Einschichtiges Epithel (Histologie)
Epithelgewebe gehört zu einem der vier grundlegenden Gewebearten. Es wird anhand seiner Charakteristika in verschiedene Gruppen unterteilt.
Einschichtiges Epithel besitzt nur eine Zellschicht, wobei jede Zelle in direktem Kontakt mit der darunter liegenden Basalmembran steht.
Im Allgemeinen befindet sich diese Art von Epithel überall dort im Körper, wo es empfindliche Oberflächen gibt, die besonders gut gegen äußere Einflüsse geschützt werden müssen. Das Epithel dient als Auskleidung von Körperhöhlen, Blutgefäßen und dem Herzen.
Da es eine sehr dünne Schicht ist, hat es den physiologischen Vorteil einer schnelleren Absorption und Filtration. Dies ist vor allem wichtig im Bereich des Verdauungstraktes und für den Austausch an den Lungenoberflächen.
In diesem Artikel wird die Histologie, Einteilung und Funktion von einschichtigem Epithel erklärt.
Histologie |
Besitzt nur eine Zellschicht Jede Zelle steht in direktem Kontakt mit der Basalmembran |
Einteilung |
Einschichtiges Plattenepithel Einschichtig Isoprismatisches (kubisches) Epithel Einschichtig hochprismatisches Epithel (Zylinderepithel) Mehrreihiges Zylinderepithel |
Funktion |
Auskleidung von Körperhöhlen, Blutgefäßen und dem Herzen Aufgrund der dünnen Schicht besitzt es eine schnelle Absorptions- und Filtrationsfähigkeit |
- Einschichtiges Plattenepithel
- Einschichtiges isoprismatisches (kubisches) Epithel
- Einschichtiges hochprismatisches Epithel (Zylinderepithel)
- Mehrreihiges Zylinderepithel
- Klinik
- Literaturquellen
Einfaches Epithel kann in 4 Hauptarten unterteilt werden, abhängig vom Aussehen und der Form der Zellen, aus denen das jeweilige Epithel aufgebaut ist.
Einschichtiges Plattenepithel
Die Zellen, die diesen Epitheltyp ausmachen, sind flach und dünn. Dadurch eignet sich das einschichtige Plattenepithel ideal für die Auskleidung von Oberflächen, durch die verschiedene Moleküle passiv hindurch diffundieren müssen.
Diese Art von Epithel findet sich in der Haut, Kapillarwänden, Glomeruli, Perikard, Pleura, Peritonealhöhle und der Auskleidung der Alveoli.
Beim Endothel handelt es sich um eine Art Epithel, das sich auf der inneren Oberfläche von Lymph- und Blutgefäßen befindet. Die Endothelzellen, die Gefäße auskleiden, sind einfache Plattenepithelzellen.
Mesothel besteht aus spezialisierten Mesothelzellen, die als einschichtige Plattenepithelzellen der Basalmembran aufsitzen und durch straffes, geflechtartiges Bindegewebe gestützt werden. Mesothel findet sich daher als Auskleidung von Körperhöhlen und Organen (z. B. Pleura, Peritoneum, Perikard und männliche sowie weibliche innere Geschlechtsorgane).
Einschichtiges isoprismatisches (kubisches) Epithel
Dieses Epithel besteht aus Zellen, die in etwa so hoch wie breit sind und deren rundliche Zellkerne zentral liegen. In einigen Fällen befinden sich außerdem Mikrovilli auf der freien Oberfläche dieser quadratischen Zellen. Diese vergrößern die Resorptionsoberfläche und können am besten mittels Elektronenmikroskopie untersucht werden.
Die Zellen dieses Epithels erfüllen Funktionen wie Sekretion, Absorption oder Exkretion. Sie bieten daher oft Schutz durch aktive Mechanismen (Pumpen von Molekülen in oder aus dem Lumen) oder auch durch passive Mechanismen, je nachdem wo sich diese Zellen befinden und worauf sie spezialisiert sind. Aufgrund seiner Funktion unterscheidet sich das einschichtig isoprismatische Epithel oft von sekretorischen oder duktalen Drüsenteilen.
