Clinical case: Malignancy along facial nerve
After reviewing this case you should be able to describe the following:
- The course and functions of the facial nerve. The signs and symptoms that the patient would likely be showing after the surgery due to the removal of peripheral branches of this nerve. How these signs and symptoms are compared with Bell palsy.
- The course and function of the vestibulocochlear nerve. The signs and symptoms the patient would likely be showing after removing the peripheral parts of this nerve.
- The neural contents of the jugular foramen. Why dysphagia developed in this patient postoperatively (jugular foramen syndrome).
This article is based on a case report published in the Journal "Case Reports in Surgery" in 2015, by Caroline C. Jadlowiec, Beata E. Lobel, Namita Akolkar, Michael D. Bourque, Thomas J. Devers, and David W. McFadden.
It has been modified and reviewed by Joel A. Vilensky PhD, Carlos A. Suárez-Quian PhD, Aykut Üren, MD.
Case description
Patient history
A 43-year-old male with type 1 neurofibromatosis (NF1) was seen because of a growing subcutaneous tumor of the right postauricular region.
The tumor had been partially resected previously and had been shown histologically to be a malignant peripheral nerve sheath tumor (MPNST) (Figure 1) which presumably developed from a benign neurofibromatosis tumor. The patient did not have right facial nerve paralysis or hearing impairment.
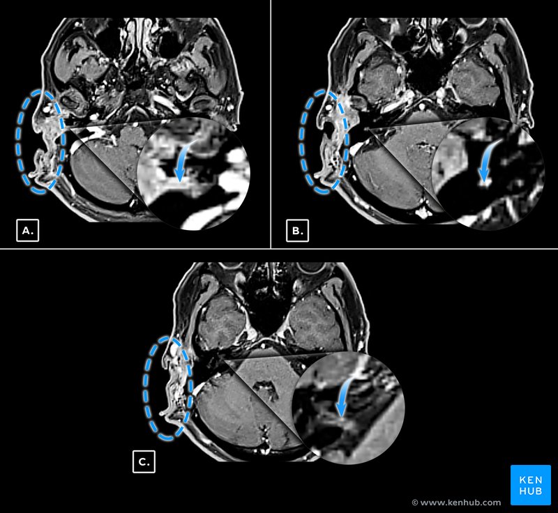
Imaging
MRI demonstrated remaining periauricular subcutaneous lesions that appeared to extend medially from the stylomastoid foramen into the intratemporal canal, facial nerve canal to the internal auditory canal (Figure 2).
MRI with contrast also showed subcutaneous lesions from the enlarged stylomastoid foramen and also an enlarged facial canal (Figure 3).
Diagnosis and management
Based on these findings, the patient was strongly suspected of having an MPNST that had spread internally along the facial nerve to the internal auditory canal. CyberKnife stereotactic radiosurgery was undertaken with a single dose of 23Gy to the right internal auditory canal.
Subsequently, the surgeons performed a subtotal temporal bone resection, which involved removal of much of the temporal bone including the petrous portion; with this extirpation, the cranial nerves Ⅶ and Ⅷ were cut and the jugular foramen was opened so that some of the higher numbered cranial nerves could be preserved.
Evolution
As a result, the patient suffered a total deficit of functions associated with cranial nerves Ⅶ and Ⅷ as well as incomplete palsy of cranial nerves IX and X (dysphagia). After rehabilitation and surgical treatment with laryngeal elevation and cricopharyngeal myotomy, he gradually resumed eating. Although postoperative adjuvant therapy was not delivered, there was no recurrence at follow-up 24 months after surgery.
Surgical and anatomical considerations
Origins of malignant peripheral nerve sheath tumors
MPNSTs are rare, aggressive malignant spindle cell tumors that have a poor prognosis, and they may arise from neurofibromas, especially in NF 1 patients as in this case, or directly from normal peripheral nerves. The absence of facial nerve signs and symptoms at presentation was surprising; apparently, despite the tumor’s presence along the nerve, impulse transmission somehow remained unaffected.
Differentiating between neurofibromas and malignant peripheral nerve sheath tumors
In clinical settings, it is important to differentiate MPNSTs from neurofibromas; usually, a neurofibroma precedes the onset of an MPNST particularly in patients with NF 1 (although only a small portion of NF tumors become malignant). Biopsy remains the gold standard for accurately differentiating between NF tumors and MPNSTs.
