Connection lost. Please refresh the page.
Online
The #1 platform to learn anatomy
6,605,827 users worldwide
Exam success since 2011
Serving healthcare students globally
Reviewed by medical experts
2,907 articles, quizzes and videos
Ready to learn?
Pick your favorite study tool

Overview and types of epithelial tissue

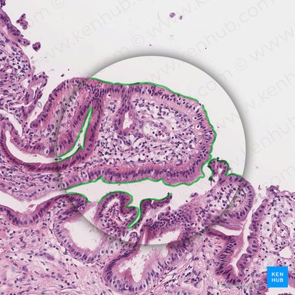
Structures and types of simple epithelia.

Epithelium is one of only 4 types of human body tissues. Like all types, it is formed by cells within an extracellular matrix (ECM). 
The cells in this tissue are tightly packed within a thin ECM. Forming sheets that cover the internal and external body surfaces (surface epithelium) and secreting organs (glandular epithelium). Functions of epithelial tissue are secretion, protection, absorption, transportation and special sensory receptive.

Think epithelial tissue is not so interesting? Wait until you read about all its specializations! This page will introduce you to the histology, characteristics and functions of epithelial tissue.

Key facts
Cell shape classification Squamous, cuboidal, columnar
Cell layer classification Simple, stratified, pseudostratified, transitional
Main features Contiguous cells

Polarity (apical, lateral and basal cell surfaces)

Intercellular junctions

Basement membrane (extracellular matrix)

Supported by connective tissue (lamina propria)

Avascular, innervated
Specialisations Apical: microvilli, cilia, stereocilia, modified stereocilia (sensory receptors)

Secreting: tubular, acinar and tubuloacinar glands
Functions Secretion, absorption, transportation, protection, receptor function (sensation)
Contents
  1. Structure
    1. Polarity 
    2. Apical specializations
    3. Junctions 
    4. Extracellular matrix
    5. Tissue
  2. Types of epithelial tissue
    1. Simple
    2. Pseudostratified
    3. Stratified
    4. Transitional
  3. Glandular epithelium
    1. Exocrine glands
    2. Endocrine glands
  4. Functions and examples
    1. Secretion
    2. Absorption
    3. Transportation
    4. Protection
    5. Receptor function
  5. Overview
  6. Sources
  7. Related articles
  8. Related videos
+ Show all

Structure

Epithelial cells are the building blocks of epithelial tissue. Like every other cell, they are surrounded by cellular membranes. Epithelial cell membranes have three regions (domains) different in structure and function; apical, lateral and basal. This feature is called membrane polarity. 

Polarity 

Each membrane pole exhibits various features. These can include receptors and channels for transportation of substances that the epithelial cell needs to internalize or expel, or membrane specializations.

Apical poles project towards the external surface or the lumen of an organ which epithelia cover, which is why they’re also called free surfaces or free domains. This pole may also show apical membrane specializations which alter the shape of this surface. Lateral surfaces are the sites where adjacent cells interconnect, forming tightly packed contiguous cells. Basal surfaces are in contact with the underlying basement membrane. As both lateral and basal surfaces are adjusted to interact with surrounding structures, they’re often mentioned together as a basolateral surface. 

Apical specializations

Apical specializations are different types of fingerlike cytoplasmic extensions of the apical surface. They differ in their length, motility and function. There are three types of specializations;

  • Microvilli - are microscopic protrusions of the cell membrane which mainly function to increase the apical surface area for absorption. Large quantities of microvilli are said to form a 'brush border', due to their appearance in histological preparation. The enterocytes of the small intestine has such specializations to facilitate absorption of food in the gut. 
  • Stereocilia - a type of microvilli, but these are immotile and longer than microvilli. Their functions are absorption (epididymis and ductus deferens) and mechano-sensory reception (inner ear)
  • Cilia - fingerlike structures present on almost every epithelial cell. There are three types of cilia; motile, non-motile (primary) and nodal. Their respective functions are; removing foreign particles from the epithelial surface, transportation of signals from the ECM to the intracellular space, and fetal development.