Kubisches Epithel befindet sich auf der Oberfläche der Eierstöcke, in den Wänden der Nierentubuli (z. B. die kleinen Sammelkanäle der Niere oder den Auskleidungen von Nephronen), in den Innenwänden der Samenkanälchen der Hoden, in der Bauchspeicheldrüse, Speicheldrüse, in Teilen des Auges und den Follikeln der Schilddrüse.
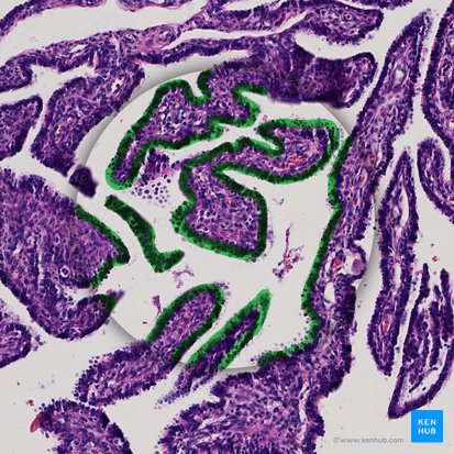
Einschichtiges hochprismatisches Epithel (Zylinderepithel)
Bei dieser Art von Epithel sind die Zellen höher als breit und sehen aus wie eng gepackte schmale Säulen. Die apikalen Oberflächen dieser Zellen sind dem Lumen zugewandt und die gegenüberliegende Seite weist zur Basalmembran. Die eiförmigen Kerne befinden sich üblicherweise in Richtung der basalen Oberfläche.
Diese Art von Epithel ist auf Sekretion, Absorption und Schutz spezialisiert.
Als schützendes Epithel säumt es die Nebengänge vieler exokriner Drüsen, während es als sekretorisches Epithel den Magen und den Gebärmutterhals auskleidet.
Das für die Absorption zuständige einschichtige Zylinderepithel besitzt eine gestreifte Grenze auf seiner apikalen Oberfläche. Der Bürstensaum stellt die Oberflächendifferenzierung dieser hochprismatischen Zellen dar und besteht aus zahlreichen, unbeweglichen Mikrovilli, die unter dem Lichtmikroskop das gestreifte oder bürstenartige Aussehen verleihen und die Oberfläche vergrößern, um eine effektivere Absorption von Nährstoffen zu gewährleisten.
Becherzellen sind Zellen des Zylinderepithels, die zur Sekretion von Muzinen, dem Hauptbestandteil von Schleim, dienen. Der Kern der Becherzellen, sowie die anderen Zellorganellen befinden sich nahe der basalen Oberfläche. Der Rest dieses länglichen Zelltyps besteht aus Zytoplasma, in welchem sich membrangebundene sekretorische Granula befinden, die zur Sezernierung von Muzinen dienen und zur apikalen Oberfläche hin ausgerichtet sind. Becherzellen befinden sich intraepithelial zwischen den normalen Epithelzellen und sind im Gastrointestinaltrakt, in den Atemwege und der Bindehaut des Auges zu finden. Der abgesonderte Schleim bildet eine Schicht, welche die Membran schmiert und die Oberfläche des Organs vor fremden, reizenden Stoffen schützt.
Bist du manchmal überwältigt von der gesamten Anatomie und Histologie des Menschen? Dann helfen dir unsere Arbeitsblätter dabei, wie du richtig Anatomie lernst.
Einige der Zellen des einschichtig hochprismatischen Epithels besitzen bewegliche Zilien und werden daher als zilientragendes Zylinderepithel bezeichnet. Die Bewegung der Zilien spielt eine wichtige Rolle für die Reinigung und Hinausbeförderung von Substanzen oder sehr kleinen Fremdkörpern. Zilientragendes Zylinderepithel befindet sich daher in den Atemwegen, wo Schleim und Luft kontinuierlich nach außen bewegt werden, um die Atemwege zu reinigen.
