Connection lost. Please refresh the page.
Online
The #1 platform to learn anatomy
6,596,665 users worldwide
Exam success since 2011
Serving healthcare students globally
Reviewed by medical experts
2,907 articles, quizzes and videos
Ready to learn?
Pick your favorite study tool

Normal brain MRI

Normal brain MRI
Normal brain MRI

A brain MRI is one of the most commonly performed techniques of medical imaging. It enables clinicians to focus on various parts of the brain and examine their anatomy and pathology, using different MRI sequences, such as T1w, T2w, or FLAIR.

MRI is used to analyze the anatomy of the brain and to identify some pathological conditions such as cerebrovascular incidents, demyelinating and neurodegenerative diseases. Moreover, the MRI can be used for examining the activity of the brain under specific activities (functional MRI - fMRI). The biggest advantage of MRI is that it uses no radiation. However, it takes longer to be produced than CT for example, which is why it’s not a primary imaging choice for urgent conditions.

This article will explain how to read a brain MRI using concrete examples of the MRI images of the brain.

Key facts about the normal brain MRI
MRI definition Medical imaging technique used to examine the structure and function of the nervous tissue and soft tissues
Mechanism Emission of radio-waves and magnetic fields to produce images based on the tissue’s proton (hydrogen) levels.
T1w Adipose tissue sensitive sequence.
Shows CSF as black, gray matter as gray, white matter as white, bones as black, adipose tissue as white.
T2w Water sensitive sequence.
Shows CSF as white, gray matter as gray, white matter as darker gray, bones as black, adipose tissue as white
Contents
  1. Introduction
  2. How to read brain MRI
  3. Lateral ventricles
  4. Third ventricle
  5. Thalamus and basal ganglia
  6. Brain lobes
  7. Cerebral cortex
  8. Meninges
  9. Brainstem
  10. Cerebellum
  11. Sources
+ Show all

Introduction

MRI is the most sensitive imaging method when it comes to examining the structure of the brain and spinal cord. It works by exciting the tissue hydrogen protons, which in turn emit electromagnetic signals back to the MRI machine. The MRI machine detects their intensity and translates it into a gray-scale MRI image. 

Thus, for describing the MRI appearance of the parts of the brain we use the terms hyperintense and hypointense, with the gray matter being the reference point. This means that everything that is brighter than the grey matter is hyperintense, while everything that is darker is hypointense. For example, in all sequences, the bone is the dimmest structure on the scan since it has the lowest density of the protons. Hence, we say that the bone is hypointense.  

It’s worth noting that MRI can be combined with contrast agents, such as gadolinium. The radiological contrasts increase the visual contrast between the examined structure and the surrounding tissue.

Are you new in the world of MRI? We can help you learn about it with our MRI study guide!

The most frequently used MRI sequences for the brain examination are T1-weighted and T2-weighted, as well as FLAIR. Roughly speaking, T1w sequences are very useful to examine the normal anatomy of the brain, while T2w is mostly used to detect the pathological changes in the neural tissue. This is due to the specific characteristics of these sequences;

  • The T1w sequence shows best the structures that are mostly made of fat. So it shows the cerebrospinal fluid (CSF) as black, gray matter as gray, white matter as white, the bones as black, and the adipose tissue as white.
  • The T2w best shows the structures with a high amount of water. In this sequence, the CSF is white, gray matter is gray, white matter is darker gray, the bones are black and the adipose tissue is white.

Another important concept is the orientation of the scans. For coronal scans, everything that’s on the left side is actually the patient’s right, and vice versa. For axial scans, imagine as if you are looking at the patient through their feet while facing the opposite directions. Then everything that’s on your left is on the patient’s right, and everything that you anteriorly is on the patient’s posterior side.
To recall the principles of the MRI, have a look at our article about the fundamentals of the MRI.

How to read brain MRI

Brain MRI examination should follow a systematic approach starting from the midline and going laterally. Thus, the brain MRI analysis shall start from the ventricles, going to the surrounding subcortical structures, brain lobes, cerebral cortex, to the meninges and skull.

