Tecido adiposo
O tecido adiposo é um tecido conjuntivo especializado que consiste em células ricas em lipídios chamadas adipócitos. Esse tipo de tecido pode representar cerca de 20-25% do peso corporal total em indivíduos saudáveis, e a sua a principal função é armazenar energia na forma de lipídios (gordura). Com base na sua localização, o tecido adiposo é dividido em parietal (sob a pele) e visceral (órgãos adjacentes). Dependendo da morfologia dos adipócitos, existem dois tipos de tecido adiposo:
- Tecido adiposo branco - encontrado principalmente em adultos.
- Tecido adiposo marrom - encontrado principalmente em recém-nascidos.
Além de armazenar energia, o tecido adiposo tem várias outras funções importantes no corpo humano, que incluem isolamento térmico, amortecimento dos órgãos, função endócrina e produção de vários fatores bioativos.
| Definição | Um tipo de tecido conjuntivo especializado cujas funções principais são armazenar a energia, proteger os órgãos e contribuir para o perfil endócrino do organismo |
| Tipos | Dependendo da localização; gordura parietal e gordura visceral. Dependendo da estrutura; tecido adiposo branco e tecido adiposo marrom |
| Estrutura | Adipócitos (branco, marrom e bege) Matriz extracelular fina que consiste em fibras reticulares |
| Função | Armazenamento de energia, produção de hormônios, isolamento térmico (tecido adiposo branco); termogênese (tecido adiposo marrom) |
| Relações clínicas | Obesidade, lipodistrofia |
Este artigo irá discutir a histologia do tecido adiposo.
Estrutura e localização
O tecido adiposo é distribuído em dois compartimentos no corpo humano:
- Gordura parietal ou subcutânea, que está incorporada no tecido conjuntivo sob a pele.
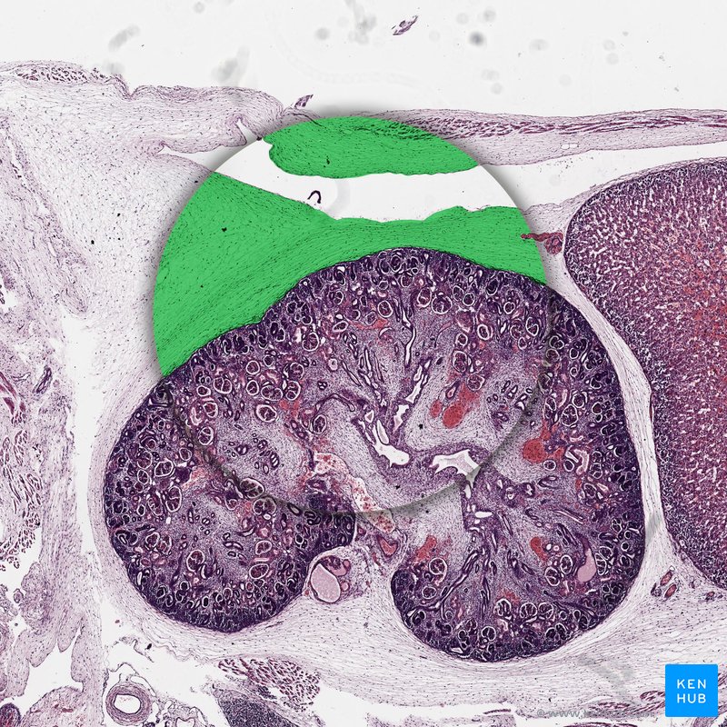
- Gordura visceral, que envolve os órgãos internos, como o globo ocular (gordura periorbital) ou rins (cápsula de gordura perirrenal).
Como qualquer outro tecido, o tecido adiposo consiste em células e matriz extracelular. As células são os elementos estruturais mais abundantes desse tecido, predominando sobre a pequena quantidade de matriz extracelular. As principais células que compõem o tecido adiposo são chamadas de adipócitos. Além dos adipócitos, vários outros tipos de células estão presentes; pré-adipócitos, fibroblastos, células endoteliais capilares, macrófagos e células-tronco. Essas células não adipócitas coletivamente formam a fração vascular do estroma, e sua principal função é sustentar e proteger o tecido adiposo.
A matriz extracelular é produzida por adipócitos e células do estroma. Consiste em uma fina rede de fibras reticulares (colágeno tipo III), cuja função é manter as células no lugar. O tecido adiposo é rico em vasos sanguíneos e fibras nervosas amielínicas. Em lâminas histológicas, essas estruturas são geralmente encontradas dentro da malha que separa os adipócitos vizinhos. Os mastócitos também estão presentes aqui.