Junctions 

Intercellular junctions are protein complexes on the basolateral cell membranes of epithelial cells. Their functions are to establish membrane polarity, connect adjacent cells and anchor the epithelial tissue to the connective tissue underneath it. There are five main types of junctions:

  • Tight junctions (occluding junctions) – a complex intercellular junction that blocks the intercellular space between adjacent cells making it impassable. 
  • Adhering junctions and desmosomes – connect the cytoskeletons of adjacent cells.
  • Communicating (gap) junctions – passageways between adjacent cells that allow the transfer of small molecules between adjacent cells.
  • Anchoring junctions (hemidesmosomes) – a cell matrix junction that anchors the cell to the basement membrane.

Extracellular matrix

Epithelial cells are aligned into one or more rows, separated by thin layers of extracellular matrix. The deepest row (basal domain) produces a layer of specialized extracellular matrix called the basement membrane. This membrane demarcates the epithelial tissue from the underlying connective tissue. Remember hemidesmosomes? These and other cell-to-extracellular matrix junctions anchor epithelial cells to the underlying basement membrane.

A layer of connective tissue called the lamina propria, attaches to the basal surface of the basement membrane. Lamina propria holds the epithelial tissue glued to the deep tissues and contains blood vessels that supply the epithelial tissue.

Tissue

Let’s round this all up to understand how epithelial cells make the epithelial tissue. So, epithelial cells are tightly packed into one or more layers, held together by a variety of intercellular junctions. The deepest layer sits on a basement membrane, while the surface layer is free. Epithelial tissue is avascular but innervated. Nutrients are supplied by diffusion from blood vessels of the lamina propria. Epithelia contain stem cells in their basement membranes which enable continuous epithelial renewal. Some epithelia renew very fast (skin), while others do it at a slower pace. 

Get started with histology of tissues here.

Types of epithelial tissue

Epithelial tissue is classified based on the cell shape and the number of cell layers.

  • Cell shape: squamous, cuboidal, columnar
  • Cell layers: simple (one layer), stratified (multiple layers).

When there are multiple layers, it is the most superficial surface cell layer (apical domain) that defines the shape classification. There are additional subclasses of epithelial classification for cells that have specializations (e.g. ciliated epithelium).

Squamous epithelial cells appear squashed or flattened, like flakes or fish scales. The cells are wider than they are tall, with an oval shaped nucleus. Cuboidal epithelial cells are square shaped cells, they have a similar width to height ratio. The nucleus is large, round and centrally located, and the cytoplasm is rich with organelles

Columnar epithelial cells have a rectangular or column shape, meaning that they are taller than they are wide. The nucleus is also elongated, having a long oval shape. They have an organelle rich cytoplasm. These cells may have apical projections, such as microvilli or cilia. Columnar epithelial cells can be modified to produce mucous or other secretions, or form specialized sensory receptors.

Simple

Simple epithelium consists of one layer of epithelial cells lying on a basement membrane. Cells can be squamous, cuboidal and columnar.

Simple squamous epithelium – a single layer of thin flattened cells. This type of epithelium forms thin delicate sheets of cells through which molecules can easily pass (diffusion, filtration). Contiguous squamous epithelial cells also provide a smooth flat surface over which fluids and other tissues can move with low friction. This type does not offer great protection, in fact in some environments the cells can be shed (desquamate). Simple squamous epithelium can be found lining capillaries, inside of blood vessels (endothelium), alveoli of the lungs, glomeruli of the kidneys, the heart (endocardium) and serous membranes (mesothelium).


 Simple cuboidal epithelium – a single layer of cube-shaped cells. This type of epithelium offers greater protection than simple squamous due to its increased thickness. It also has secretory, absorptive and excretory functions because of its organelle rich cytoplasm. Simple cuboidal epithelium is found in organs with these functions, such as the ducts of the salivary glands, liver, pancreas and other exocrine glands. It forms thyroid follicles, kidney tubules, seminiferous tubules of male testis, and covers the surface of the ovaries (germinal epithelium).