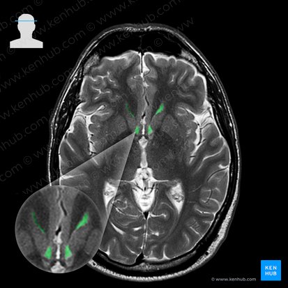
Lateral ventricles

The lateral ventricles are the two irregularly shaped cavities located on either side of the midline of the brain. They are the most prominent structures on the majority of the axial brain scans. Like the entire ventricular system, they are seen as hyperintense structures on T2w as they contain a lot of fluid (cerebrospinal fluid). 

Each lateral ventricle is a complex three-dimensional structure, consisting of a frontal horn, body, occipital and temporal horns. 

The frontal horns are the largest components of the ventricular system of the brain. On MRI, they are seen as the two symmetrical laterally concave structures. Their anterior portions deviate laterally from the midline, being separated by the genu of corpus callosum. Posteriorly, they are closer to each other, being separated only by the septum pellucidum. The lateral surfaces of the frontal horn are directly related to the head and body of the caudate nucleus.

The body of the lateral ventricle curves around the superior aspects of the third ventricle and thalamus, being parallel to the midline and superomedial to the body of fornix. At the level of the splenium of corpus callosum, the body dives inferiorly and laterally, forming a triangular structure called the collateral trigone. The trigone is thus immediately lateral to the splenium of corpus callosum. It gives off a posterior, horizontal projection, called the occipital horn, as well as an anteroinferior projection called the temporal horn.

Third ventricle

The third ventricle is located between the thalami and below the fornix of the brain. It is normally seen as a slit-like hyperintense structure on the axial brain MRI. It communicates with the lateral ventricles through the foramina of Monro (anteriorly), and with the fourth ventricle via the aqueduct of Sylvius (posteriorly). 

After identifying the ventricles, you can quickly assess if there is any pathology related to them. Any squashing or enlarging of the ventricles may indicate ventricular system pathologies, such as hydrocephalus that enlarge them, or nearby tumors, abscesses or hematomas that compress them. Pay attention to observe for any asymmetry, midline shift or displacement. This may indicate mass effect, i.e. the presence of expansive masses that move the brain structures and possibly cause brain herniation. These masses are usually tumors or hematomas, and you would recognize them as the hyperintense collections on T2w sequence, and hypointense on T1w sequence.

Quiz yourself on the ventricle system of the brain and its neighbouring structres.

Thalamus and basal ganglia

Going lateral from the ventricles, the next set of structures are the subcortical structures; thalamus and basal ganglia

On the axial MRI brain scan, the thalamus is seen as a dark gray ovoid mass, found immediately lateral to the third ventricle and deep to the lateral ventricle. The caudate nucleus is an elongated C-shaped nucleus that consists of the head, body and tail. It lies anterior to the thalamus and just lateral to the lateral ventricles. The head head of the caudate nucleus is found in the convexity of the frontal horn of the lateral ventricle, while the body courses posteriorly over the floor of the lateral ventricle. The body continues as the tail of caudate nucleus just laterally to the posterior pole of the thalamus. It bends ventrally around the thalamus and reaches the temporal lobe, where it connects with the amygdaloid body.

Immediately lateral to the thalamus is the internal capsule, which is seen as a slightly darker laterally concave stripe. The concavity of the internal capsule is formed by the anterior and posterior limbs of the capsule. Laterally to the internal capsule are the globus pallidus and putamen, which together comprise the lenticular nucleus. Continuing laterally, the next structure is a thin external capsule which separates the lenticular nucleus from the thin and elongated claustrum. Claustrum is the most lateral basal nucleus. Laterally to it is the extreme capsule, which separates the claustrum from the insular cortex.

Given their almost homogenous dark gray appearance in normal conditions, if you would see hyperintense basal ganglia areas, that may indicate an ischaemic stroke. The internal capsule is also a very common area where vascular lesions (e.g. hemorrhagic stroke) appear. Check thoroughly the anterior and posterior limbs of the internal capsule for any sign of hyperintense areas. On the other hand, hypointense areas in the basal ganglia may refer to neurodegenerative diseases such as Parkinson’s disease.