Você sabia que no Kenhub você pode criar os seus próprios testes e questionários para revisar um assunto ou superar aquele seu ponto fraco? É isso mesmo, basta escolher quais assuntos você quer e nosso sistema cria na hora um quiz feito sob medida pra você! Que tal experimentar testando seus conhecimentos sobre o tecido conjuntivo como um todo?
Adipócitos
Os adipócitos (células adiposas, células de gordura) são os blocos de construção do tecido adiposo. Existem três tipos de adipócitos, que constituem dois tipos diferentes de tecido adiposo:
- Adipócitos brancos - células principais do tecido adiposo branco.
- Adipócitos marrons - células principais do tecido adiposo marrom.
- Adipócitos bege - tipo recentemente descoberto, encontrados dispersos no tecido adiposo branco.
Esses tipos de células diferem em sua morfologia e função.
Os adipócitos brancos estão presentes principalmente no tecido adiposo branco. Suas formas variam de esféricas (quando isoladas) a ovais ou poliédricas (como parte do tecido adiposo). A maior parte da célula é preenchida com uma única gota lipídica (unilocular) que empurra e achata o núcleo celular para a periferia da célula. O citoplasma forma uma fina bainha ao redor da gotícula e contém algumas mitocôndrias em seu interior. As gotículas lipídicas geralmente se perdem durante a preparação rotineira das lâminas histológicas, o que faz com que o tecido adiposo branco apareça como uma delicada rede de estruturas poligonais. Essas células armazenam gordura.
Em contraste com os adipócitos brancos, os adipócitos marrons são menores em tamanho e têm os lipídios contidos em múltiplas gotículas de lipídios (morfologia multilocular). As gotículas circundam o núcleo, posicionado centralmente. Os adipócitos marrons têm muitas mitocôndrias dispersas entre as gotículas, que dão a essas células sua aparência marrom. O citoplasma também contém aparelho de Golgi e apenas uma pequena quantidade de ribossomos e retículo endoplasmático. Essas células produzem calor (adipócitos termogênicos). Da mesma forma que nos adipócitos brancos, as gotículas de lipídios também se perdem nos adipócitos marrons durante a preparação histológica de rotina. Eles são vistos como uma rede de células preenchidas com numerosos vacúolos vazios.
Os adipócitos bege são um tipo distinto de adipócitos termogênicos do tipo marrom com morfologia multilocular. Eles existem principalmente na gordura subcutânea, mas uma pequena quantidade também pode ser encontrada na gordura visceral.
Cada adipócito é circundado por uma lâmina basal espessa contendo colágeno tipo IV como um componente principal, semelhante às células do osso e da cartilagem. A forte membrana externa dos adipócitos é de fundamental importância para a resiliência ao estresse mecânico e à ruptura.
Tecido adiposo branco
Os adipócitos no tecido adiposo branco são organizados em lóbulos por septos de tecido conjuntivo. Os septos contêm fibras de colágeno, terminações nervosas, capilares sanguíneos e linfáticos. A matriz extracelular de tecido adiposo branco é feita de fibras reticulares e contém células não residentes do tecido adiposo (por exemplo, células inflamatórias).
Em uma lâmina histológica, os adipócitos aparecem vazios, com uma fina borda de citoplasma próximo à lâmina basal. Isso é descrito como a aparência de "anel de sinete" do tecido unilocular. Isso ocorre pois a gota de gordura intracelular se dissolve quando tingida com métodos de coloração histológicos padrão (coloração HE).
O tecido adiposo branco é o tipo predominante em humanos adultos. A maior parte desse tecido está localizada na hipoderme da pele. Essa camada de gordura subcutânea também é conhecida como panículo adiposo. A espessura desta camada depende principalmente da localização e do sexo. Por exemplo, as mulheres têm mais tecido adiposo unilocular nas regiões da coxa e da mama. Em comparação, os homens têm mais gordura abdominal. O tecido adiposo branco pode ser encontrado em outras partes do corpo humano, como o espaço retroperitoneal, omento maior, mesentério e órgãos circundantes (por exemplo, rim, coração, globos oculares). Também está presente na medula óssea e outros tecidos, onde geralmente preenche os espaços entre as células.
Tecido adiposo marrom
Em contraste com os adipócitos brancos, os adipócitos marrons têm a aparência de uma esponja, devido às múltiplas gotículas no citoplasma. Grupos de adipócitos são divididos em lóbulos por septos conectados, que contêm uma quantidade substancial de vasos sanguíneos e fibras nervosas amielínicas. A matriz extracelular entre as células individuais dentro dos lóbulos é esparsa.
