Duodeno
El duodeno es la primera de las tres porciones del intestino delgado (duodeno, yeyuno e íleon) que recibe a los alimentos ya en parte digeridos por el estómago y donde comienza la absorción de nutrientes. El duodeno se encuentra directamente unido al píloro del estómago, tiene forma de ‘C’ y está íntimamente relacionado con la cabeza del páncreas, conformado por cuatro porciones: una porción superior, otra descendente, una horizontal y otra ascendente.
Cuando hablamos del duodeno desde el punto de vista histológico, este se compone de las tres capas comunes de todos los órganos huecos del tracto gastrointestinal, con la diferencia de que contiene glándulas de Brunner, siendo estas el factor característico del mismo.
Pero, exactamente ¿Qué es el duodeno? En este artículo revisaremos la anatomía (porciones o secciones, su irrigación e inervación), así como la histología del duodeno mencionado sus funciones más importantes.
Ubicación | Alrededor de la cabeza del páncreas, a nivel de L1-L3. Presenta forma de `C` y mide aproximadamente 25-30 cm de longitud |
Porciones | Superior (-> flexura superior del duodeno), descendente (->flexura inferior del duodeno), horizontal (aorta -> vena cava inferior), ascendente (->flexura duodenoyeyunal) |
Irrigación | Arterias pancreaticoduodenal superior (anterior, posterior) e inferior |
Inervación | Plexo celíaco, nervio vago |
Histología |
Capas: mucosa (lámina epitelial, lámina propia, lámina muscular), submucosa, capa muscular (capa circular interna, capa muscular longitudinal) Característica clave - glándulas de Brunner |
Funciones | Neutralización del juego gástrico ácido, digestión mecánica del quimo, mezcla de enzimas biliares y pancreáticas, absorción de agua, electrolitos y nutrientes. |
Anatomía
Porciones
El duodeno es una estructura de 25 a 30 cm de longitud (más o menos el tamaño de 12 dedos), tiene una forma de ‘C’ y se encuentra en la parte superior del abdomen a nivel de las vértebras L1-L3. Como hemos mencionado anteriormente, el duodeno es la primera porción del intestino delgado y se puede resaltar que la cabeza del páncreas se encuentra en el medio de dicha forma de ‘C’. El duodeno se subdivide en cuatro porciones: una porción superior, otra porción descendente, una porción horizontal y otra porción ascendente.
- La porción superior (primera porción, D1) se encuentra intraperitonealmente y está agrandada proximalmente (bulbo duodenal). Se encuentra conectada con el hígado por el ligamento hepatoduodenal. La porción superior termina en la flexura superior del duodeno donde se convierte en la porción descendente.
- La porción descendente (segunda porción, D2) y el resto del duodeno se ubican retroperitonealmente. El conducto colédoco y el conducto pancreático se unen para conformar un solo ducto en la ampolla hepatopancreática (ampolla de Vater) para luego drenar su contenido en el duodeno en su porción descendente. En la apertura del conducto, hay una elevación de la mucosa, la papila duodenal mayor (papila de Vater). Cabe mencionar que varias persona poseen un conducto pancreático accesorio el cual desemboca en una papila adicional, la papila duodenal menor (papila de Santorini). La transición de la porción descendente a la horizontal del duodeno tiene lugar en la flexura inferior del duodeno.
- La porción horizontal (inferior y tercera porción, D3) se puede encontrar de derecha a izquierda ventralmente desde la aorta abdominal y la vena cava inferior.
- La porción ascendente (cuarta porción, D4) se encuentra cranealmente a lo largo del lado izquierdo de la columna vertebral. Esta última porción del duodeno se une al yeyuno el cual se encuentra en la flexura duodenoyeyunal. Aquí, el duodeno se une a la porción posterior de la pared abdominal a través del músculo suspensor del duodeno (ligamento de Treitz). Clínicamente el ligamento de Treitz marca el límite entre el tracto gastrointestinal superior e inferior.