The cross-sectional cadaveric images have shown to be immensely helpful in understanding and easily tracking the relations of the brain structures on the axial MRI scans. Explore our video tutorial, quizzes, articles and labeled diagrams on this topic.

Brain lobes

In case you have identified any alteration in the signals coming from the brain tissue, it’s useful to determine its location with respect to the lobes of the brain, since some pathological conditions tend to happen in specific lobes. There are six lobes of the brain; frontal, temporal, limbic, parietal, insular and occipital lobes. The insular and limbic lobes are the ones of particular interest in the brain MRI.

The insular lobe lies just lateral to the extreme capsule of basal ganglia. It is a small portion of the cerebral cortex found deep to the meeting point of the frontal, temporal and parietal lobes.

The limbic lobe lies deep to the parietal and frontal lobes. It is a functional unit often referred to as the limbic system. The limbic lobe is composed of the hippocampal formation, amygdala, subcallosal area and cingulate gyri.

The hippocampal formation consists of the dentate gyrus, hippocampus and subiculum. On a coronal section, the hippocampal formation looks like a seahorse whose head begins with the dentate gyrus. On axial scans, it is the part of the temporal cortex that is immediately lateral to the pons. The dentate gyrus is found in the medial aspect of the temporal lobe. The dentate gyrus continues medially, deep into the temporal lobe, as the hippocampus proper. The hippocampus proper curves around the dentate gyrus, forming the floor of the temporal horn of the lateral ventricle. It then continues medially as the short subiculum. The subiculum courses medially and quickly continues as the parahippocampal gyrus. The parahippocampal gyrus curves inferiorly and emerges on the inferior surface of the brain. 

If you notice the atrophy of the hippocampus, together with the increased signal from it in a patient who is also experiencing epileptic seizures, you are likely looking at the mesial (medial) temporal sclerosis, one of the lead causes of severe temporal lobe epilepsy. In addition, hippocampal atrophy is one of the key elements of dementia (e.g. Alzheimer’s disease).

Although complex, the anatomy of the brain doesn’t have to be difficult to understand when you approach it in the right way. Learn the parts of the brain with diagrams and quizzes!

The amygdala is a small almond shaped structure found superior and anterior to the temporal horn of the lateral ventricle. At the pons level, it is easily traceable as a circular structure found immediately anterior to the head of hippocampus. 
The subcallosal gyrus lies deep to the genu of corpus callosum, while the cingulate gyrus continues on its superiorly and arches across the entire superior surface of the corpus callosum.

Cerebral cortex

Once you have analyzed the deep structures of the brain and reached the cerebral cortex, examine the brain tissue as a whole and look for any alteration of demarcation between the white and gray matter

  • The loss of gray-white matter differentiation usually happens due to the cytotoxic edema, which is one of the consequences of cerebral ischemia or hypoxic-ischemic encephalopathy. 
  • If you notice the reverse, i.e. the accentuation of demarcation between the masses, you should suspect of the vasogenic edema. This usually happens due to the blood-brain barrier disruption in the cerebral tissue that surrounds the tumors. The end result is the extracellular edema that enhances the signal intensity emitted from the white matter.

Have a look at the appearance of the gyri of the cerebral cortex. Normally, they should be tightly packed but yet distinguishable from one another. Wider sulci between the gyri may indicate neurodegenerative diseases, such as Alzheimer's disease.

Meninges

The meninges are the three membranes that envelop the brain and spinal cord. From deep to superficial, they are the pia, arachnoid and dura mater. They bound the three spaces: the epidural space, the subdural space, and the subarachnoid space. The meninges and intermeningeal spaces have a special place in the traumatology of the head.

