Glands
Epithelia are a group of tissues derived from all three embryonic germ layers, which are involved in absorption, secretion, selective diffusion and physical protection. Epithelia primarily involved in secretion are arranged into structures known as glands. Glands are invaginations of epithelial tissue and can be divided into two main types:
- Exocrine glands
- Endocrine glands
This article will discuss the structure and function of exocrine and endocrine glands as well as examples of these glands. This will be followed by any relevant clinical pathology.
Exocrine glands
Exocrine glands release their secretions onto an epithelial surface via a duct. Exocrine glands consist of two main parts, a secretory unit and a duct. The secretory unit consists of a group of epithelial cells, which release their secretions into a lumen. A duct is lined with epithelium and is involved in transporting the secretions from the secretory unit to an epithelium-lined surface.
Classification by shape
Exocrine glands can be classified into a variety of categories in terms of their structure. They can be categorized according to the shape of their secretory unit. Secretory units shaped as a tube are referred to as tubular, whereas spherical units are referred to as alveolar or acinar, when the pancreas is involved. Exocrine glands can also be comprised of both tubular and alveolar secretory units and. In this case, they are referred to as tubuloalveolar. They can also be categorized according to whether their duct is branched or not. An unbranched duct is referred to as a simple gland, whereas a branched duct is known as a compound gland. An example of a simple gland is a sweat gland, whereas the pancreas is an example of a compound gland.
Classification by function
Exocrine glands can also be classified into a variety of categories in terms of their function. They can be categorised into 3 subtypes according to their type of secretory product:
- Serous glands
- Mucous glands
- Mixed glands
Serous glands produce serous fluid, a watery substance containing enzymes. Mucous glands are involved in the production of mucus, a viscid (sticky) glycoprotein. Mixed glands are comprised of both serous and mucous glands and secrete a mixed substance containing both serous fluid and mucus.
Classification by secretion mechanism
Exocrine glands can also be categorised into another 3 subtypes according to their secretion mechanism:
- Merocine glands
- Apocrine glands
- Holocrine glands
Merocrine glands are the most common and release their secretory products via exocytosis. The major secretory products of these glands are usually proteins. Apocrine glands release their secretory products contained within membrane-bound vesicles. This type of secretion is rare and these glands are found in the breast and constitute some sweat glands. Holocrine glands release whole secretory cells, which later disintegrate to release the secretory products. This type of secretion is seen in sebaceous glands associated with hair follicles.
The release of secretory products from the secretory unit is aided by some contractile cells, known as myoepithelial cells. These cells comprise characteristics of both muscle and epithelial cells and lie between the secretory unit and basement membrane. The cytoplasmic processes of these cells envelop the secretory unit so that contraction of these cells results in release of the secretory products from the secretory units and into the ducts. Release of secretory products occurs in response to stimulation by hormones or autonomic nerve impulses.
Test your knowledge on the sweat glands with this quiz.
Endocrine glands
Endocrine glands release their secretory products directly into the bloodstream, rather than via a duct. These glands are surrounded by a strong connective tissue capsule, which has fibrous extensions known as trabeculae. These trabeculae provide internal support and give the gland a lobular appearance. Endocrine glands release secretions known as hormones, which travel via the bloodstream to reach their target cells, where they elicit functional changes. The hormones are commonly stored intracellularly within secretory vesicles and are released intermittently via exocytosis. An exception to this is the thyroid gland, which stores its hormone extracellularly as an inactive precursor molecule. Secretion of hormones is usually regulated by negative feedback, where a rise in the level of hormone in the blood decreases its secretion.
Sebaceous glands
Sebaceous glands are simple, branched, acinar, exocrine glands located within the skin. They secrete a fatty substance sebum, into the follicular duct, which surrounds the hair shaft. Sebum helps keep the skin flexible and prevents water loss. These are known as holocrine glands, as sebum is released when the secretory cells degenerate.
Pituitary gland
The pituitary gland is a small endocrine gland within the brain involved in hormone synthesis and regulation. It consists of two parts, the anterior pituitary or adenohypophysis, and the posterior pituitary, or neurohypophysis. The anterior pituitary secretes:
- growth hormone (GH)
- prolactin
- adenocorticotrophic hormone (ACTH)
- follicle-stimulating hormone (FSH)
- luteinising hormone (LH)
- thyroid-stimulating hormone (TSH)
ACTH and TSH travel to their target organs, the adrenal gland and the thyroid gland, respectively in order to stimulate the release of further hormones. The posterior pituitary secretes antidiuretic hormone (ADH), otherwise known as vasopressin, and oxytocin.