A biopsy of soft tissue tumors such as in the extratemporal region in this case can be performed relatively easily. In contrast, it is difficult to perform a biopsy of an intraosseous tumor because the considerable destruction of bone is required and, in addition to the effects of this destruction, there is an increased risk of dissemination of malignant tumor cells than if the tumor was left undisturbed. Therefore, MRI features such as larger tumor size, peripheral enhancement, perilesional edema, and intratumoral cystic change are useful in distinguishing MPNSTs from neurofibromas, with these characteristics being more consistent with malignant tumors than benign ones.
In the case described here, there were initially two distinct NF1 tumors; the external one became an MPNST whereas the internal one remained benign. However, the surgeons could not ascertain this with certainly prior to the surgery. Further, even if the surgeons knew that the internal tumor was simply another neurofibroma, there still was at risk of it eventually becoming malignant and thus they may have proceeded with the same surgery anyway.
Anatomy of the temporal bone
The temporal bone consists of four parts (Figure 6): the squamous, mastoid, petrous and tympanic parts.
- The squamous part provides part of the lateral surface of the skull and is the most superiorly positioned component of the temporal bone. The zygomatic process is an anterior projecting process that originates from the squamosal part and articulates with the temporal process of the zygomatic bone. The arched bony bridge formed by the two processes complete the zygomatic arch, which encompasses the temporalis muscle.
- Posteroinferior to the squamosal part of the bone is the mastoid part, consisting of the mastoid process and contained air cells. This process serves as an attachment for the sternocleidomastoid muscles and the air cells communicate with the middle ear (tympanic) cavity via the mastoid antrum.
- The petrous part of the temporal bone is situated in the skull base between the sphenoid and occipital bones. This part of the bone is pyramidal in shape and within it lays the middle and internal ear cavities.
- The tympanic part of the temporal bone is relatively small and lies inferior to the squamous part, anterior to the mastoid part, and superior to the styloid process. The lateral border of the tympanic part gives attachment to the cartilaginous part of the external acoustic meatus. Its anteroinferior surface forms the posterior boundary of the mandibular fossa. The styloid, from the Greek stylos, is a thin bony projection that is inferiorly and anteromedially between the parotid gland and internal jugular vein. The process serves as an attachment for the stylohyoid, styloglossus and stylopharyngeus muscles.
Objective explanations
Objectives
- The course and functions of the facial nerve. The signs and symptoms that the patient would likely be showing after the surgery due to the removal of peripheral branches of this nerve. How these signs and symptoms are compared with Bell palsy.
- The course and function of the vestibulocochlear nerve. The signs and symptoms the patient would likely be showing after removing the peripheral parts of this nerve.
- The neural contents of the jugular foramen. Why dysphagia developed in this patient postoperatively (jugular foramen syndrome).
Course, functions and removal of the facial nerve
Cranial nerve VII, the facial nerve is the nerve that supplies the muscles of facial expression (Figure 4&8).
A somewhat independent component of the nerve that is considered by some authorities to be a separate cranial nerve is called the intermediate nerve (nervus intermedius). The intermediate nerve contains parasympathetic fibers within it, which, upon stimulation, result in salivary gland secretion and tearing of the eyes, and also contains taste fibers (in chorda tympani nerve). The facial nerve (proper) emerges as a fairly large fiber bundle at the caudal border of the pons (Figure 9).
The initial part of the facial nerve between the brainstem and the internal auditory meatus is called the pontine part (Figures 9&10).
The meatal part of the facial nerve enters the internal auditory canal; as the nerve passes adjacent to the inner ear, it becomes the labyrinthine part, which continues to the geniculate ganglion (sensory ganglion of nerve) where it makes a sharp bend in a posterior direction (Figures 10&11).
At the ganglion, the tympanic part of the nerve travels horizontally in a posterior direction. The canal with the nerve then makes a second turn and its final course is directed downward (mastoid portion) to the stylomastoid foramen (where the facial nerve exits the skull).
