. Seröse Regionen enthalten viele Streifenstücke, muköse Bereiche liegen häufig als gemischte Endstücke vor, bei denen seröse Endstücke den mukösen Tubuli aufgelagert sind (von-Ebner-Halbmonde). In den Bindegewebssepten verlaufen Nerven, Blut- und Lymphgefäße sowie Ausführungsgänge mit hochprismatischem Epithel. Die Endstücke sind von Myoepithelzellen umgeben, die eine Kontraktion und damit ein Herausdrücken des Sekrets ermöglichen. Der Ductus submandibularis weist ein mehrreihiges bis mehrschichtiges zylindrisches Gangepithel auf.
Glandula submandibularis / Unterkieferspeicheldrüse (Histologie)
Embryologie
Die Unterkieferspeicheldrüse entwickelt sich in der sechsten und siebenten Embryonalwoche aus dem Mundbodenepithel, indem ein Zellstrang vorwächst und verdickte Enden ausbildet, aus denen sich später die Endstücke differenzieren. Die Zellstränge bilden Lumina aus, Bindegewebe und Kapsel stammen aus dem umliegenden Mesenchym.
Funktion
Die Gl. submandibularis sezerniert gemischtes seromuköses Sekret, das sowohl Enzyme als auch Muzine enthält. Es dient unter anderem der Befeuchtung der Mundschleimhaut, der Verdauung und dem Gleitfähigmachen der Nahrung.
Klinik
Die Gl. submandibularis ist am häufigsten von Speichelsteinen betroffen (Sialolithiasis). 80% aller Speichelsteine kommen in der Unterkieferspeicheldrüse vor, dies liegt vor allen Dingen an dem vorwiegend aufsteigenden Gangsystem. Speichelsteine machen sich durch Schmerzen bei oder nach dem Essen bemerkbar, die Speicheldrüsen können dabei angeschwollen sein. Therapeutische Optionen sind die Zertrümmerung der Speichelsteine mittels Ultraschall (Lithotripsie) oder die Dilatation des Ausführungsganges.