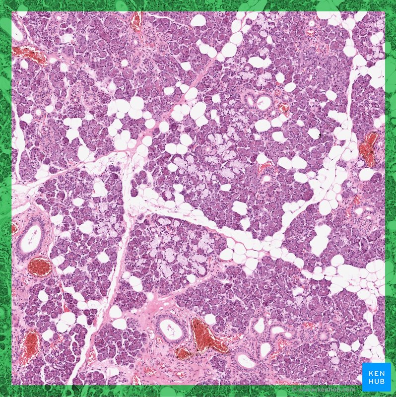
Pancreas
The pancreas is an organ comprised of both exocrine and endocrine glands. The majority of the pancreas has an exocrine function and secretes an enzyme-rich alkaline fluid into the pancreatic duct, which joins the common bile duct before emptying into the duodenum. The exocrine glands secrete the proteolytic enzymes trypsinogen and chymotrypsinogen, which are activated to trypsin and chymotrypsin in the duodenum and aid in digestion.
The exocrine pancreas also secretes bicarbonate ions, which neutralise the acidic chyme as it reaches the duodenum. There are also clusters of endocrine glands located within the exocrine tissue and these are referred to as islets of Langerhans. The two main hormones released from the endocrine glands of the pancreas are insulin and glucagon. The pancreas also secretes:
- somatostatin
- vasoactive intestinal peptide (VIP)
- pancreatic polypeptide (PP)
- motilin
- serotonin
- substance P in smaller quantities
Other glands
Other examples of glands include:
- sweat glands
- salivary glands
- the thyroid gland
- parathyroid glands
- the pineal gland
- adrenal glands
Clinical notes
Adenocarcinomas
Adenocarcinomas are malignant tumours that arise from glandular epithelium and are common in the gastrointestinal system, uterus, lungs, breast and prostate. They consist of abnormal glands and can secrete mucus. They are usually diagnosed by a biopsy, a CT scan or by an MRI scan. Treatment can involve solely surgery, chemotherapy or radiotherapy or a combination of these.
Adenomas
Adenomas are the benign counterparts of adenocarcinomas and are commonly found in the pituitary gland. Pituitary adenomas do not invade the surrounding tissues, but they can have serious consequences due to compression on surrounding structures such as the optic chiasm, which can lead to visual problems. They can also secrete hormones such as ACTH, which can lead to Cushing’s disease, or GH, which can lead to gigantism in children and acromegaly in adults.
Gland hyperfunction
Hyperfunctioning of an endocrine gland such as the thyroid gland, pituitary gland or adrenal gland can lead to increased secretion of hormones. An example of this is Grave’s disease, which is due to an overproduction of thyroid hormones and can cause symptoms such as irritability, weight loss, tremor and a rapid heartbeat. Treatment can involve pharmacotherapy such as carbimazole or propylthiouracil, surgery or radioiodine therapy.
Gland hypofunctioning
A hypofunctioning endocrine gland can also occur resulting in a reduced production of hormones. An example of this is hypopituitarism, where production of one or more of the hormones of the pituitary gland, is reduced. Symptoms are related to the hormones involved and can include short stature (GH deficiency), polyuria (ADH deficiency) and weakness (ACTH deficiency). Treatment can involve hormone replacement, surgery or radiation therapy.
Another example of a disease due to hypofunction is type I diabetes mellitus, where autoimmune destruction of the beta cells of the pancreas leads to reduced insulin in the bloodstream. This can lead to polyuria (increased urination) and polydipsia (Increased thirst) due to a reduction in glucose storage. Treatment involves daily insulin injections and blood glucose monitoring to try and prevent complications such as diabetic nephropathy (kidney damage) and diabetic neuropathy (damage to the nerves).
Glands: want to learn more about it?
Our engaging videos, interactive quizzes, in-depth articles and HD atlas are here to get you top results faster.
What do you prefer to learn with?
“I would honestly say that Kenhub cut my study time in half.”
–
Read more.
Kim Bengochea, Regis University, Denver