Test what you've learned about the simple epithelium with the following quiz.

Simple columnar epithelium – a single layer of column shaped cells. Similar to cuboidal, it can have protection, secretion, absorption and excretion functions owing to its thickness and organelle rich cytoplasm. This epithelium often includes apical specializations (i.e. microvilli, cilia) which enhance its absorptive function or offer motility. Simple columnar epithelium can be found in the walls of the stomach, intestines and gallbladder.

Learn more about simple epithelium here.

Pseudostratified

Pseudostratified epithelium is a type of simple columnar epithelium. It is termed “pseudo” because, although single, it appears to have multiple layers. All the cells are attached to the basement membrane but not all of them reach the free surface, thus forming a sheet of cells with different heights and irregularly located nuclei.

There are types of pseudostratified columnar epithelium with cilia (upper respiratory pathways, uterine tubes), with stereocilia (epididymis) and without any apical specializations (ductus deferens).

Stratified

Stratified epithelium consists of two or more cell layers. Based on the shape of their most apical cell layer, they are further classified into squamous, cuboidal and columnar. There are also two types of specialized stratified epithelium: keratinized and transitional.

Stratified squamous epithelium – multiple layers of flat squamous epithelia which provide protection against abrasion and water loss. This type is further divided into keratinized and non-keratinized. Non-keratinized stratified squamous epithelium does not desquamate. It lines the oral cavity, esophagus, larynx, vagina and anal canal, and the outer layer of the cornea.

Stratified cuboidal epithelium - also functions as a protective tissue layer. It lines the excretory ducts of the sweat glands, large ducts of excretory glands, the anorectal junction and surrounds ovarian follicles.
 
Stratified columnar epithelium - less common than the other stratified types. It has the secretion and protective functions of all columnar epithelia. Examples of where this epithelial type can be found includes; covering the conjunctiva of the eye and in the largest ducts of exocrine glands. A special type of this epithelium forms sensory epithelium. Here, the columnar cells have various apical specializations modified to detect the various types of stimuli received by human sensory organs. Thus they are found in the retina of the eye (microvilli), taste buds on the tongue (microvilli), organ of Corti (stereocilia) and ampullae in the inner ear (microvilli, stereocilia and cilia).

Why not test your knowledge of the stratified epithelium with some quiz questions?

Keratinized epithelium - is a specialized stratified squamous epithelium in which the most apical (superficial) cells are dead and cyclically desquamate. The cells lose their nucleus and cytoplasm, and instead contain a tough protein called keratin which has waterproof properties. It is found in the epidermis of the skin.

Find out more about stratified epithelium here.

Transitional

Transitional epithelium is a type of stratified epithelium found in organs able to distend. It is called transitional as its superficial cells can change their shape (for example, from cuboidal to squamous) when the organ stretches. It is featured only in some parts of the urinary tract; renal calyces, ureters and urinary bladder, which is why it can also be termed the urothelium.

Struggling with epithelial tissues? Check out our quizzes and free worksheets for identifying epithelial tissue.

Glandular epithelium

Glandular cells are modified epithelial cells. They are specialized to pick up substances from the blood and modify them into a product that’s then released from the cell. They can be found scattered within the covering epithelia as unicellular glands (e.g., goblet cells in the intestinal epithelium), or they can form glandular organs (e.g., thyroid gland).

Glands are classified in two ways;

  • Based on where and how they release their product – into endocrine and exocrine glands
  • Based on the number of comprising cells – into unicellular and multicellular glands

Exocrine glands

Exocrine glands excrete their products onto the external body surface or into internal organs’ cavities. They can be unicellular and multicellular. Unicellular exocrine glands are dispersed within the covering epithelia, such as goblet cells in gastrointestinal and respiratory tracts. Multicellular glands consist of two parts; a secretory unit which secretes the product and an excretory duct which conveys the product out of the gland. By the structure of their excretory duct, multicellular glands classify as simple or compound.