  • An abrupt and high amplitude movement of the head, such as during car crashes can cause the rupture of the bridging veins of the brain. The blood then collects between the dura mater and the brain, forming a subdural hematoma. On MRI, it is seen as a half-moon shaped collection of blood, usually at the convexities of the skull.
  • The fracture of the skull can cause the damage of one of the meningeal arteries (most frequently the middle meningeal artery). The sudden stream of blood then separates the dura mater from the skull, forming the epidural hematoma between them. This hematoma is recognizable as a lens-shaped collection of blood and usually limited to the cranial sutures where dura mater is strongly attached to the bone.
  • A ruptured aneurysm on the intracranial blood vessel usually causes the subarachnoid hemorrhage (SAH) within the subarachnoid space. This is one the most urgent neurosurgical conditions as its mortality stays as high as 50% of the affected population. This condition is usually diagnosed by CT and digital subtraction angiography. MRI, however, is helpful in determining the location of the vascular malformations, in case they are the underlying cause of SAH (20%).

Brainstem

The brainstem is the distal part of the brain that extends from the base of the brain to the spinal cord. From superior to inferior, the brainstem consists of the midbrain, pons and medulla oblongata. Each of them features many important structures such as the cranial nerve nuclei. The axial section of the midbrain is often said to resemble Disney's character Mickey Mouse. On many normal scans, nothing more than the shape of the brainstem is clearly distinguishable. However, you can map the brainstem by using the Mickey Mouse map: 

  • The cerebral peduncles are presented as the ears of the mouse. Just medial to each peduncle is the substantia nigra. 
  • The two red nuclei (not easily seen in MRI images) are presented as Mickey’s eyes, while the nucleus of the oculomotor nerve (III) and the medial longitudinal fascicle comprise the nostrils.
  • Lastly, the cerebral aqueduct and the periaqueductal grey matter, which are found in the central part of the midbrain, form the mouth of Mickey Mouse.

The pons connects the midbrain and medulla. Just like the midbrain, its cross-sectional features are not that clear. You can recognize that you are at the pons level as its shape resembles more of a four-leaved clover, and you will see the cerebellum posteriorly to it rather than the occipital lobe. The pons, cerebellum and the petrous portion of the temporal bone comprise a triangular structure called the cerebellopontine angle. On the axial scan, this space corresponds to the line that borders the pons and cerebellum. It is very important as it is traversed by the vestibulocochlear and facial nerves, whose function becomes altered in case of tumors associated with this region (e.g. acoustic neuroma). The medulla oblongata is found between the pons and the spinal cord. Together with the inferior part of the dorsal surface of pons, it forms the floor of the fourth ventricle, which is seen as a hyperintense quadrangular cistern between the medulla and cerebellum.
Explore our multimedia brainstem study resources to consolidate your knowledge about the brainstem anatomy.
 

Cerebellum

The cerebellum lies below the occipital lobe of the brain, occupying the posterior cranial fossa. It consists of the right and left hemispheres that are interconnected by a midline area called the vermis. The cerebellum sits in the posterior cranial fossa via its two projections called the cerebellar tonsils.

Analyzing an axial scan from the midline and going laterally, we can identify the vermis as the central structure. On each side of the vermis is the deep white matter of the cerebellum which contains the deep cerebellar nuclei. From medial to lateral, these are the fastigial, globose, emboliform and dentate nuclei. The outermost layer of the cerebellum is the cerebellar cortex. It is grooved by the deep horizontal sulci, which contribute to the unique appearance of the cerebellum on MRI scans. Put simply, they make the cerebellum look like a multilayered structure composed of the heavily packed horizontal sheaths of tissue that are separated by the empty spaces.
Consolidate your cerebellum knowledge with our articles, video tutorials, quizzes and labeled diagrams.
 

Normal brain MRI: want to learn more about it?

Our engaging videos, interactive quizzes, in-depth articles and HD atlas are here to get you top results faster.

What do you prefer to learn with?

“I would honestly say that Kenhub cut my study time in half.” – Read more.

Kim Bengochea Kim Bengochea, Regis University, Denver
© Unless stated otherwise, all content, including illustrations are exclusive property of Kenhub GmbH, and are protected by German and international copyright laws. All rights reserved.

Register now and grab your free ultimate anatomy study guide!