Functional division of the liver
The liver is the primary processing facility of the body. The majority of the substances that are ingested, and subsequently digested, are absorbed from the lumen of the small intestines and passed to the liver by way of the hepatic portal vein. This organ is not only special due to its function, but also due to its organization. Specifically, you can study and think of the liver in two separate ways - an anatomical one divided into lobes and a functional one divided into sectors and segments. In a way it follows a similar logic to the lungs.
This article will outline the sectors and segments of the liver in addition to the blood supply and portacaval anastomoses.
Landmarks | Line through the midline of the gallbladder and inferior vena cava. |
Functional lobes |
Left lobe: left lateral and left medial sectors Right lobe: right lateral and right medial sectors |
Hepatic segments | Eight segments (I-VIII), with the fourth one being divided into (a) and (b) parts (IVa, IVb) |
- Anatomy of the liver
- Functional division of the liver
- Blood flow
- Portosystemic (portacaval) circulation
- Clinical notes
- Sources
Anatomy of the liver
Anatomically, the liver is viewed as having four main lobes. There is a smaller left lobe and a larger right lobe (that are separated along the attachment of the falciform ligament), as well as a caudate and a quadrate lobe (which are part of the anatomical right lobe).
However, the distribution of the portal blood supply and biliary drainage of the liver allows the organ to be functionally divided into four sectors, which are subsequently divided to give a total of eight segments.
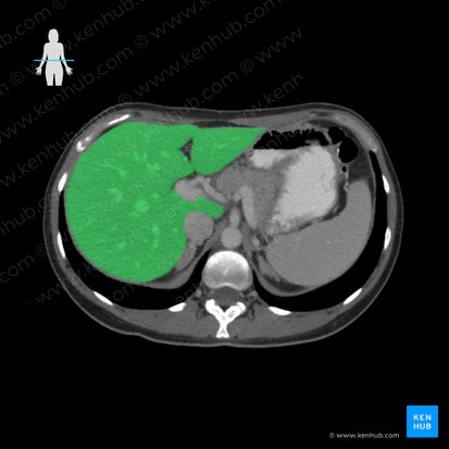
Functional division of the liver
The division of the liver into equally sized functional left and right lobes is done by drawing a line through the midline of the gallbladder and the inferior vena cava. As opposed to the anatomical division that results in the caudate and quadrate lobes being between the right and left anatomical lobes of the liver, this division results in the caudate and quadrate lobes being a part of the functional left lobe.
Each functional lobe can then be further subdivided into their respective sectors. The functional left lobe is divided into a left lateral and a left medial sector along the attachment of the falciform ligament and through the fissures for ligamentum venosum and ligamentum teres. The left lateral lobe lies to the left of the fissures and falciform ligament, while the left medial lobe lies between this line and the main demarcation that separates the liver into its functional lobes.
Soon your brain is going to be full of all things liver anatomy - but don't forget about the rest of the digestive system! Test yourself on all digestive system structures with our digestive system quizzes and learning tools.
Similarly, the functional right lobe is divided into the right medial and right lateral sectors by an oblique line that passes anteroposteriorly from the midpoint of the right lobe to the vena caval groove. Unlike the other sectorial markings, there is no visible impression on the liver that illustrates the division of the functional right lobe. It should also be noted that because of the rounded shape of the lateral border of the liver, the right medial and right lateral sectors are sometimes referred to as the right anterior and right posterior sectors, respectively.
Hepatic segments
Each sector is subsequently divided into two, producing eight hepatic segments. If the patient is supine, and the liver is reflected along its inferior border towards the diaphragm, the segments would be numbered in an anti-clockwise manner around the porta hepatis.
- Segment I – the caudate lobe – is the posterosuperior part of the left medial sector.
- Segment II is the posterosuperior segment of the left lateral sector.
- Segment III is the anteroinferior part of the left lateral sector.
- Segment IV includes the entire left medial lobe anteriorly, and the quadrate lobe viscerally. It is further subdivided into segments IVa and IVb. Segment IVa lies superiorly, while IVb lies inferiorly and corresponds with the location of the quadrate lobe.
