Keine Verbindung. Bitte aktualisiere die Seite.
Online
Die führende Plattform für Anatomie
6.589.018 Nutzer weltweit
Erfolg bei Prüfungen seit 2011
Hilft Studierenden im Gesundheitswesen
Von medizinischen Fachleuten geprüft
2.089 Artikel, Quizze und Videos
Bereit zu lernen?
Wähle die beste Lernmethode für dich

Normales Abdomen-CT

Lerne mit diesem Video von Kenhub die Anatomie der wichtigsten Arterien des Abdomens und Beckens!
Normales CT des Abdomens

Die Computertomographie (CT) ist ein bildgebendes Verfahren, welches zusammen mit dem konventionellen Röntgen und der Magnetresonanztomographie (MRT) in der klinischen Praxis am häufigsten angewandt wird. Bei Verdacht auf pathologische Prozesse im Abdomen sind das Röntgen und die Computertomographie das Mittel der ersten Wahl, weil sie schnell durchgeführt werden können, kostengünstig, nicht-invasiv und gut verfügbar sind und keine besondere Vorbereitung der Patient:innen erfordern.

Die CT ist ein bildgebendes Verfahren, das Röntgenstrahlen einsetzt, um Gewebe zwei- oder dreidimensional abzubilden. Die Gewebedichte wird mithilfe der Hounsfield-Einheiten (HE) gemessen. Diese Einheiten beschreiben, wie stark bestimmte Gewebe die Röntgenstrahlen absorbieren. Durch diese Absorption wird die Strahlung abgeschwächt, sodass nur noch ein Teil von ihr auf den gegenüberliegenden Detektor trifft, der mittels Rechner ein Bild erzeugt. Auf diese Weise werden die einzelnen anatomischen Strukturen abhängig von ihrer Dichte in unterschiedlichen Graustufen abgebildet. Die Skala der Hounsfield-Einheiten reicht von +1000 (hyperdens) über 0 (isodens) bis -1000 (hypodens). Hypodense Strukturen besitzen eine geringe dichte und erscheinen daher dunkler. Hierzu gehören beispielsweise Luft, Fettgewebe und Liquor cerebrospinalis. Hyperdense Strukturen haben eine hohe Dichte und erscheinen im CT besonders hell (weiß). Hierzu gehören beispielsweise Knochen. Andere Gewebearten wie Organe, Muskelgewebe oder Blut haben im Vergleich zu Knochen eine geringere Dichte und werden in unterschiedlichen Grautönen dargestellt. Der Begriff isodens bezeichnet, dass die betreffende anatomische Struktur eine normale Dichte besitzt, oder aber die gleiche Dichte hat, wie das umliegende Gewebe.

In diesem Artikel erfährst du anhand konkreter Beispiele, wie du eine CT-Aufnahme des Abdomens befunden kannst.

Kurzfakten zum Abdomen-CT
Definition Die Computertomographie ist ein computergestütztes, röntgenbasiertes, bildgebendes Verfahren, das Schnittbilder des Körpers erzeugt.
Mechanismus Das Verfahren basiert auf einem schnell rotierenden, schmalen Röntgenstrahl, der auf Patient:innen gerichtet ist und Signale erzeugt, die von einer Software verarbeitet werden. Die multiplen Schnittbilder eines bestimmten Körperaschnitts oder Organs werden im Computer zu einem 3D-Bild zusammengefügt.
Terminologie Hyperdens: helle Strukturen (wie Knochen)
Hypodens:
 schwarze Strukturen (wie Luft, Fett oder Liquor cerebrospinalis)
Isodens:
 graue Strukturen (wie Blut, Organe, oder Muskelgewebe )
Inhalt
  1. Orientierung und Vorgehensweise
  2. Anatomie des Abdomens auf dem CT-Bild
    1. Bauchwand
    2. Knochen
    3. Peritonealhöhle
    4. Parenchymatöse Organe
    5. Hohlorgane
    6. Blutgefäße
  3. Literaturquellen
  4. Ähnliche Artikel
  5. Ähnliche Videos
+ Zeige alles

