Connection lost. Please refresh the page.
Online
The #1 platform to learn anatomy
6,605,828 users worldwide
Exam success since 2011
Serving healthcare students globally
Reviewed by medical experts
2,907 articles, quizzes and videos
Ready to learn?
Pick your favorite study tool

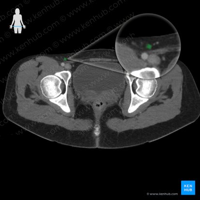
Inguinal lymph nodes

Overview of the anatomy, function and main structures of the lymphatic system.

Inguinal lymph nodes are located within the inguinal region and receive lymphatic drainage from the lower extremity, genitals, dorsal perineum and the inferior most aspect of the anterior abdominal wall

They range from approximately 12-14 lymph nodes and are divided into superficial and deep groups. 

The superficial inguinal lymph nodes, of which there are approximately 10, lie superficially, deep to the skin and Camper's fascia. They are located along the superficial circumflex iliac vein immediately below the inguinal ligament and are subdivided into the superomedial, superolateral and inferior superficial inguinal nodes. This group of lymph nodes receive lymphatic drainage from the anal canal (below the pectinate line), skin below the umbilicus, lower extremity, scrotum, and vulva. Efferent vessels of the superficial inguinal lymph nodes drain to either the deep inguinal nodes or external iliac nodes. 

The deep inguinal lymph nodes lie within the femoral sheath, medial to the femoral vein and range from approximately 1-3 nodes. They are similarly divided into subgroups which include the proximal, intermediate and distal deep inguinal nodes. The deep inguinal nodes receive efferents from the deep lymphatics of the lower limb, superficial inguinal nodes and from the penis/clitoris. Efferent vessels of the deep inguinal nodes drain to the external iliac nodes. 

Terminology English: Inguinal lymph nodes
Latin: Nodi lymphoidei inguinales
Definition A group of 12-14 lymph nodes located in the inguinal region
Groups Superficial inguinal lymph nodes (superomedial, superolateral, inferior)
Deep inguinal lymph nodes (proximal, intermediate, distal)
Drainage area Lower extremity, genitals, dorsal perineum and the inferior most aspect of the anterior abdominal wall

Take a closer look at the lymphatics of the abdomen and pelvis in the study unit below: 

Inguinal lymph nodes: want to learn more about it?

Our engaging videos, interactive quizzes, in-depth articles and HD atlas are here to get you top results faster.

What do you prefer to learn with?

“I would honestly say that Kenhub cut my study time in half.” – Read more.

Kim Bengochea Kim Bengochea, Regis University, Denver
© Unless stated otherwise, all content, including illustrations are exclusive property of Kenhub GmbH, and are protected by German and international copyright laws. All rights reserved.

Register now and grab your free ultimate anatomy study guide!