Histologia dos tecidos ósseo e cartilaginoso
A cartilagem é um tipo de tecido conjuntivo elástico que possui um papel de sustentação e proteção no corpo humano. O tecido cartilaginoso é avascular, e portanto obtém sua nutrição a partir de difusão, algumas vezes ao longo de grandes distâncias.
Há 3 tipos de cartilagem:
- Fibrocartilagem (cartilagem fibrosa)
- Cartilagem hialina
- Cartilagem elástica
Fibrocartilagem
A fibrocartilagem (ou cartilagem fibrosa) é um tipo de cartilagem que pode ser vista como uma mistura entre a cartilagem hialina e o tecido conjuntivo fibroso. Trata-se de um tecido esbranquiçado, denso e opaco, com uma mistura de condrócitos e fibroblastos. Os fibroblastos tipicamente se encontram entre os feixes de fibras colágneas tipo I e tipo II. Devido à sua composição e localização anatômica únicas, a fibrocartilagem é resistente ao estresse mecânico e à tensão. A fibrocartilagem é encontrada nos discos intervertebrais, na articulação temporomandibular e nos meniscos dos joelhos.
Consolide seu conhecimento sobre a histologia da cartilagem fibrosa com a unidade de estudo abaixo:
Avalie seus conhecimentos sobre a histologia da fibrocartilagem com o teste abaixo:
Cartilagem hialina
A cartilagem hialina é o tipo de cartilagem mais comum do corpo humano. Ela é tipicamente caracterizada por sua consistência firme e superfície lisa. Ao contrário da fibrocartilagem, não há matriz extracelular densa e fibrilar na cartilagem hialina. A microscopia óptica geralmente revela vários condrócitos densamente agrupados com cápsulas que se coram fortemente na cartilagem hialina. Entre eles há uma substância fundamental formada por proteoglicanos e glicoproteínas, que é mais brilhante e mais homogênea. As proteínas da substância fundamental possuem alta capacidade de ligação com a água, que permite que a cartilagem hialina realize sua função.
A cartilagem hialina geralmente é envolvida por um pericôndrio. Ela é encontrada nas articulações como cartilagem articular, na cartilagem costal, no arcabouço cartilaginoso do nariz, na laringe, na traqueia, nos brônquios e nos ossos em crescimento.
Quer aprender mais sobre a histologia da cartilagem hialina? Que tal usar a unidade de estudo abaixo:
Avalie seus conhecimentos sobre a cartilagem hialina com o teste abaixo:
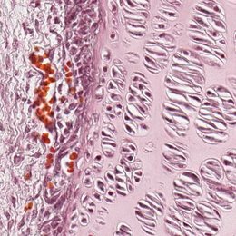
Cartilagem elástica
A cartilagem elástica possui uma composição semelhante à da cartilagem hialina. Entretanto, os condrócitos encontram-se isolados, e há uma abundância de fibras elásticas incorporadas à substância fundamental. Essas redes de fibras tipicamente são amareladas em um espécime fresco, enquanto em preparações histológicas elas podem ser facilmente visibilizadas usando colorações especiais.
A cartilagem elástica sempre é envolvida por um pericôndrio. Ela é encontrada no pavilhão auricular, no conduto auditivo interno, na tuba auditiva, na epiglote, na laringe e nos pequenos brônquios, onde sua flexibilidade e resistência à forças deformantes são funcionalmente importantes.
Consolide seus conhecimentos sobre a histologia da cartilagem elástica com a unidade de estudo abaixo:
Avalie seus conhecimentos sobre a histologia da cartilagem elástica com o teste abaixo:
Tecido ósseo
O tecido ósseo consiste em vários tipos de células, como os osteoblastos, os osteócitos e os osteoclastos, bem como uma matriz extracelular mineralizada. Os osteoblastos depositam material ósseo (fibras proteicas) na matriz ósseas, os osteócitos são as células ósseas que se encontram nas lacunas da matriz óssea, e os osteoclastos podem dissolver e quebrar a matriz óssea mineralizada novamente.
Ossos planos, como os ossos do crânio, consistem em uma camada de osso esponjoso coberta em ambos os lados por camadas de osso compacto. Os ossos longos são formados principalmente de osso compacto, com menores quantidades de osso esponjoso e medula óssea.
Cada vez que um osso é formado, ossos imaturos são formados antes, com fibrilas colágenas e células ósseas que ainda são distribuídas de maneira irregular. Os ossos maduros são chamados de ossos lamelares, onde os ósteons formam as unidades funcionais e as fibrilas colágenas são distribuídas de uma maneira organizada no sistema lamelar.
Quer aprender mais sobre a histologia do tecido ósseo? Que tal conferir nossa unidade de estudo abaixo?
Avalie seus conhecimentos sobre a histologia do tecido ósseo com o teste abaixo:
Formação do tecido ósseo
O termo osteogênese se refere à formação dos ossos, enquanto ao termo ossificação descreve o desenvolvimento do tecido ósseo. Há dois tipos de ossificação: intramembranosa e endocondral.
Durante a ossificação intramembranosa, ou direta, um tecido mesenquimal é diretamente convertido em osso imaturo. Esse tipo de osso em formação ocorre na calota craniana, em partes da mandíbula e na clavícula.
Entretanto, a maioria dos ossos são formados por ossificação endocondral, ou indireta. Inicialmente é formado um tecido cartilaginoso (cartilagem hialina) a partir de um agregado de células mesenquimais. Em seguida, esse tecido é quebrado e ossificado.
Ambos os tipos de ossificação possuem papéis essenciais na formação dos ossos longos, enquanto apenas a ossificação endocondral ocorre nos ossos curtos.
Consolide seus conhecimentos sobre a histologia da formação dos tecidos ósseos com a unidade de estudo abaixo:
Avalie seus conhecimentos sobre as características histológicas do tecido ósseo durante a ossificação com o teste abaixo:
Artigos relacionados
Artigos relacionados ao assunto:
Vídeos relacionados
Vídeos relacionados ao assunto:
Histologia dos tecidos ósseo e cartilaginoso - quer aprender mais sobre isso?
As nossas videoaulas divertidas, testes interativos, artigos em detalhe e atlas de alta qualidade estão disponíveis para melhorar rapidamente os seus resultados.
Com quais você prefere aprender?
“Eu diria honestamente que o Kenhub diminuiu o meu tempo de estudo para metade.”
–
Leia mais.