Orientierung und Vorgehensweise

Orientierung im CT

Bevor du dir die Strukturen im Detail anschaust, solltest du dich zunächst in der CT-Aufnahme orientieren und die Schnittebene bestimmen. Axiale Schnitte sind in der klinischen Praxis und bei Bildgebungen des Abdomens am weitesten verbreitet, aber es können auch sagittale oder koronare Schnittbilder aufgenommen werden. Die axiale Aufnahme stellt einen Querschnitt durch den Körper dar. Hierbei schaust du vom Fußende der Patient:innen in Richtung Kopf und die linke Seite der Aufnahme entspricht der rechten Körperseite der Patient:innen. Die Koronalebene bzw. Frontalebene wird durch einen Schnitt erzeugt, der von medial nach lateral verläuft und eine Betrachtung der jeweiligen Struktur von vorne nach hinten erlaubt. Die Sagittalebene entsteht durch einen Anschnitt von vorne nach hinten und erlaubt eine Betrachtung der Struktur von der Seite.

Der Computertomograph erstellt multiple Schnittbilder des Körpers, die anschließend zu einem 3D-Bild zusammengefügt werden. Um die Beurteilung zu erleichtern, existieren sogenannte Fensterungen der verschiedenen Strukturen auf der CT-Aufnahme. Durch die Wahl verschiedener Fensterungen können unterschiedliche Strukturen und Organe besonders kontrastreich dargestellt und somit leichter beurteilt werden. Bei der Beurteilung der Bauch- und Beckenorgane kann zwischen einem Knochenfenster und einem Weichteilfenster gewählt werden, abhängig von den zu untersuchenden Strukturen. Um nichts zu übersehen, sollte die Abdomenaufnahme von proximal nach distal angesehen und alle dargestellten Strukturen untersucht werden. Jede Befundung eines Abdomen-CTs sollte systematisch und nach einem festen Schema erfolgen.

Der Untersuchende sollte sich für die Beurteilung jedes Organs Zeit nehmen und alle gesehenen Strukturen ausführlich beschreiben. Bei Patient:innen mit einem spezifischen klinischen Bild, beispielsweise einer Knochenfraktur, sollte der Radiologe oder die Radiologin nicht nur die betroffene Struktur beachten, sondern alle abgebildeten Gewebe und den Gesamteindruck des CTs beurteilen. Auf diese Weise wird die Wahrscheinlichkeit minimiert, kleinere Strukturveränderungen und Zufallsbefunde zu übersehen. Eine empfehlenswerte Vorgehensweise besteht aus folgenden Schritten:

  1. Beurteilung der anatomischen Grenzen der jeweiligen Körperregion
  2. Bestimmung der Höhe des Schnittbilds mithilfe anatomischer Orientierungspunkte wie Zwerchfellkuppel (Th10-Th11), Truncus coeliacus (Th12), Arteria mesenterica superior (L1), Nierenarterien (L2-L3) und Aortenbifurkation (L4)
  3. Beurteilung der Bauchhöhle (Peritonealhöhle) und des Retroperitonealraums
  4. Beurteilung der inneren Organe, die in Hohlorgane und parenchymatöse Organe unterteilt werden

Anatomie des Abdomens auf dem CT-Bild

Bauchwand

Die Auswertung der Strukturen auf einer CT-Aufnahme erfolgt normalerweise von lateral nach medial, beziehungsweise von außen nach innen. Bei der Befundung des Abdomens sollten wir mit der äußersten Schicht beginnen, die als feine hellgraue Kontur zu erkennen ist. Sie stellt die Haut dar. Darunter liegt das subkutane Fettgewebe, welches als schwarze Schicht zu sehen ist. Medial dieser Strukturen befinden sich die beiden Hauptmuskelgruppen der Bauchwand: Die anterolateralen und die posterioren Bauchwandmuskeln. Im anterioren Bereich des CT-Schnitts ist die anterolaterale Muskelloge zu erkennen, in der sich folgende Muskeln befinden: Der Musculus obliquus externus abdominis, der Musculus obliquus internus abdominis und der Musculus transversus abdominis. In ihrer unmittelbaren Umgebung befinden sich auch der Musculus rectus abdominis und die Rektusscheide. Im posterioren Abschnitt der CT-Aufnahme befinden sich die posterioren Bauchwandmuskeln. Zu diesen gehören der Musculus latissimus dorsi, der Musculus psoas major, der Musculus iliacus, der Musculus erector spinae, der Musculus quadratus lumborum und der Musculus psoas minor. Zwischen den Rückenmuskeln stechen die weißen (hyperdensen) Lendenwirbel hervor. Bei einer intakten Bauchwand sieht die äußere Linie des Abdomens unversehrt und ebenmäßig aus.