  • Simple glands have an unbranched secretory duct which may have different shapes; tubular, branched tubular, coiled tubular, alveolar and branched alveolar. 
  • Compound glands have a branching excretory duct. Based on the structure of their secretory units, they are further divided into tubular, acinar and tubuloacinar. 

Multicellular glands can also be classified by the mode of their secretion; merocrine (excretion via exocytosis), holocrine (excretion with cell apoptosis) and apocrine (excretion by detaching the apical membrane). Merocrine glands are further divided into three types;

  • Mucous glands; secrete viscous products rich in proteins bound to carbohydrates (sublingual glands). 
  • Serous glands; release watery fluid where proteins aren't bound to carbohydrates (parotid gland). 
  • Seromucous glands; secrete mixed products (submandibular gland).

Endocrine glands

Endocrine glands do not have excretory ducts. Instead, their product, called hormone, diffuses into capillaries and travels through the bloodstream to reach its target organ/s and modify their functions. Endocrine epithelial cells can be organized in three ways;

  • Forming parenchyma of endocrine glands (e.g. pineal gland, suprarenal gland)
  • Incorporated in organs whose primary function is other than endocrine (e.g. juxtaglomerular cells of the kidney, Leydig cells of the testes)
  • Dispersed within other epithelial cells, being specifically connected to autonomic neurons (diffuse neuroendocrine system - DNES)

There is no uniform structure applied to all endocrine cells. Instead, they are classified by the nature of their secretion into cells that produce proteins and cells that produce lipids (steroids).

Find out more about glands histology here.

Functions and examples

Secretion

Many epithelial cells are able to secrete various macromolecules. The best example is glandular epithelium. Endocrine glands secrete hormones that regulate a variety of bodily functions, such as blood sugar levels (insulin), cellular metabolism (tyroxin) and cardiac cycle (noradrenalin). Exocrine glands maintain the body surfaces (sebum on the skin) and support functions of organs they discharge into (digestive enzymes in the small intestine).

Absorption

Absorption function is best exampled by surface epithelia with apical microvilli which significantly increase the absorptive surface area. Columnar epithelium in the small intestine is a good example. These cells function to absorb nutrients from the digestive tract, then transport the digested substances into the circulation.

Transportation

By having channels and pumps on their apical and basal surfaces, epithelial cells transport substances into and out of their cells. For example columnar cells of the ileum transport iron from the intestinal lumen into the capillaries, and cuboidal cells of renal tubule expel the H⁺ (hydrogen ion) from the body into the urine. Squamous epithelia, which form serous and mucous membranes as well as capillary linings, are also specialised for bidirectional substance transport.

Protection

Epithelial tissue forms a selective barrier, protecting the underlying organs from mechanical and chemical insults such as intoxication, tearing and infections. This is one reason why epithelia doesn't have blood vessels, as abrasion could result in tearing of the vessel and bleeding. Epithelia specialized for protection, such as the stratified squamous keratinized epithelium of the skin, are multilayered and have a high cell renewal rate. This means that they repair quickly after injury.

Receptor function

Epithelia can be specialized to receive sensory information and translate this information into neural signals. One example is pseudostratified columnar epithelium of the olfactory nasal mucosa. These epithelial receptor cells have apical cilia which detect the chemical signals of incoming odors. They pass that signal to the olfactory nerve (CN I) which transmits the information about the smell to the central nervous system. Other receptor epithelia include stratified columnar epithelia of the retina, taste buds, organ of Corti and ampullae in the inner ear.

Related articles

Articles within this topic:

Related videos

Videos within this topic:

Overview and types of epithelial tissue: want to learn more about it?

Our engaging videos, interactive quizzes, in-depth articles and HD atlas are here to get you top results faster.

What do you prefer to learn with?

“I would honestly say that Kenhub cut my study time in half.” – Read more.

Kim Bengochea Kim Bengochea, Regis University, Denver
© Unless stated otherwise, all content, including illustrations are exclusive property of Kenhub GmbH, and are protected by German and international copyright laws. All rights reserved.

Register now and grab your free ultimate anatomy study guide!