Weiterhin findet sich zilienreiches Zylinderepithel in den Eileitern, dem Uterus und im Canalis centralis des Rückenmarks. Im weiblichen Fortpflanzungstrakt säumt es das Lumen der Eileiter, wo die von den Zilien erzeugten Bewegungen die Eizelle in Richtung der Gebärmutter transportieren.
Festige dein Wissen über einfache Epithelstrukturen mit folgendem Quiz:
Mehrreihiges Zylinderepithel
Dieses Epithel besteht ebenfalls aus einer Zellschicht, allerdings ist es mehrreihig aufgebaut, sodass nicht alle Zellen die Epitheloberfläche und das Lumen erreichen. Durch diesen Aufbau gewinnt man den falschen Eindruck, dass dieses Epithel aus mehreren Zellschichten besteht. Im mehrreihigen Zylinderepithel haben allerdings alle Zellen Kontakt zur Basalmembran, obwohl die Kerne auf verschiedenen Ebenen liegen.
Diese Art von Epithel wird auch als respiratorisches Flimmerepithel bezeichnet, da dieses die größeren Atemwegen der Nasenhöhle, Luftröhre und Bronchien auskleidet.
Mehrreihiges Zylinderepithel mit Stereozilien findet sich in den stark geschlängelten Gängen der Nebenhoden. Im membranösen Teil des männlichen Samenleiters hingegen gibt es keine Zilien. Auch die geraden, tubulären Drüsen des Endometriums bestehen aus mehrreihigem Zylinderepithel.
Falls du dein Wissen über das Epithel oder seine assoziierten Strukturen, wie die intraepithelialen Drüsen, erweitern willst, schau dir unsere folgenden Lerneinheiten an:
Klinik
Metaplasie
Metaplasie bezeichnet eine Veränderung des Zelltyps und beinhaltet am häufigsten eine Umwandlung der Oberflächenepithelzellen (Plattenepithelien, Säulen- oder Urothelzellen) in einen anderen Zelltyp.
Normalerweise geschieht dies aufgrund von chronischem Stress und stellt einen Anpassungsmechanismus dar, um besser mit den schädlichen äußeren Einflüssen umgehen zu können.
Neoplasie
Neoplasie bezeichnet ein neues Gewebewachstum, das unkontrolliert und monoklonal abläuft und irreversibel ist. Zu den gutartigen Neoplasien, die aus dem Epithel entstehen, gehören Adenome und Papillome. Diese können maligne entarten und entstehen aus dysplastischen Veränderungen und Krebsvorstufen, aus denen später Adenokarzinome und papilläre Karzinome hervorgehen können.
Dysplasie
Dysplasie bezeichnet ein gestörtes Zellwachstum und ist ein Ausdruck, der verwendet wird, um die Proliferation von Präkanzerosen zu beschreiben.
Im präkanzerösen Stadium ist eine Dysplasie theoretisch reversibel, doch wenn man den chronischen Zellstress nicht beseitigt, wird die Dysplasie irreversibel und führt zum Karzinom. Zum Beispiel stellt die zervikale intraepitheliale Neoplasie (CIN) eine präkanzeröse Dysplasie dar, die zu Gebärmutterhalskrebs fortschreiten kann.
Du willst mehr über das Thema Einschichtiges Epithel (Histologie) lernen?
Unsere Videotutorials, interaktiven Quizze, weiterführenden Artikel und ein HD Atlas lassen dich Prüfungen mit Bestnoten bestehen.
Womit lernst du am liebsten?
”Ich kann ernsthaft behaupten, dass Kenhub meine Lernzeit halbiert hat.”
–
Mehr lesen.