Die Linea alba ist in der Mittellinie auf der anterioren Bauchwand sichtbar. Sie stellt sich als dünne Linie dar, welche den linken und rechten Musculus rectus abdominis zusammenhält. Sollte eine Verbreiterung der Mittellinie zwischen den beiden Teilen des Musculus rectus abdominis vorliegen, könnte dies ein Hinweis auf eine Rektusdiastase oder eine Bauchwandhernie sein. Mit dem Begriff Rektusdiastase wird das Auseinanderweichen der beiden Anteile des Musculus rectus abdominis bezeichnet. Auch die Rektusscheide sollte genau untersucht werden . Ein stumpfes Trauma kann einen Riss der Arteria epigastrica inferior verursachen und damit zur Blutung führen. Da die Rektusscheide unterhalb der Linea arcuata kein hinteres Blatt besitzt, kann sich Blut in der Peritonealhöhle ansammeln und eine Peritonitis auslösen.

Knochen

Nachdem die Bauchwand beurteilt wurde, sollte die Beurteilung der knöchernen Strukturen im Knochenfenster erfolgen. Im proximalen Teil des Abdomens sind auf beiden Seiten die Rippen zu erkennen. Die Lendenwirbel und ihre Dornfortsätze sollten besonders aufmerksam betrachtet werden. Die Lage der Wirbel in der Mittellinie und ihre weißes, hyperdenses Erscheinungsbild wiesen auf ihren intakten Aufbau hin. Veränderungen in der Dichte und in der Lage sind ein Zeichen für pathologische Prozesse der Knochen, wie beispielsweise Knochenbrüche, Dislokationen, osteolytische und osteoblastische Knochenläsionen.

Peritonealhöhle

Gelegentlich können auch Organe des Mediastinums, wie das Herz und die Lungen, auf einem Abdomen-CT erscheinen. Der Grund dafür ist, dass Radiolog:innen bei ihrer Befundung auch die oberen Anteile der Peritonealhöhle beurteilen müssen. Die Befundung der Bauchregion beginnt mit der Lungenbasis im Lungenfenster und geht in kaudaler Richtung weiter. Es sollte auf abnorme Luftsammlungen in der Peritonealhöhle, ein sogenanntes Pneumoperitoneum, geachtet werden. Diese Luftansammlungen finden sich üblicherweise in der Nähe von Hohlorganen, wie dem Magen oder dem Darm, aus welchen die Luft bei Verletzungen entweichen kann. Ein dunkler Bereich in der Nähe von Hohlorganen, die gegen die Bauchwand verschoben erscheinen, kann ein Hinweis auf ein Pneumoperitoneum sein. Als Nächstes sollten peritoneale Strukturen wie das Omentum majus, Omentum minus, das Mesenterium und die Recessus beurteilt werden. Das Omentum majus verbindet die große Kurvatur des Magens und den Zwölffingerdarm mit dem Colon transversum, während das Omentum minus die Leber mit dem Magen verbindet. Das Mesenterium umgibt die Därme und verbindet sie mit der hinteren Bauchwand. Die Mesenterien werden in das Mesenterium (Dünndarmgekröse), Mesocolon transversum (Dickdarmgekröse), und das Mesocolon sigmoideum (Sigmoidgekröse) unterteilt. Im Abdomen gibt es Peritonealduplikaturen, die als Recessus der Peritonealhöhle bezeichnet werden. Hierzu zählen der Recessus duodenalis superior und inferior, Recessus retroduodenalis, Recessus duodenojejunalis und Recessus mesentericoparietalis.

Nachfolgend wird die Peritonealhöhle auf eine Ansammlung freier Flüssigkeit und Gewebeneubildungen überprüft. Erst danach erfolgt die Beurteilung des retroperitonealen Raums. Anatomisch gesehen ist dies der Raum zwischen dem Peritoneum und der Fascia transversalis, welche die Muskeln der hinteren Bauchwand bedeckt. Auf der CT-Aufnahme selbst erscheinen jedoch weder die Schichten des Peritoneums noch die Fascia transversalis. Daher sollten die posterioren Bauchwandmuskeln als Orientierungspunkte für das Auffinden der hinteren Grenze des Retroperitoneums dienen. Die vordere Nierenoberfläche, welche von der Fascia renalis bedeckt ist, dienen als vordere Grenze des Retroperitoneums.