- Segment V forms the inferior part of the right medial sector.
- Segment VI is the inferior part of the right lateral sector.
- Sector VII is the superior aspect of the right lateral sector.
- And, sector VIII is the superior aspect of the right medial sector.
For more details about the anatomy of the liver, take a look below:
Blood flow
The hepatic portal vein is responsible for delivering approximately 70% of the blood that passes through the liver. The roughly 30% that remains is carried by the hepatic artery. The hepatic portal vein is formed from the union of the splenic vein, inferior mesenteric vein and the superior mesenteric vein. It also receives tributaries from the right and left gastric veins. The left gastroepiploic vein drains to the portal vein by way of the splenic vein; while the right gastroepiploic vein, inferior and superior pancreaticoduodenal veins do so via the superior mesenteric vein.
The left lateral segment processes blood from the stomach and lower esophagus, distal body and tail of pancreas, the greater curvature of the stomach, and the hindgut by way of the splenic, gastric and inferior mesenteric veins. On the other hand, the functional right lobe of the liver processes blood coming from the head of the pancreas, the pylorus and antrum of the stomach, and the midgut via the superior mesenteric vein. The left medial segment receives blood from the entire gastrointestinal tract.
The caudate lobe (segment I) is the autonomous zone of the liver. It receives portal venous, as well as hepatic arterial, blood from both branches of the aforementioned vessels. Additionally, its biliary drainage is by both branches of the hepatic ducts and its venous return goes directly into the inferior vena cava. Segments II, III and IV access blood supply, and achieve venous and biliary drainage by the left branches of the responsible vessels.
Master the hepatic portal circulation with the following study unit:
Portosystemic (portacaval) circulation
The body is also equipped with vast circulatory anastomoses that provide an alternative route for venous drainage in the instance that there is obstruction. These points of mixing of portal and systemic circulation are known as portacaval or portosystemic anastomoses.
There are five such junctions in the body:
- esophageal portacaval anastomosis: the middle esophagus is drained by tributaries to the azygous vein, which drains to the inferior vena cava. The lower esophagus is drained by tributaries to the left gastric vein, which drains to the hepatic portal vein. These tributaries form the esophageal portacaval anastomosis at the level of T8 vertebra above the esophageal hiatus of the diaphragm.
- periumbilical portosystemic anastomosis: there are para-umbilical veins that travel on either side of the ligamentum teres and drains to the hepatic portal vein. It forms the periumbilical portosystemic anastomosis with the epigastric veins (which drains to the internal & common iliac veins), thus establishing a portacaval junction.
- retroperitoneal portacaval anastomosis: is formed where the ascending and descending limbs of the colon are intact with the posterior abdominal wall, retroperitoneal veins that drain to the inferior vena cava anastomose with tributaries to the superior and inferior mesenteric veins.
- Above the bare area of the liver, anastomotic pathways between the portal vein and the azygous venous plexus form to provide portal and systemic communication.
- anal portacaval system: is formed at the level of the anal columns. The anastomosis is made from the superior rectal vein (that drains the superior part of the anal canal to the inferior mesenteric vein) and the middle and inferior rectal veins (that drains the lower part of the anal canal to the internal iliac veins).
Clinical notes
Hepatic (portal) hypertension
Hepatic (portal) hypertension is clinically defined as persistent elevation of portal venous pressure above 12mmHg, distension of the portal vein above 13 mm or a portal pressure gradient (between portal vein and inferior vena cava) above 7 mmHg.
This condition may arise due to right ventricular failure, obstruction of the hepatic veins (Budd-Chiari syndrome) and other pathological processes.
Clinically, patients can present with distention of the anastomosed vessels and peripheral oedema. Conditions such as caput Medusae (distention of the anterior abdominal wall veins) and esophageal varices (distention of the veins of the lower oesophagus) can arise.
Functional division of the liver: want to learn more about it?
Our engaging videos, interactive quizzes, in-depth articles and HD atlas are here to get you top results faster.
What do you prefer to learn with?
“I would honestly say that Kenhub cut my study time in half.”
–
Read more.