In the first part of its external course, the facial nerve is embedded in the parotid gland from which the nerves to the muscles of facial expression emerge. Classically, there are five terminal branches of the facial nerve:
- temporal
- zygomatic
- buccal
- marginal mandibular, and
- cervical (Figures 4&8)
The primary function of these facial nerve branches is to innervate the muscles of facial expression. Facial nerve palsy is the most commonly occurring cranial nerve palsy. Typically, the entire nerve distal to the geniculate ganglion is affected and there is widespread loss of control of the facial muscles; the affected facial muscles lose their tone and may gradually atrophy. The normal wrinkles and creases in the face become less apparent. The side of the face that is affected has a smooth, empty expression. Because of the paralysis of the orbicularis oculi muscle, the patient cannot close their eye on the affected side, and the cornea of that eye can become dry with resultant formation of a corneal ulcer.
The common manifestation of facial nerve palsy is known as Bell Palsy. Usually, the condition is temporary and thought to be due to inflammation of the facial nerve in its canal. Of course, any condition that interferes with the transmission of impulses along the nerve will result in some facial palsy. The authors of this report were surprised that despite the location of the original tumor at the stylomastoid foramen, the patient did not show facial palsy. However, after the second surgery in which the lateral aspects of the temporal bone were removed along with the most of the nerve, facial palsy became a permanent condition of the patient. This patient would also suffer some salivation, taste, and eye tearing dysfunction due to the cutting of the intermediate nerve. Of these, unilateral loss of taste and salivation would likely not be debilitating due to compensation from the contralateral side. However, the loss of tearing would result in a very dry eye that may or may not recover after a prolonged period (six months).
Course, functions and removal of the vestibulocochlear nerve
The vestibular fibers of the vestibulocochlear nerve (Figure 9&12) are processes (dendrites and axons) of the cells located in the vestibular (Scarpa) ganglion within the internal auditory meatus. The peripheral processes (dendrites) travel as several small bundles to the three semicircular ducts, the maculae of the utricle, and the saccule within the vestibule. The central processes (axons) of the vestibular ganglion cells enter the brainstem and most of them are divided into an ascending branch and a descending branch that terminate in the four vestibular nuclei.
The stimuli are generated by currents in the endolymphatic fluid that is within the semicircular ducts, macula, and utricle that arise from movements of the head. The cell bodies of the afferent fibers of the cochlear fibers of the VIIIth nerve are located in the spiral ganglion, which is located within the cochlear canal. The dendrites of the ganglion cells arise in sensitive hair cells within the cochlea (organ of Corti), which respond to the vibrations caused by sound waves (in the endolymphatic fluid within the cochlear duct), and these impulses are transmitted to the brainstem via the axons of these nerves.
Unilateral vestibular nerve loss as would have occurred in this patient after the second surgery is quite symptomatic, causing vertigo (an illusory sense of movement or "spinning") and often vomiting. For at least several days following such a sudden injury, a very typical pattern of nystagmus is also observed. The eye slowly drifts to the side of the vestibular nerve damage, then quickly jerks away from the side of vestibular nerve damage. This nystagmus and the other vestibular symptoms will typically decrease and resolve over a period of weeks or months with vestibular rehabilitation therapy. The unilateral hearing loss is, however, permanent, but is not debilitating.
Jugular foramen and jugular foramen syndrome
The jugular foramen is at the junction of the petrous part of the temporal bone and the occipital bone (Figure 6&13). The internal jugular vein forms in the upper part of this foramen and cranial nerves IX, X and XI (glossopharyngeal, vagus, and spinal accessory) exit the skull using this foramen.
As shown by Figure 6, the foramen is very closely related to the facial canal and thus either because of tumor infiltration or as a result of the extensive skull surgery, there was some effect on the nerves that exit the jugular foramen, with the dysphagia suggesting that nerves IX and/or X were compromised. Because of the close relations of these three nerves and the internal jugular vein, infections such as skull base osteomyelitis, fractures, or cancer may thus affect all three nerves resulting in ipsilateral vocal, palate, pharyngeal and shoulder abnormalities. This condition is known as jugular foramen syndrome.
Clinical case: Malignancy along facial nerve: want to learn more about it?
Our engaging videos, interactive quizzes, in-depth articles and HD atlas are here to get you top results faster.
What do you prefer to learn with?
“I would honestly say that Kenhub cut my study time in half.”
–
Read more.