Aktives Erinnern ist eine der meist empfohlenen und effektiven Lerntechniken, um Anatomie zu lernen. Willst du mehr dazu wissen? Dann lies den folgenden Artikel!

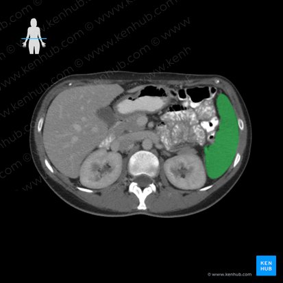
Parenchymatöse Organe

Bei der Beurteilung der parenchymatösen Organe sollte auf Größe, Form, Homogenität und eventuelle abnorme Veränderungen ihrer Dichte geachtet werden. Verschiedene pathologische Prozesse wie Blutungen, Ödeme sowie eine Verdrängung der angrenzenden Organe und Blutgefäße durch Tumore oder Hämatome können eine Größenzunahme des Organs bewirken oder zu einer Veränderung seiner charakteristischen Form führen. Um den Blutfluss und die arterielle Versorgung der Organe zu untersuchen, können Kontrastmittel eingesetzt werden. Mangelnde Durchblutung kann zu irreversiblem Gewebsuntergang (Nekrose, Infarkt) führen.

Zu den parenchymatösen Organen gehören die Leber mit der Gallenblase, die Milz, die Bauchspeicheldrüse, die Nebennierenund die Nieren.

Die Leber ist die auffälligste Struktur auf einem CT-Bild des Abdomens und sollte als Erstes untersucht werden. Sie besitzt normalerweise eine etwas höhere Dichte als Muskelgewebe oder die Milz und erscheint daher etwas heller. Das Leberparenchym sollte fest und homogen erscheinen. Sollten die intrahepatischen Gallenwege ohne Kontrastmittel abgegrenzt werden können, ist dies als Hinweis auf einen pathologischen Befund, wie beispielsweise eine Entzündung der Gallenwege (Cholangitis) zu werten. Die extrahepatischen Gallenwege sind normalerweise auf der CT-Aufnahme sichtbar und sollten auf Dilatationen (Erweiterungen) und Obstruktionen (Verengungen) untersucht werden. Zur Untersuchung der Leber- und Pfortadergefäße muss Kontrastmittel verabreicht werden. Hiermit können hypervaskularisierte, also stärker durchblutete Bereiche dargestellt werden. Diese können auf einen Tumor hinweisen.

Die Gallenblase ist mit Gallenflüssigkeit gefüllt und erscheint im Vergleich zur Leber hypodens, also dunkler. Gallensteine erscheinen als hyperdense, also helle Strukturen innerhalb der Gallenblase.

Die charakteristische Form und eine intakte Kapsel sind die wichtigsten Merkmale der Milz auf einem Computertomogramm. Die Größe der Milz ist variabel, sodass nicht die Größenzunahme sondern eine Veränderung hinweisgebend auf eine Milzvergrößerung ist. Normalerweise besitzt die Milz eine konkave, also nach innen gewölbte viszerale Oberfläche (Facies visceralis). Bei einer pathologisch vergrößerten Milz erscheint diese Oberfläche hingegen konvex und somit nach außen gewölbt.

Die Bauchspeicheldrüse (Pankreas) und die Nebennieren (Glandulae suprarenales) können gemeinsam untersucht werden, da sie auf dem gleichen Transversalschnitt erscheinen. Die Grenzen der Bauchspeicheldrüse sollten glatt und eben aussehen, unebene Konturen und Verdichtungen innerhalb des Parenchyms können Hinweise für Tumoren oder eine akute Pankreatitis sein. Das Pankreasgewebe sollte auch auf solide, zystische oder flüssige Neubildungen untersucht werden. Im Anschluss sollte der Pankreasgang betrachtet werden, der normalerweise dünn und hypodens erscheint. Erweiterungen oder Verengungen des Pankreasgangs sind Hinweise auf pathologische Veränderungen. Die Nebennieren sollten ebenfalls auf Veränderungen der Gewebestruktur überprüft werden.