Irrigación
La irrigación del duodeno es a través de las arterias pancreaticoduodenales superior anterior y posterior (ramas de la arteria gastroduodenal) y la arteria pancreaticoduodenal inferior (rama de la arteria mesentérica superior) las cuales conforman una de las arcadas arteriales. Asimismo, las venas homólogas son las encargadas del drenaje venoso.
Inervación
La inervación simpática se da mediante los nervios del plexo celíaco, mientras que la inervación parasimpática es a través del nervio vago (par craneal X).
Para más detalles sobre el duodeno, revisa las siguientes unidades de estudio:
Histología
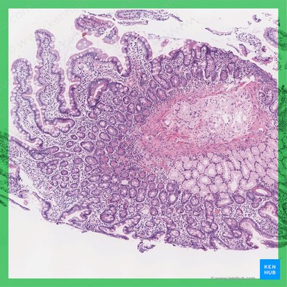
Histológicamente, el duodeno es bastante similar a todos los órganos huecos del tracto gastrointestinal: mucosa, submucosa y la túnica muscular.
- La mucosa está conformada por un epitelio cilíndrico simple (lámina epitelial), una capa de tejido conectivo (lámina propia) y una capa de músculo liso (lámina muscular). Las células epiteliales intestinales (enterocitos) están recubiertas por una capa de glicoproteínas y mucina.
- La submucosa está constituida por tejido conectivo laxo, varios vasos sanguíneos y el plexo de Meissner.
- La capa muscular está formada por una musculatura circular interna y otra longitudinal externa entre las que podemos encontrar al plexo de Auerbach.
En todas las porciones del intestino delgado es típico observar microvellosidades (estructuras en forma de pelos que sobresalen de la superficie), las vellosidades con forma de dedos y los pliegues circulares de la mucosa y submucosa (válvulas de Kerckring). Estas estructuras aumentan el área de absorción del duodeno hasta unas 1500 veces.
El duodeno es rico en enterocitos absorbentes, células caliciformes productoras de moco y células endocrinas productoras de hormona peptídica.
Una característica clave del duodeno son las glándulas de Brunner las cuales se encuentran en la submucosa. Estas glándulas producen moco que contiene bicarbonato el cual sirve para neutralizar al ácido gástrico (sin esta neutralización, es común ver pacientes con úlceras duodenales) Asimismo, entre las vellosidades se encuentran las criptas de Lieberkühn. La células de Paneth se encuentran en el lumen de estas criptas. Según lo que se conoce hasta ahora, las células de Paneth juegan un papel importante en cuanto a la defensa antimicrobiana, sin embargo es importante mencionar que sus funciones aún no son totalmente conocidas.
Funciones
Las funciones principales del duodeno son:
- Neutralización del jugo gástrico ácido mediante la producción de secreción alcalina.
- Procesamiento mecánico y digestión del quimo.
- Mezcla de bilis y enzimas pancreáticas.
- Absorción de agua, electrolitos y nutrientes (especialmente sustancias hidrosolubles como los monosacáridos).
Ya que has aprendido todo lo que necesitas saber sobre el duodeno, pon a prueba y consolida tu conocimiento con el siguiente cuestionario.
Resumen
Anatomía:
- Con forma de ‘C’ y unido al píloro del estómago
- Porción superior, porción descendente, porción horizontal y porción ascendente
Histología:
- Mucosa, submucosa y capa muscular
- Microvellosidades, vellosidades con forma de dedo y pliegues circulares de la mucosa
- Enterocitos, células caliciformes, células endocrinas
- Glándulas de Brunner y células de Paneth
Funciones
-> Neutralización del ácido gástrico, absorción del agua y nutrientes, mezcla de enzimas.
Duodeno: ¿quieres aprender más sobre este tema?
Nuestros interesantes videos, cuestionarios interactivos, artículos detallados y atlas en alta definición te ayudarán a lograr resultados mucho más rápido.
¿Cómo prefieres aprender?
“Honestamente podría decir que Kenhub disminuyó mi tiempo de estudio a la mitad”
–
Leer más.