O tecido adiposo marrom geralmente está localizado no corpo dos recém-nascidos e constitui cerca de 5% de sua massa corporal. Os recém-nascidos têm muito menos gordura subcutânea do que os adultos, por isso são predispostos à hipotermia. Para prevenir a hipotermia letal, o recém-nascido apresenta grande quantidade de tecido adiposo marrom, que possui grande capacidade de termogênese. Com a idade, a quantidade de tecido adiposo marrom diminui, mas permanece amplamente distribuído pelo corpo até a puberdade. Finalmente, em adultos, a gordura marrom desaparece da maioria dos locais. Permanece apenas em algumas regiões, como: espaço retroperitoneal, em torno dos vasos principais, regiões cervicais e supraclaviculares profundas do pescoço, regiões interescapulares, paravertebrais das costas e mediastino.
| Tecido adiposo branco |
Morfologia celular: grande gota de lipídio unilocular empurrando as organelas para a periferia da célula Localização: hipoderme, medula óssea Aparência: uma rede de estruturas poligonais brancas |
| Tecido adiposo marrom |
Morfologia celular: núcleo posicionado centralmente, rodeado por múltiplas gotículas de lipídios na periferia da célula Localização: retroperitônio, regiões cervicais profundas e supraclaviculares do pescoço, regiões interescapulares, paravertebrais das costas e mediastino Aparência: Uma rede de células preenchida com numerosos vacúolos vazios |
Função
O papel mais importante dos adipócitos brancos é o armazenamento de energia. Eles armazenam gordura na forma de triglicérides dentro de suas gotículas de lipídios citoplasmáticos, o que ajuda a manter os níveis de ácidos graxos livres no sangue.
Por muito tempo, o tecido adiposo foi considerado apenas como um reservatório passivo de combustível. Agora, também é considerado um órgão endócrino que secreta vários fatores bioativos (hormônios, fatores de crescimento, citocinas). Os hormônios do tecido adiposo mais importantes incluem a leptina (fator de saciedade) e a adiponectina. Esses biofatores circulam pelo organismo e carregam informações para outros órgãos metabolicamente ativos, como fígado, pâncreas, músculos e cérebro. Esses fatores são de fundamental importância na fisiopatologia de muitos distúrbios metabólicos (por exemplo, diabetes mellitus tipo 2).
Diferentes localizações do tecido adiposo têm diferentes funções no corpo humano. Por exemplo, a gordura abdominal tem um perfil metabólico diferente do resto da gordura do corpo e tem a maior influência na indução da resistência à insulina. A gordura parietal tem um papel importante na termorregulação, enquanto a gordura visceral fornece o suporte tipo almofada para os órgãos internos, protegendo-os de lesões mecânicas. Durante a redução da ingestão calórica, a quantidade de tecido adiposo parietal diminui, enquanto a gordura visceral permanece inalterada. Em contraste com o tecido adiposo branco, o marrom transforma a energia química em calor. Dessa forma, evita a obesidade, outros distúrbios metabólicos e a hipotermia.
Notas clínicas
A obesidade é um estado de acúmulo anormal ou excessivo de gordura. Essa condição geralmente ocorre devido a um aumento na ingestão de alimentos que são altamente ricos em gordura e/ou devido à diminuição da atividade física. A obesidade é um problema global no mundo moderno, principalmente porque essa condição médica aumenta o risco de desenvolver problemas de saúde potencialmente fatais, como hipertensão, diabetes tipo 2, doença coronariana, derrame e até mesmo alguns tipos de câncer. A quantidade de gordura corporal e o risco dessas complicações são medidos geralmente pelo índice de massa corporal (IMC) e pelo tamanho da circunferência abdominal.
As lipodistrofias são um grupo de doenças raras, hereditárias ou adquiridas, caracterizadas pela perda de gordura corporal saudável. Ela pode ser localizada ou generalizada. A quantidade de gordura corporal perdida depende da causa e as doenças congênitas geralmente têm uma apresentação clínica mais grave. Pessoas que sofrem de síndrome de lipodistrofia generalizada estão predispostas a complicações como diabetes mellitus, esteatose do fígado, pancreatite e síndrome metabólica. A gravidade da apresentação clínica e das complicações depende da quantidade de gordura perdida. Já a lipodistrofia localizada é principalmente um problema cosmético.
Tecido adiposo - quer aprender mais sobre isso?
As nossas videoaulas divertidas, testes interativos, artigos em detalhe e atlas de alta qualidade estão disponíveis para melhorar rapidamente os seus resultados.
Com quais você prefere aprender?
“Eu diria honestamente que o Kenhub diminuiu o meu tempo de estudo para metade.”
–
Leia mais.
Kim Bengochea, Universidade de Regis, Denver