Die Nieren erscheinen auf dem CT-Bild oval. Das Nierenbeckenkelchsystem ist hyperdens und wird vom hypodensen Nierenparenchym umgeben. Hyperdense Bereiche im Nierenbecken sind ein pathologischer Befund, der bei Nierensteinen entstehen kann.

Die Nierenrinde (Cortex renalis) und das Nierenmark (Medulla renalis) können ohne Kontrastmittel nicht abgegrenzt werden. Intravenös verabreichtes Kontrastmittel macht die Nierengefäße sichtbar und erlaubt die Darstellung der stark durchbluteten Nierenrinde. Auch hypervaskularisierte Tumore können so sichtbar gemacht werden.

Hohlorgane

Die Mittel der Wahl bei der Untersuchung der Hohlorgane sind die Endoskopie und das konventionelle Röntgen mit Kontrastmittel wie Bariumsulfat. Sollten diese Verfahren nicht ausreichen, so wird eine CT-Untersuchung durchgeführt. Die Indikationen dafür sind unter anderem Entzündungen, beispielsweise bei einer Appendizitis oder Läsionen der Organwand, wie Ulzera oder Polypen.

Zu den Hohlorganen des Abdomens zählen der Magen, Dünn- und Dickdarm. Bei der Untersuchung dieser Organe sollte auf folgende strukturelle und morphologische Merkmale geachtet werden:

  • Die Wandkonturen und Lumenweite des Magens und des Darms.
  • Ein durchgängiges Lumen. Typischer Befund bei einer Darmobstruktion sind dilatierte Darmschlingen proximal der Stenose und kollabierte Darmschlingen distal der Stenose.
  • Die Lage und die Länge der Dünndarmschlingen. Veränderungen können auf pathologische Prozesse wie Torsionen, Inkarzerationen und Invaginationen hinweisen.
  • Eine reguläre und gleichmäßige Haustrierung des Dickdarms. Die Form der Haustren kann bei Erkrankungen, wie Colitis ulcerosa, Morbus Crohn oder einem kolorektalen Karzinom verändert sein.

Blutgefäße

Schließlich sollten auf dem CT auch immer die großen Blutgefäße des Abdomens beurteilt werden. Zu diesen gehören die Aorta abdominalis und die Vena cava inferior. Die Aorta abdomianlis verläuft im Retroperitonealraum. Sie tritt durch den Hiatus aorticus des Zwerchfells (Th12) hindurch und steigt anterior der Wirbelsäule ab. Die Aorta abdominalis teilt sich auf Höhe des Vierten Lendenwirbels in zwei Endäste – die rechte und die linke Arteria iliaca communis. Die Vena cava inferior befindet sich rechts der Aorta. Sie entsteht durch die Vereinigung der beiden Vv. Iliacae communes auf Höhe des Fünften Lendenwirbels und tritt durch das Foramen venae cavae des Zwerchfells (T8) hindurch.

In erster Linie sollte der Durchmesser der Blutgefäße abgeschätzt werden. Eine Erweiterung kann auf ein Aneurysma der Bauchaorta hindeuten. Eine Vergrößerung des Durchmessers der Vena cava inferior ist mit einem erhöhten Thromboserisiko assoziiert.

Zum Abschluss probier doch einmal unser passendes Quiz, um dein neues Wissen zu testen. Viel Spaß!

Vertiefe dein Wissen über die Anatomie des Abdomens im CT mithilfe folgener Lerneinheiten:

Ähnliche Artikel

Artikel zu diesem Themenbereich:

Ähnliche Videos

Videos zu diesem Themenbereich:

Du willst mehr über das Thema Normales Abdomen-CT lernen?

Unsere Videotutorials, interaktiven Quizze, weiterführenden Artikel und ein HD Atlas lassen dich Prüfungen mit Bestnoten bestehen.

Womit lernst du am liebsten?

”Ich kann ernsthaft behaupten, dass Kenhub meine Lernzeit halbiert hat.” – Mehr lesen.

Kim Bengochea Kim Bengochea, Regis University, Denver
© Sofern nicht anders angegeben, sind alle Inhalte, inklusive der Illustrationen, ausschließliches Eigentum der Kenhub GmbH. Sie sind durch deutsches und internationales Urheberrecht geschützt. Alle Rechte vorbehalten.

Jetzt registrieren und gratis Anatomie-Lernguide als eBook erhalten!